Suppr超能文献

在实验性胸膜肺炎放线杆菌感染期间猪单核细胞在不同淋巴组织和肺部的分布及趋化因子的作用。

Distribution of porcine monocytes in different lymphoid tissues and the lungs during experimental Actinobacillus pleuropneumoniae infection and the role of chemokines.

机构信息

Veterinary Research Institute, Hudcova 70, Brno 621 00, Czech Republic.

出版信息

Vet Res. 2013 Oct 17;44(1):98. doi: 10.1186/1297-9716-44-98.

Abstract

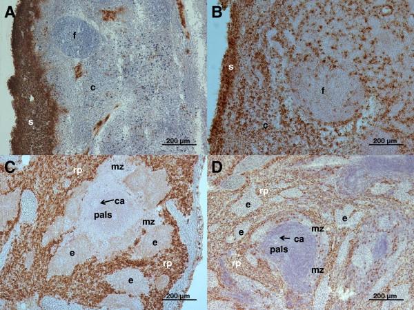
Monocytes play an essential role in the defense against bacterial pathogens. Bone marrow (BM) and peripheral blood (PB) monocytes in pigs consist of the main "steady-state" subpopulations: CD14 hi/CD163-/SLA-DR- and CD14 low/CD163+/SLA-DR+. During inflammation, the subpopulation of "inflammatory" monocytes expressing very high levels of CD163, but lacking the SLA-DR molecule (being CD14 low/CD163+/SLA-DR-) appears in the BM and PB and replaces the CD14 low/CD163+/SLA-DR+ subpopulation. However, current knowledge of monocyte migration into inflamed tissues in pigs is limited. The aim of the present study was to evaluate the distribution of "inflammatory" CD14 low/CD163+/SLA-DR- monocytes during experimental inflammation induced by Actinobacillus pleuropneumoniae (APP) and a possible role for chemokines in attracting "inflammatory" CD14 low/CD163+/SLA-DR- monocytes into the tissues. Monocyte subpopulations were detected by flow cytometry. Chemokines and chemokine receptors were detected by RT-qPCR. The "steady-state" monocytes were found in the BM, PB, spleen and lungs of control pigs. After APP-infection, "inflammatory" monocytes replaced the "steady-state" subpopulation in BM, PB, spleen and moreover, they appeared in an unaffected area, demarcation zone and necrotic area of the lungs and in tracheobronchial lymph nodes. They did not appear in mesenteric lymph nodes. Levels of mRNA for various chemokines with their appropriate receptors were found to be elevated in BM (CCL3-CCR1/CCR5, CCL8-CCR2/CCR5, CCL19-CCR7), necrotic area of the lungs (CCL3-CCR1, CCL5-CCR1/CCR3, CCL11-CCR3, CCL22/CCR4) and tracheobronchial lymph nodes (CCL3-CCR1) and therefore they could play a role in attracting monocytes into inflamed tissues. In conclusion, "inflammatory" monocytes appear in different lymphoid tissues and the lungs after APP infection in pigs. Various chemokines could drive this process.

摘要

单核细胞在抵御细菌病原体方面发挥着重要作用。猪的骨髓(BM)和外周血(PB)单核细胞由主要的“稳态”亚群组成:CD14 hi/CD163-/SLA-DR-和 CD14 low/CD163+/SLA-DR+。在炎症过程中,表达高水平 CD163 但缺乏 SLA-DR 分子的“炎症”单核细胞亚群出现在 BM 和 PB 中,并取代 CD14 low/CD163+/SLA-DR+亚群。然而,目前对猪炎症组织中单细胞迁移的了解有限。本研究旨在评估在胸膜肺炎放线杆菌(APP)诱导的实验性炎症过程中“炎症”CD14 low/CD163+/SLA-DR-单核细胞的分布,以及趋化因子在吸引“炎症”CD14 low/CD163+/SLA-DR-单核细胞进入组织中的可能作用。通过流式细胞术检测单核细胞亚群。通过 RT-qPCR 检测趋化因子和趋化因子受体。在对照猪的 BM、PB、脾脏和肺中发现了“稳态”单核细胞。在 APP 感染后,“炎症”单核细胞取代了 BM、PB、脾脏中的“稳态”亚群,并且它们出现在肺的未受影响区域、分界区和坏死区以及气管支气管淋巴结中。它们未出现在肠系膜淋巴结中。发现 BM 中各种趋化因子及其相应受体的 mRNA 水平升高(CCL3-CCR1/CCR5、CCL8-CCR2/CCR5、CCL19-CCR7)、肺坏死区(CCL3-CCR1、CCL5-CCR1/CCR3、CCL11-CCR3、CCL22/CCR4)和气管支气管淋巴结(CCL3-CCR1),因此它们可能在吸引单核细胞进入炎症组织中发挥作用。总之,在 APP 感染后的猪中,“炎症”单核细胞出现在不同的淋巴组织和肺部。各种趋化因子可能驱动这一过程。

https://cdn.ncbi.nlm.nih.gov/pmc/blobs/163c/4015119/1c1c00b6493a/1297-9716-44-98-1.jpg

文献检索

告别复杂PubMed语法,用中文像聊天一样搜索,搜遍4000万医学文献。AI智能推荐,让科研检索更轻松。

立即免费搜索

文件翻译

保留排版,准确专业,支持PDF/Word/PPT等文件格式,支持 12+语言互译。

免费翻译文档

深度研究

AI帮你快速写综述,25分钟生成高质量综述,智能提取关键信息,辅助科研写作。

立即免费体验