Suppr超能文献

嗜酸性膀胱炎合并嗜酸性胆囊炎:一种罕见的关联。

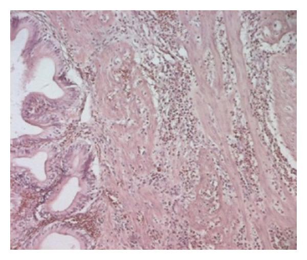
Eosinophilic cystitis with eosinophilic cholecystitis: a rare association.

作者信息

Mallat F, Hmida W, Mestiri S, Ziadi S, Sriha B, Mokni M, Mosbah F

机构信息

Urology Department, Sahloul Hospital, Sousse, Tunisia.

出版信息

Case Rep Urol. 2013;2013:146020. doi: 10.1155/2013/146020. Epub 2013 Oct 1.

Abstract

We describe a rare case of eosinophilic cystitis associated with eosinophilic cholecystitis in a 30-year-old patient who underwent bladder biopsy for irritative voiding symptoms and routine elective cholecystectomy for gallstones. Diagnosis was confirmed by histopathological examination. The rarity of this condition prompted us to report this entity in which no specific cause could be found.

摘要

我们描述了一例罕见的嗜酸性膀胱炎合并嗜酸性胆囊炎病例,患者为一名30岁女性,因刺激性排尿症状接受膀胱活检,并因胆结石接受常规择期胆囊切除术。组织病理学检查确诊了该疾病。这种情况的罕见性促使我们报告这一病例,其中未发现具体病因。

https://cdn.ncbi.nlm.nih.gov/pmc/blobs/66a6/3806378/d07d04aae0d6/CRIM.UROLOGY2013-146020.001.jpg

文献AI研究员

20分钟写一篇综述,助力文献阅读效率提升50倍。

立即体验

用中文搜PubMed

大模型驱动的PubMed中文搜索引擎

马上搜索

文档翻译

学术文献翻译模型,支持多种主流文档格式。

立即体验