Suppr超能文献

全髋关节置换术后松动可疑的数字直线断层合成成像的效用:40 例前瞻性研究。

The utility of digital linear tomosynthesis imaging of total hip joint arthroplasty with suspicion of loosening: a prospective study in 40 patients.

机构信息

Department of Radiology, Sahlgrenska University Hospital, 431 80 Mölndal, Sweden.

出版信息

Biomed Res Int. 2013;2013:594631. doi: 10.1155/2013/594631. Epub 2013 Sep 3.

Abstract

AIM

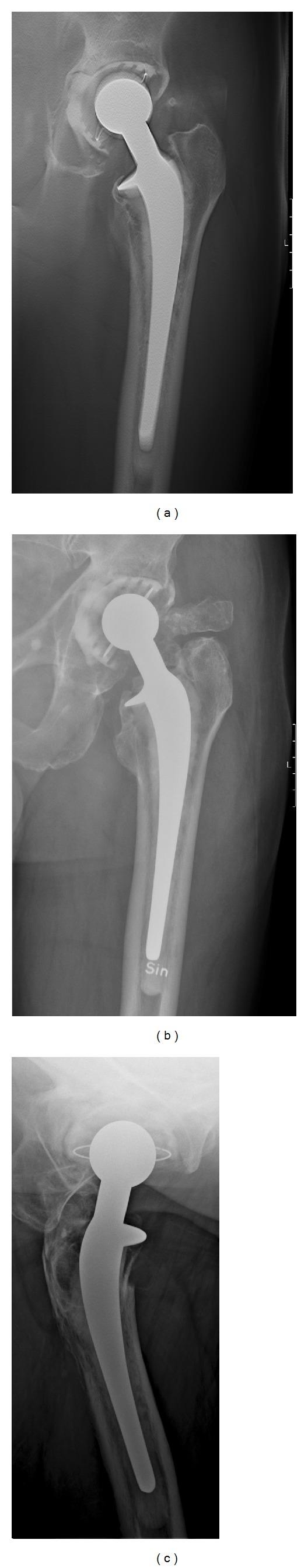
The clinical utility of digital linear tomosynthesis in musculoskeletal applications has been validated in only a few reports. Technical performance and utility in hip prosthesis imaging have been discussed in technical reports, but no clinical evaluation has been reported. The purpose of the current study was to assess the added clinical utility of digital linear tomosynthesis compared to radiography in loosening of total hip joint arthroplasty.

MATERIALS AND METHODS

In a prospective study, radiography and digital tomosynthesis were performed in 40 consecutive patients with total hip arthroplasty referred for suspect prosthesis loosening. Tomosynthesis images were compared to anterior-posterior (AP) and cross-table lateral radiographs regarding demarcation and extent of demineralization and osteolysis. Further noted were skeletal fractures, cement fractures, fragmentation, and artifacts interfering with the diagnosis.

RESULTS

Tomosynthesis was superior to radiography with sharper delineation of demineralization and osteolysis in the AP projection. A limitation was the inability to generate lateral tomosynthesis images, with inferior assessment of the area anterior and posterior to the acetabular cup compared to cross-table radiographs. Artifacts interfering with diagnosis were found in one hip.

CONCLUSION

Tomosynthesis improved evaluation of total hip arthroplasty in the AP projection but was limited by the lack of lateral projections.

摘要

目的

数字线性断层合成在肌肉骨骼应用中的临床实用性仅在少数报道中得到验证。技术报告中讨论了其在髋关节假体成像中的技术性能和实用性,但尚未报道临床评估结果。本研究旨在评估数字线性断层合成在全髋关节置换松动方面相对于 X 线摄影的附加临床实用性。

材料和方法

在一项前瞻性研究中,对 40 例全髋关节置换术后怀疑假体松动的患者进行了 X 线摄影和数字断层合成检查。断层合成图像与前后位(AP)和交叉位侧位 X 线片进行比较,以评估脱矿质和溶骨的界限和范围。还注意到了骨骼骨折、骨水泥骨折、碎裂和干扰诊断的伪影。

结果

断层合成在 AP 投影中比 X 线摄影更能清晰地显示脱矿质和溶骨。局限性在于无法生成侧位断层合成图像,与交叉位 X 线片相比,对髋臼杯前后区域的评估较差。在一个髋关节中发现了干扰诊断的伪影。

结论

断层合成改善了全髋关节置换术在 AP 投影中的评估,但受到缺乏侧位投影的限制。

https://cdn.ncbi.nlm.nih.gov/pmc/blobs/b28b/3776365/d8eec840d2ae/BMRI2013-594631.001.jpg

相似文献

3
4
Comparison of radiographs, tomosynthesis and CT with metal artifact reduction for the detection of hip prosthetic loosening.
Eur Radiol. 2019 Mar;29(3):1258-1266. doi: 10.1007/s00330-018-5717-3. Epub 2018 Sep 7.
7
The use of subtraction arthrography in total hip arthroplasties.
Rofo. 1986 Apr;144(4):440-6. doi: 10.1055/s-2008-1048819.
8
Clinical potential of digital linear tomosynthesis imaging of total joint arthroplasty.
J Digit Imaging. 2008 Sep;21(3):312-22. doi: 10.1007/s10278-007-9040-9.
9
Total hip arthroplasty with porous-coated prostheses fixed without cement in patients who are sixty-five years of age or older.
J Bone Joint Surg Am. 1998 Nov;80(11):1648-55. doi: 10.2106/00004623-199811000-00012.
10
[Long-term results of the CLS acetabular cup in primary total hip replacement].
Acta Chir Orthop Traumatol Cech. 2009 Apr;76(2):90-7.

引用本文的文献

1
Diagnostic performance of digital tomosynthesis for postoperative assessment of acetabular fractures and pelvic ring injuries.
Front Surg. 2024 Oct 25;11:1461144. doi: 10.3389/fsurg.2024.1461144. eCollection 2024.
2
An overview of the current diagnostic approach to Periprosthetic Joint Infections.
Orthop Rev (Pavia). 2024 Jun 30;16:120308. doi: 10.52965/001c.120308. eCollection 2024.
3
Postoperative Extremity Tomosynthesis-A Superimposition-Free Alternative to Standard Radiography?
Invest Radiol. 2024 Nov 1;59(11):761-766. doi: 10.1097/RLI.0000000000001085. Epub 2024 May 7.
5
Digital Tomosynthesis versus Conventional Radiography for Evaluating Osteonecrosis of the Femoral Head.
Korean J Radiol. 2021 Dec;22(12):2026-2033. doi: 10.3348/kjr.2021.0058. Epub 2021 Sep 13.
6
Emphasizing the Diagnostic Value of Digital Tomosynthesis in Detecting Hip Fractures.
Tomography. 2020 Sep;6(3):308-314. doi: 10.18383/j.tom.2020.00031.
9
Comparison of radiographs, tomosynthesis and CT with metal artifact reduction for the detection of hip prosthetic loosening.
Eur Radiol. 2019 Mar;29(3):1258-1266. doi: 10.1007/s00330-018-5717-3. Epub 2018 Sep 7.

本文引用的文献

1
Current concepts of hip arthroplasty for radiologists: part 2, revisions and complications.
AJR Am J Roentgenol. 2012 Sep;199(3):570-80. doi: 10.2214/AJR.12.8844.
2
Current concepts of hip arthroplasty for radiologists: part 1, features and radiographic assessment.
AJR Am J Roentgenol. 2012 Sep;199(3):559-69. doi: 10.2214/AJR.12.8843.
3
Description and validation of a scoring system for tomosynthesis in pulmonary cystic fibrosis.
Eur Radiol. 2012 Dec;22(12):2718-28. doi: 10.1007/s00330-012-2534-y. Epub 2012 Jun 30.
4
Evaluation of the diagnostic performance of tomosynthesis in fractures of the wrist.
AJR Am J Roentgenol. 2012 Jan;198(1):180-6. doi: 10.2214/AJR.11.6374.
6
Technical innovation: digital tomosynthesis of the hip following intra-articular administration of contrast.
Skeletal Radiol. 2011 Nov;40(11):1467-71. doi: 10.1007/s00256-011-1247-7. Epub 2011 Aug 7.
7
Imaging of hip arthroplasty.
Eur J Radiol. 2012 Dec;81(12):3802-12. doi: 10.1016/j.ejrad.2011.03.103. Epub 2011 May 6.
8
Digital tomosynthesis--a new lease of life for the intravenous urogram?
Br J Radiol. 2011 May;84(1001):464-8. doi: 10.1259/bjr/95862259.
9
Clinical utility of tomosynthesis in suspected scaphoid fracture. A pilot study.
Skeletal Radiol. 2011 Jul;40(7):863-7. doi: 10.1007/s00256-010-1049-3. Epub 2010 Nov 6.
10
Use of tomosynthesis for erosion evaluation in rheumatoid arthritic hands and wrists.
Radiology. 2011 Jan;258(1):199-205. doi: 10.1148/radiol.10100791. Epub 2010 Nov 2.

文献AI研究员

20分钟写一篇综述,助力文献阅读效率提升50倍。

立即体验

用中文搜PubMed

大模型驱动的PubMed中文搜索引擎

马上搜索

文档翻译

学术文献翻译模型,支持多种主流文档格式。

立即体验