Suppr超能文献

可注射生物复合材料促进兔股骨髁缺损骨愈合。

Injectable biocomposites for bone healing in rabbit femoral condyle defects.

机构信息

Department of Orthopaedics, General Hospital of People's Liberation Army, Beijing, China.

出版信息

PLoS One. 2013 Oct 16;8(10):e75668. doi: 10.1371/journal.pone.0075668. eCollection 2013.

Abstract

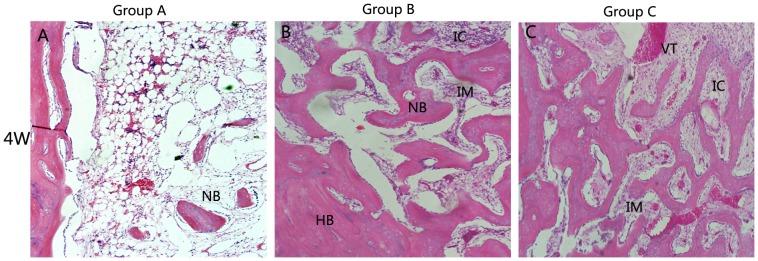
A novel biomimetic bone scaffold was successfully prepared in this study, which was composed of calcium sulfate hemihydrate (CSH), collagen and nano-hydroxyapatite (nHAC). CSH/nHAC was prepared and observed with scanning electron microscope and rhBMP-2 was introduced into CSH/nHAC. The released protein content from the scaffold was detected using high performance liquid chromatography at predetermined time interval. In vivo bone formation capacity was investigated by means of implanting the scaffolds with rhBMP-2 or without rhBMP-2 respectively into a critical size defect model in the femoral condyle of rabbit. The releasing character of rhBMP-2 was that an initial burst release (37.5%) was observed in the first day, followed by a sustained release and reached 100% at the end of day 20. The CSH/nHAC showed a gradual decrease in degradation with the content of nHAC increase. The results of X-rays, Micro CT and histological observation indicated that more new bone was formed in rhBMP-2 group. The results implied that this new injectable bone scaffold should be very promising for bone repair and has a great potential in bone tissue engineering.

摘要

本研究成功制备了一种新型仿生骨支架,由半水硫酸钙(CSH)、胶原蛋白和纳米羟基磷灰石(nHAC)组成。通过扫描电子显微镜观察和制备了 CSH/nHAC,并将 rhBMP-2 引入 CSH/nHAC。在预定的时间间隔内,使用高效液相色谱法检测支架中 rhBMP-2 的释放蛋白含量。通过将含有 rhBMP-2 或不含 rhBMP-2 的支架分别植入兔股骨髁的临界尺寸缺损模型中,研究了体内成骨能力。rhBMP-2 的释放特征是在第 1 天观察到初始突释(37.5%),随后持续释放,并在第 20 天结束时达到 100%。CSH/nHAC 的降解呈逐渐下降趋势,随着 nHAC 含量的增加而降低。X 射线、Micro CT 和组织学观察结果表明,rhBMP-2 组形成了更多的新骨。这些结果表明,这种新型可注射骨支架有望用于骨修复,在骨组织工程中有很大的应用潜力。

https://cdn.ncbi.nlm.nih.gov/pmc/blobs/c1e7/3797737/91a86488ff46/pone.0075668.g001.jpg

文献AI研究员

20分钟写一篇综述,助力文献阅读效率提升50倍。

立即体验

用中文搜PubMed

大模型驱动的PubMed中文搜索引擎

马上搜索

文档翻译

学术文献翻译模型,支持多种主流文档格式。

立即体验