Suppr超能文献

对于非精原细胞瘤性睾丸转移瘤,在基于博来霉素的治疗后肝脏出现病变时,最好不要仅考虑转移。 (原英文表述似乎不太准确规范,这是尽力按照字面意思翻译的结果)

FELD better not thinking of metastases only when liver lesions appear after bleomycin-based treatment for non-seminoma testis from metastases.

作者信息

De Vos Filip Y F L, Mulder Sasja F, Drenth Joost P H, Nagtegaal Iris D, Fütterer Jurgen J, van der Graaf Winette T A

机构信息

Department of Medical Oncology, Radboud University Nijmegen Medical Centre, P,O, Box 9101, 6500 HB Nijmegen, Netherlands.

出版信息

BMC Cancer. 2013 Oct 22;13:491. doi: 10.1186/1471-2407-13-491.

Abstract

BACKGROUND

Bleomycin has become an integral part of chemotherapy in patients with germ-cell tumors. One of the most feared side effects is bleomycin-induced pneumonitis. In patients with mild or moderate BIP, radiological signs disappear almost completely within nine months after discontinuation of bleomycin treatment.

CASE PRESENTATION

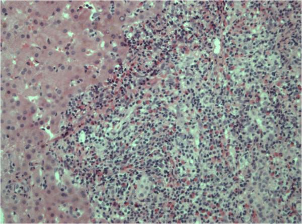
We present a patient with a history of non seminoma of the testis and bleomycin-induced pneumonitis. During follow-up, regression of the hypothesis of eosinophilic migration to the liver after regression of bleomycin-induced pneumonitis is highly suspicious based on transient eosinophilia and focal eosinophilic liver disease.

CONCLUSION

As follow up may consist of CT scanning in germ-line tumor patients, transient eosinophilic liver lesions reported during regressive bleomycin-induced pneumonitis should not be presumed automatically as metastatic tumor relapse and require further sequential imaging and pathological examination.

摘要

背景

博来霉素已成为生殖细胞肿瘤患者化疗的重要组成部分。最令人担忧的副作用之一是博来霉素诱发的肺炎。在轻度或中度博来霉素诱发肺炎(BIP)患者中,博来霉素治疗中断后九个月内,放射学征象几乎完全消失。

病例介绍

我们报告一名患有睾丸非精原细胞瘤病史且发生博来霉素诱发肺炎的患者。在随访期间,基于短暂性嗜酸性粒细胞增多和局灶性嗜酸性肝病,博来霉素诱发肺炎消退后嗜酸性粒细胞向肝脏迁移这一假说的消退高度可疑。

结论

由于生殖系肿瘤患者的随访可能包括CT扫描,在博来霉素诱发肺炎消退期间报告的短暂性嗜酸性肝损伤不应自动假定为转移性肿瘤复发,需要进一步进行连续成像和病理检查。

https://cdn.ncbi.nlm.nih.gov/pmc/blobs/5cce/4015643/280e0f0b2b02/1471-2407-13-491-1.jpg

文献AI研究员

20分钟写一篇综述,助力文献阅读效率提升50倍。

立即体验

用中文搜PubMed

大模型驱动的PubMed中文搜索引擎

马上搜索

文档翻译

学术文献翻译模型,支持多种主流文档格式。

立即体验