• 文献检索
  • 文档翻译
  • 深度研究
  • 学术资讯
  • Suppr Zotero 插件Zotero 插件
  • 邀请有礼
  • 套餐&价格
  • 历史记录
应用&插件
Suppr Zotero 插件Zotero 插件浏览器插件Mac 客户端Windows 客户端微信小程序
定价
高级版会员购买积分包购买API积分包
服务
文献检索文档翻译深度研究API 文档MCP 服务
关于我们
关于 Suppr公司介绍联系我们用户协议隐私条款
关注我们

Suppr 超能文献

核心技术专利:CN118964589B侵权必究
粤ICP备2023148730 号-1Suppr @ 2026

文献检索

告别复杂PubMed语法,用中文像聊天一样搜索,搜遍4000万医学文献。AI智能推荐,让科研检索更轻松。

立即免费搜索

文件翻译

保留排版,准确专业,支持PDF/Word/PPT等文件格式,支持 12+语言互译。

免费翻译文档

深度研究

AI帮你快速写综述,25分钟生成高质量综述,智能提取关键信息,辅助科研写作。

立即免费体验

四种具有相似亲水或疏水结构的两亲性聚合物胶束的纳米毒性比较。

Nanotoxicity comparison of four amphiphilic polymeric micelles with similar hydrophilic or hydrophobic structure.

机构信息

State Key Laboratory of Natural and Biomimetic Drugs, School of Pharmaceutical Sciences, Peking University, Beijing 100191, China.

出版信息

Part Fibre Toxicol. 2013 Oct 3;10:47. doi: 10.1186/1743-8977-10-47.

DOI:10.1186/1743-8977-10-47
PMID:24088372
原文链接:https://pmc.ncbi.nlm.nih.gov/articles/PMC3851284/
Abstract

BACKGROUND

Nanocarriers represent an attractive means of drug delivery, but their biosafety must be established before their use in clinical research.

OBJECTIVES

Four kinds of amphiphilic polymeric (PEG-PG-PCL, PEEP-PCL, PEG-PCL and PEG-DSPE) micelles with similar hydrophilic or hydrophobic structure were prepared and their in vitro and in vivo safety were evaluated and compared.

METHODS

In vitro nanotoxicity evaluations included assessments of cell morphology, cell volume, inflammatory effects, cytotoxicity, apoptosis and membrane fluidity. An umbilical vein cell line (Eahy.926) and a kind of macrophages (J774.A1) were used as cell models considering that intravenous route is dominant for micelle delivery systems. In vivo analyses included complete blood count, lymphocyte subset analysis, detection of plasma inflammatory factors and histological observations of major organs after intravenous administration to KM mice.

RESULTS

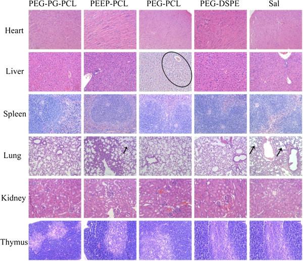
All the micelles enhanced inflammatory molecules in J774.A1 cells, likely resulting from the increased ROS levels. PEG-PG-PCL and PEEP-PCL micelles were found to increase the J774.A1 cell volume. This likely correlated with the size of PEG-PG-PCL micelles and the polyphosphoester structure in PEEP-PCL. PEG-DSPE micelles inhibited the growth of Eahy.926 cells via inducing apoptosis. This might relate to the structure of DSPE, which is a type of phospholipid and has good affinity with cell membrane. No evidence was found for cell membrane changes after treatment with these micelles for 24 h. In the in vivo study, during 8 days of 4 time injection, each of the four nanocarriers altered the hematic phase differently without changes in inflammatory factors or pathological changes in target organs.

CONCLUSIONS

These results demonstrate that the micelles investigated exhibit diverse nanotoxicity correlated with their structures, their biosafety is different in different cell model, and there is no in vitro and in vivo correlation found. We believe that this study will certainly provide more scientific understandings on the nanotoxicity of amphiphilic polymeric micelles.

摘要

背景

纳米载体是一种有吸引力的药物递送方式,但在将其用于临床研究之前,必须确定其生物安全性。

目的

制备四种具有相似亲水或疏水结构的两亲性聚合物(PEG-PG-PCL、PEEP-PCL、PEG-PCL 和 PEG-DSPE)胶束,并对其进行体外和体内安全性评价和比较。

方法

体外纳米毒性评价包括细胞形态、细胞体积、炎症效应、细胞毒性、细胞凋亡和膜流动性评估。考虑到静脉途径是胶束给药系统的主要途径,因此使用脐带静脉细胞系(Eahy.926)和一种巨噬细胞(J774.A1)作为细胞模型。体内分析包括静脉注射后 KM 小鼠的全血细胞计数、淋巴细胞亚群分析、血浆炎症因子检测和主要器官组织学观察。

结果

所有胶束均增强了 J774.A1 细胞中的炎症分子,这可能是由于 ROS 水平升高所致。PEG-PG-PCL 和 PEEP-PCL 胶束被发现增加了 J774.A1 细胞的体积。这可能与 PEG-PG-PCL 胶束的大小和 PEEP-PCL 中的聚磷酸酯结构有关。PEG-DSPE 胶束通过诱导细胞凋亡抑制 Eahy.926 细胞的生长。这可能与 DSPE 的结构有关,DSPE 是一种磷脂,与细胞膜具有良好的亲和力。在用这些胶束处理 24 小时后,没有发现细胞膜发生变化的证据。在体内研究中,在 4 次注射的 8 天期间,四种纳米载体中的每一种都以不同的方式改变了血液相,而炎症因子或靶器官的病理变化没有改变。

结论

这些结果表明,所研究的胶束表现出与结构相关的不同纳米毒性,其生物安全性在不同的细胞模型中不同,并且在体外和体内均未发现相关性。我们相信,这项研究将为两亲性聚合物胶束的纳米毒性提供更科学的认识。

https://cdn.ncbi.nlm.nih.gov/pmc/blobs/aff1/3851284/89b892acbf9e/1743-8977-10-47-13.jpg
https://cdn.ncbi.nlm.nih.gov/pmc/blobs/aff1/3851284/35113f2411c8/1743-8977-10-47-1.jpg
https://cdn.ncbi.nlm.nih.gov/pmc/blobs/aff1/3851284/28d473d7aee9/1743-8977-10-47-2.jpg
https://cdn.ncbi.nlm.nih.gov/pmc/blobs/aff1/3851284/7585248804e9/1743-8977-10-47-3.jpg
https://cdn.ncbi.nlm.nih.gov/pmc/blobs/aff1/3851284/5bffdd952a23/1743-8977-10-47-4.jpg
https://cdn.ncbi.nlm.nih.gov/pmc/blobs/aff1/3851284/a73892c0644e/1743-8977-10-47-5.jpg
https://cdn.ncbi.nlm.nih.gov/pmc/blobs/aff1/3851284/e670a85891a2/1743-8977-10-47-6.jpg
https://cdn.ncbi.nlm.nih.gov/pmc/blobs/aff1/3851284/41f8a74f9806/1743-8977-10-47-7.jpg
https://cdn.ncbi.nlm.nih.gov/pmc/blobs/aff1/3851284/5e392f4f1b22/1743-8977-10-47-8.jpg
https://cdn.ncbi.nlm.nih.gov/pmc/blobs/aff1/3851284/2231088648c6/1743-8977-10-47-9.jpg
https://cdn.ncbi.nlm.nih.gov/pmc/blobs/aff1/3851284/31362415920d/1743-8977-10-47-10.jpg
https://cdn.ncbi.nlm.nih.gov/pmc/blobs/aff1/3851284/071393c772ea/1743-8977-10-47-11.jpg
https://cdn.ncbi.nlm.nih.gov/pmc/blobs/aff1/3851284/ea77e5151236/1743-8977-10-47-12.jpg
https://cdn.ncbi.nlm.nih.gov/pmc/blobs/aff1/3851284/89b892acbf9e/1743-8977-10-47-13.jpg
https://cdn.ncbi.nlm.nih.gov/pmc/blobs/aff1/3851284/35113f2411c8/1743-8977-10-47-1.jpg
https://cdn.ncbi.nlm.nih.gov/pmc/blobs/aff1/3851284/28d473d7aee9/1743-8977-10-47-2.jpg
https://cdn.ncbi.nlm.nih.gov/pmc/blobs/aff1/3851284/7585248804e9/1743-8977-10-47-3.jpg
https://cdn.ncbi.nlm.nih.gov/pmc/blobs/aff1/3851284/5bffdd952a23/1743-8977-10-47-4.jpg
https://cdn.ncbi.nlm.nih.gov/pmc/blobs/aff1/3851284/a73892c0644e/1743-8977-10-47-5.jpg
https://cdn.ncbi.nlm.nih.gov/pmc/blobs/aff1/3851284/e670a85891a2/1743-8977-10-47-6.jpg
https://cdn.ncbi.nlm.nih.gov/pmc/blobs/aff1/3851284/41f8a74f9806/1743-8977-10-47-7.jpg
https://cdn.ncbi.nlm.nih.gov/pmc/blobs/aff1/3851284/5e392f4f1b22/1743-8977-10-47-8.jpg
https://cdn.ncbi.nlm.nih.gov/pmc/blobs/aff1/3851284/2231088648c6/1743-8977-10-47-9.jpg
https://cdn.ncbi.nlm.nih.gov/pmc/blobs/aff1/3851284/31362415920d/1743-8977-10-47-10.jpg
https://cdn.ncbi.nlm.nih.gov/pmc/blobs/aff1/3851284/071393c772ea/1743-8977-10-47-11.jpg
https://cdn.ncbi.nlm.nih.gov/pmc/blobs/aff1/3851284/ea77e5151236/1743-8977-10-47-12.jpg
https://cdn.ncbi.nlm.nih.gov/pmc/blobs/aff1/3851284/89b892acbf9e/1743-8977-10-47-13.jpg

相似文献

1
Nanotoxicity comparison of four amphiphilic polymeric micelles with similar hydrophilic or hydrophobic structure.四种具有相似亲水或疏水结构的两亲性聚合物胶束的纳米毒性比较。
Part Fibre Toxicol. 2013 Oct 3;10:47. doi: 10.1186/1743-8977-10-47.
2
Self-assembled biodegradable amphiphilic PEG-PCL-lPEI triblock copolymers at the borderline between micelles and nanoparticles designed for drug and gene delivery.自组装可生物降解两亲性 PEG-PCL-lPEI 三嵌段共聚物处于胶束和纳米颗粒的边界,设计用于药物和基因传递。
Biomaterials. 2011 Oct;32(30):7721-31. doi: 10.1016/j.biomaterials.2011.06.064. Epub 2011 Jul 22.
3
Organic solvent-free low temperature method of preparation for self assembled amphiphilic poly(ϵ-caprolactone)-poly(ethylene glycol) block copolymer based nanocarriers for protein delivery.用于蛋白质递送的基于自组装两亲性聚(ε-己内酯)-聚(乙二醇)嵌段共聚物的纳米载体的无有机溶剂低温制备方法。
Colloids Surf B Biointerfaces. 2015 Nov 1;135:510-517. doi: 10.1016/j.colsurfb.2015.07.075. Epub 2015 Jul 31.
4
The effect of hydrophilic and hydrophobic structure of amphiphilic polymeric micelles on their transport in epithelial MDCK cells.两亲性聚合物胶束的亲水和疏水结构对其在肠上皮 MDCK 细胞中转运的影响。
Biomaterials. 2013 Aug;34(26):6284-98. doi: 10.1016/j.biomaterials.2013.05.006. Epub 2013 May 25.
5
Study of Copolymer Composition on Drug Loading Efficiency of Enalapril in Polymersomes and Cytotoxicity of Drug Loaded Nanoparticles.共聚物组成对依那普利在聚合物囊泡中的载药效率及载药纳米颗粒细胞毒性的研究
Drug Res (Stuttg). 2016 Sep;66(9):495-504. doi: 10.1055/s-0042-110931. Epub 2016 Jul 19.
6
Pharmacokinetics and in vitro and in vivo delivery of sulforaphane by PCL-PEG-PCL copolymeric-based micelles.基于 PCL-PEG-PCL 共聚物胶束的硫代葡萄糖苷前体物萝卜硫素的药代动力学及其在体内外的传递。
Artif Cells Nanomed Biotechnol. 2017 Dec;45(8):1728-1739. doi: 10.1080/21691401.2017.1282501. Epub 2017 Feb 1.
7
Biodistribution of biodegradable polymeric nano-carriers loaded with busulphan and designed for multimodal imaging.负载白消安并设计用于多模态成像的可生物降解聚合物纳米载体的生物分布
J Nanobiotechnology. 2016 Dec 19;14(1):82. doi: 10.1186/s12951-016-0239-0.
8
The Effect of Hydrophilic and Hydrophobic Structure of Amphiphilic Polymeric Micelles on Their Transportation in Rats.两亲性聚合物胶束的亲水和疏水结构对其在大鼠体内转运的影响。
Curr Drug Deliv. 2016;13(1):105-10. doi: 10.2174/1567201812666150722122657.
9
PEG--PCL polymeric nano-micelle inhibits vascular angiogenesis by activating p53-dependent apoptosis in zebrafish.聚乙二醇-聚己内酯聚合物纳米胶束通过激活斑马鱼中p53依赖性凋亡来抑制血管生成。
Int J Nanomedicine. 2016 Dec 5;11:6517-6531. doi: 10.2147/IJN.S112658. eCollection 2016.
10
Comb-like amphiphilic copolymers bearing acetal-functionalized backbones with the ability of acid-triggered hydrophobic-to-hydrophilic transition as effective nanocarriers for intracellular release of curcumin.具有缩醛官能化主链的梳状两亲性嵌段共聚物,在酸性触发下具有疏水到亲水的转变能力,可用作姜黄素细胞内释放的有效纳米载体。
Biomacromolecules. 2013 Nov 11;14(11):3973-84. doi: 10.1021/bm401087n. Epub 2013 Oct 29.

引用本文的文献

1
Development and characterization of a copolymeric micelle containing soluble and insoluble model drugs.开发并表征了一种包含可溶性和不溶性模型药物的共聚胶束。
PLoS One. 2023 May 25;18(5):e0286251. doi: 10.1371/journal.pone.0286251. eCollection 2023.
2
Irinotecan-Loaded Polymeric Micelles as a Promising Alternative to Enhance Antitumor Efficacy in Colorectal Cancer Therapy.载有伊立替康的聚合物胶束作为增强结直肠癌治疗抗肿瘤疗效的有前景的替代方案。
Polymers (Basel). 2022 Nov 14;14(22):4905. doi: 10.3390/polym14224905.
3
Characterizing the Drug-Release Enhancement Effect of Surfactants on Megestrol-Acetate-Loaded Granules.

本文引用的文献

1
The effect of hydrophilic and hydrophobic structure of amphiphilic polymeric micelles on their transport in epithelial MDCK cells.两亲性聚合物胶束的亲水和疏水结构对其在肠上皮 MDCK 细胞中转运的影响。
Biomaterials. 2013 Aug;34(26):6284-98. doi: 10.1016/j.biomaterials.2013.05.006. Epub 2013 May 25.
2
Biocompatibility of engineered nanoparticles for drug delivery.用于药物输送的工程纳米颗粒的生物相容性。
J Control Release. 2013 Mar 10;166(2):182-94. doi: 10.1016/j.jconrel.2012.12.013. Epub 2012 Dec 20.
3
Acute effects of electronic and tobacco cigarette smoking on complete blood count.
表征表面活性剂对载有甲地孕酮颗粒的药物释放增强作用
Pharmaceuticals (Basel). 2022 Jan 18;15(2):113. doi: 10.3390/ph15020113.
4
A Review on Conventional and Advanced Methods for Nanotoxicology Evaluation of Engineered Nanomaterials.纳米毒理学评价工程纳米材料的常规与先进方法综述。
Molecules. 2021 Oct 29;26(21):6536. doi: 10.3390/molecules26216536.
5
Increased Water-Solubility and Maintained Antioxidant Power of Resveratrol by Its Encapsulation in Vitamin E TPGS Micelles: A Potential Nutritional Supplement for Chronic Liver Disease.白藜芦醇包封于维生素E TPGS胶束中可提高其水溶性并保持抗氧化能力:一种用于慢性肝病的潜在营养补充剂。
Pharmaceutics. 2021 Jul 23;13(8):1128. doi: 10.3390/pharmaceutics13081128.
6
Differently PEGylated Polymer Nanoparticles for Pancreatic Cancer Delivery: Using a Novel Near-Infrared Emissive and Biodegradable Polymer as the Fluorescence Tracer.用于胰腺癌递送的不同聚乙二醇化聚合物纳米颗粒:使用新型近红外发射且可生物降解的聚合物作为荧光示踪剂。
Front Bioeng Biotechnol. 2021 Jun 29;9:699610. doi: 10.3389/fbioe.2021.699610. eCollection 2021.
7
High-capacity poly(2-oxazoline) formulation of TLR 7/8 agonist extends survival in a chemo-insensitive, metastatic model of lung adenocarcinoma.高容量聚(2-恶唑啉)TLR7/8 激动剂配方可延长化疗耐药、转移性肺腺癌模型的生存期。
Sci Adv. 2020 Jun 17;6(25):eaba5542. doi: 10.1126/sciadv.aba5542. eCollection 2020 Jun.
8
Lipid-coated ZnO nanoparticles synthesis, characterization and cytotoxicity studies in cancer cell.脂质包覆的氧化锌纳米颗粒的合成、表征及其在癌细胞中的细胞毒性研究
Nano Converg. 2020 Apr 23;7(1):14. doi: 10.1186/s40580-020-00224-9.
9
cRGDfK-Grafted Small-Size Quercetin Micelles For Enhancing Therapy Efficacy Of Active Ingredient From The Chinese Medicinal Herb.载 cRGDfK 树枝状小分子槲皮素胶束提高中药活性成分的治疗效果。
Int J Nanomedicine. 2019 Nov 27;14:9173-9184. doi: 10.2147/IJN.S219578. eCollection 2019.
10
Comparison of cytotoxicity and membrane efflux pump inhibition in HepG2 cells induced by single-walled carbon nanotubes with different length and functional groups.不同长度和官能团的单壁碳纳米管对 HepG2 细胞的细胞毒性和膜外排泵抑制作用的比较。
Sci Rep. 2019 May 17;9(1):7557. doi: 10.1038/s41598-019-43900-5.
电子香烟和传统香烟吸烟对全血细胞计数的急性影响。
Food Chem Toxicol. 2012 Oct;50(10):3600-3. doi: 10.1016/j.fct.2012.07.025. Epub 2012 Jul 31.
4
Advancing risk assessment of engineered nanomaterials: application of computational approaches.推进工程纳米材料风险评估:计算方法的应用。
Adv Drug Deliv Rev. 2012 Dec;64(15):1663-93. doi: 10.1016/j.addr.2012.05.014. Epub 2012 Jun 1.
5
Preparation and characterization of paclitaxel-loaded DSPE-PEG-liquid crystalline nanoparticles (LCNPs) for improved bioavailability.载紫杉醇的 DSPE-PEG-液晶纳米粒(LCNPs)的制备及表征,提高生物利用度。
Int J Pharm. 2012 Mar 15;424(1-2):58-66. doi: 10.1016/j.ijpharm.2011.12.058. Epub 2012 Jan 8.
6
Monitoring the transport of polymeric micelles across MDCK cell monolayer and exploring related mechanisms.监测聚合物胶束跨 MDCK 细胞单层的转运并探索相关机制。
J Control Release. 2012 Mar 28;158(3):413-23. doi: 10.1016/j.jconrel.2011.12.018. Epub 2011 Dec 29.
7
Amphiphilic linear-hyperbranched block copolymers bearing one poly(ethylene glycol) chain and several linear poly(ε-caprolactone) chains.带有一条聚乙二醇链和几条线性聚己内酯链的两亲性线性-超支化嵌段共聚物。
J Control Release. 2011 Nov 30;152 Suppl 1:e118-9. doi: 10.1016/j.jconrel.2011.08.162.
8
Comparing the toxic mechanism of synthesized zinc oxide nanomaterials by physicochemical characterization and reactive oxygen species properties.比较通过物理化学特性表征和活性氧特性合成氧化锌纳米材料的毒性机制。
Toxicol Lett. 2011 Dec 15;207(3):197-203. doi: 10.1016/j.toxlet.2011.09.011. Epub 2011 Sep 19.
9
Graphene-based hybrid materials and devices for biosensing.基于石墨烯的杂化材料及其在生物传感中的应用
Adv Drug Deliv Rev. 2011 Nov;63(14-15):1352-60. doi: 10.1016/j.addr.2011.07.005. Epub 2011 Aug 16.
10
Arecoline induced cell cycle arrest, apoptosis, and cytotoxicity to human endothelial cells.槟榔碱诱导人内皮细胞周期停滞、细胞凋亡和细胞毒性。
Clin Oral Investig. 2012 Aug;16(4):1267-73. doi: 10.1007/s00784-011-0604-1. Epub 2011 Aug 17.