• 文献检索
  • 文档翻译
  • 深度研究
  • 学术资讯
  • Suppr Zotero 插件Zotero 插件
  • 邀请有礼
  • 套餐&价格
  • 历史记录
应用&插件
Suppr Zotero 插件Zotero 插件浏览器插件Mac 客户端Windows 客户端微信小程序
定价
高级版会员购买积分包购买API积分包
服务
文献检索文档翻译深度研究API 文档MCP 服务
关于我们
关于 Suppr公司介绍联系我们用户协议隐私条款
关注我们

Suppr 超能文献

核心技术专利:CN118964589B侵权必究
粤ICP备2023148730 号-1Suppr @ 2026

文献检索

告别复杂PubMed语法,用中文像聊天一样搜索,搜遍4000万医学文献。AI智能推荐,让科研检索更轻松。

立即免费搜索

文件翻译

保留排版,准确专业,支持PDF/Word/PPT等文件格式,支持 12+语言互译。

免费翻译文档

深度研究

AI帮你快速写综述,25分钟生成高质量综述,智能提取关键信息,辅助科研写作。

立即免费体验

仙台病毒HN和F0糖蛋白的未成熟形式与成熟形式之间存在剧烈的免疫反应性变化。

Drastic immunoreactivity changes between the immature and mature forms of the Sendai virus HN and F0 glycoproteins.

作者信息

Mottet G, Portner A, Roux L

出版信息

J Virol. 1986 Jul;59(1):132-41. doi: 10.1128/JVI.59.1.132-141.1986.

DOI:10.1128/JVI.59.1.132-141.1986
PMID:2423701
原文链接:https://pmc.ncbi.nlm.nih.gov/articles/PMC253048/
Abstract

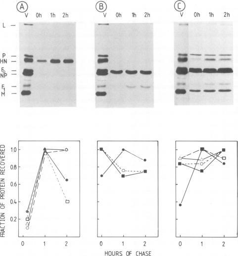
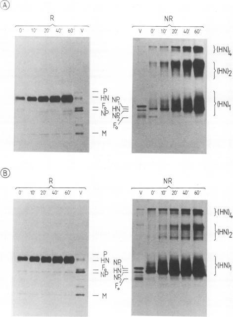
The immunoreactivity of the Sendai virus HN and F0 glycoproteins was shown to mature before reaching the final form exhibited by the native mature proteins. The maturation process differed for the two proteins. The native F0 immunoreactivity was shown to be defined cotranslationally, and the addition of high-mannose sugar residues may represent the final step in defining the maturation of immunoreactivity. On the other hand, native HN immunoreactivity was slowly fashioned during the hour after the completion of protein synthesis. Although addition of high-mannose sugar could constitute a necessary step in this slow maturation process, it was shown not to be sufficient. Processing of high-mannose sugars and HN self-association in homodimers and homotetramers were investigated as possible steps involved in the slow maturation of HN immunoreactivity. They were found not to play a significant role. On the other hand, conformational changes presumably took place during the maturation of HN immunoreactivity. Drastic immunoreactivity differences were also demonstrated between the native and denatured forms of the glycoproteins. Possible implications of these results in defining the pathways of glycoprotein synthesis are discussed.

摘要

仙台病毒HN和F0糖蛋白的免疫反应性在达到天然成熟蛋白所呈现的最终形式之前就已成熟。这两种蛋白的成熟过程有所不同。天然F0免疫反应性被证明是在共翻译时确定的,高甘露糖残基的添加可能代表了确定免疫反应性成熟的最后一步。另一方面,天然HN免疫反应性在蛋白质合成完成后的一小时内缓慢形成。尽管高甘露糖的添加可能是这个缓慢成熟过程中的一个必要步骤,但事实证明这还不够。研究了高甘露糖的加工以及HN在同二聚体和同四聚体中的自缔合,将其作为可能参与HN免疫反应性缓慢成熟的步骤。结果发现它们并没有起到显著作用。另一方面,在HN免疫反应性成熟过程中可能发生了构象变化。糖蛋白的天然形式和变性形式之间也表现出显著的免疫反应性差异。讨论了这些结果在确定糖蛋白合成途径方面的可能意义。

https://cdn.ncbi.nlm.nih.gov/pmc/blobs/71f6/253048/a2ea4b3a5299/jvirol00106-0147-a.jpg
https://cdn.ncbi.nlm.nih.gov/pmc/blobs/71f6/253048/55ada8c8021d/jvirol00106-0142-a.jpg
https://cdn.ncbi.nlm.nih.gov/pmc/blobs/71f6/253048/6156b1c5faa4/jvirol00106-0143-a.jpg
https://cdn.ncbi.nlm.nih.gov/pmc/blobs/71f6/253048/1b373ca06de3/jvirol00106-0143-b.jpg
https://cdn.ncbi.nlm.nih.gov/pmc/blobs/71f6/253048/56edd594592b/jvirol00106-0144-a.jpg
https://cdn.ncbi.nlm.nih.gov/pmc/blobs/71f6/253048/0833b47c796f/jvirol00106-0144-b.jpg
https://cdn.ncbi.nlm.nih.gov/pmc/blobs/71f6/253048/20e50241254f/jvirol00106-0144-c.jpg
https://cdn.ncbi.nlm.nih.gov/pmc/blobs/71f6/253048/59fddaa01029/jvirol00106-0145-a.jpg
https://cdn.ncbi.nlm.nih.gov/pmc/blobs/71f6/253048/8317808e6643/jvirol00106-0146-a.jpg
https://cdn.ncbi.nlm.nih.gov/pmc/blobs/71f6/253048/a2ea4b3a5299/jvirol00106-0147-a.jpg
https://cdn.ncbi.nlm.nih.gov/pmc/blobs/71f6/253048/55ada8c8021d/jvirol00106-0142-a.jpg
https://cdn.ncbi.nlm.nih.gov/pmc/blobs/71f6/253048/6156b1c5faa4/jvirol00106-0143-a.jpg
https://cdn.ncbi.nlm.nih.gov/pmc/blobs/71f6/253048/1b373ca06de3/jvirol00106-0143-b.jpg
https://cdn.ncbi.nlm.nih.gov/pmc/blobs/71f6/253048/56edd594592b/jvirol00106-0144-a.jpg
https://cdn.ncbi.nlm.nih.gov/pmc/blobs/71f6/253048/0833b47c796f/jvirol00106-0144-b.jpg
https://cdn.ncbi.nlm.nih.gov/pmc/blobs/71f6/253048/20e50241254f/jvirol00106-0144-c.jpg
https://cdn.ncbi.nlm.nih.gov/pmc/blobs/71f6/253048/59fddaa01029/jvirol00106-0145-a.jpg
https://cdn.ncbi.nlm.nih.gov/pmc/blobs/71f6/253048/8317808e6643/jvirol00106-0146-a.jpg
https://cdn.ncbi.nlm.nih.gov/pmc/blobs/71f6/253048/a2ea4b3a5299/jvirol00106-0147-a.jpg

相似文献

1
Drastic immunoreactivity changes between the immature and mature forms of the Sendai virus HN and F0 glycoproteins.仙台病毒HN和F0糖蛋白的未成熟形式与成熟形式之间存在剧烈的免疫反应性变化。
J Virol. 1986 Jul;59(1):132-41. doi: 10.1128/JVI.59.1.132-141.1986.
2
Intracellular maturation of mumps virus hemagglutinin-neuraminidase glycoprotein: conformational changes detected with monoclonal antibodies.腮腺炎病毒血凝素-神经氨酸酶糖蛋白的细胞内成熟:用单克隆抗体检测到的构象变化
J Virol. 1986 Aug;59(2):392-400. doi: 10.1128/JVI.59.2.392-400.1986.
3
Addition of high-mannose sugars must precede disulfide bond formation for proper folding of Sendai virus glycoproteins.为使仙台病毒糖蛋白正确折叠,高甘露糖糖的添加必须先于二硫键形成。
J Virol. 1989 Feb;63(2):892-900. doi: 10.1128/JVI.63.2.892-900.1989.
4
Neutralizing activity of the antibodies against two kinds of envelope glycoproteins of Sendai virus.
Arch Virol. 1986;91(1-2):145-61. doi: 10.1007/BF01316735.
5
Cytotoxic T-lymphocyte reactivity with individual Sendai virus glycoproteins.细胞毒性T淋巴细胞与仙台病毒各糖蛋白的反应性。
J Virol. 1985 Apr;54(1):53-7. doi: 10.1128/JVI.54.1.53-57.1985.
6
Maturation of the envelope glycoproteins of Newcastle disease virus on cellular membranes.新城疫病毒包膜糖蛋白在细胞膜上的成熟过程。
J Virol. 1982 Mar;41(3):947-57. doi: 10.1128/JVI.41.3.947-957.1982.
7
Monoclonal antibodies specific for Sendai virus. I. Production and characterization of monoclonal antibodies.
Scand J Immunol. 1986 Sep;24(3):335-40. doi: 10.1111/j.1365-3083.1986.tb02102.x.
8
Monoclonal antibodies reveal extensive antigenic differences between the hemagglutinin-neuraminidase glycoproteins of human and bovine parainfluenza 3 viruses.单克隆抗体揭示了人副流感3病毒和牛副流感3病毒的血凝素-神经氨酸酶糖蛋白之间存在广泛的抗原差异。
Virology. 1986 Jan 15;148(1):232-6. doi: 10.1016/0042-6822(86)90420-4.
9
Intracellular processing of the human respiratory syncytial virus fusion glycoprotein: amino acid substitutions affecting folding, transport and cleavage.人呼吸道合胞病毒融合糖蛋白的细胞内加工:影响折叠、转运和切割的氨基酸取代
J Gen Virol. 1992 May;73 ( Pt 5):1177-88. doi: 10.1099/0022-1317-73-5-1177.
10
Immunological relationships between mumps virus and parainfluenza viruses studied with monoclonal antibodies.用单克隆抗体研究腮腺炎病毒与副流感病毒之间的免疫学关系。
J Gen Virol. 1986 Sep;67 ( Pt 9):1929-39. doi: 10.1099/0022-1317-67-9-1929.

引用本文的文献

1
Addicted to sugar: roles of glycans in the order Mononegavirales.对糖上瘾:聚糖在单负链病毒目中的作用。
Glycobiology. 2019 Jan 1;29(1):2-21. doi: 10.1093/glycob/cwy053.
2
The neutralizing capacity of antibodies elicited by parainfluenza virus infection of African Green Monkeys is dependent on complement.副流感病毒感染非洲绿猴所诱导的抗体中和能力依赖于补体。
Virology. 2014 Jul;460-461:23-33. doi: 10.1016/j.virol.2014.05.004. Epub 2014 May 29.
3
Mutation of the TYTLE motif in the cytoplasmic tail of the sendai virus fusion protein deeply affects viral assembly and particle production.

本文引用的文献

1
The spontaneous insertion of proteins into and across membranes: the helical hairpin hypothesis.蛋白质自发插入和穿过膜:螺旋发夹假说。
Cell. 1981 Feb;23(2):411-22. doi: 10.1016/0092-8674(81)90136-7.
2
Studies on the size, chemical composition, and partial sequence of the neuraminidase (NA) from type A influenza viruses show that the N-terminal region of the NA is not processed and serves to anchor the NA in the viral membrane.对甲型流感病毒神经氨酸酶(NA)的大小、化学成分和部分序列的研究表明,NA的N端区域未被加工,并用于将NA锚定在病毒膜中。
Virology. 1982 May;119(1):109-21. doi: 10.1016/0042-6822(82)90069-1.
3
Mechanisms for the incorporation of proteins in membranes and organelles.
仙台病毒融合蛋白胞质尾中TYTLE基序的突变深刻影响病毒组装和颗粒产生。
PLoS One. 2013 Dec 10;8(12):e78074. doi: 10.1371/journal.pone.0078074. eCollection 2013.
4
Evaluation of the replication, pathogenicity, and immunogenicity of avian paramyxovirus (APMV) serotypes 2, 3, 4, 5, 7, and 9 in rhesus macaques.评估禽副黏病毒(APMV)血清型 2、3、4、5、7 和 9 在恒河猴中的复制、致病性和免疫原性。
PLoS One. 2013 Oct 10;8(10):e75456. doi: 10.1371/journal.pone.0075456. eCollection 2013.
5
Antagonism to human BST-2/tetherin by Sendai virus glycoproteins.抗人 BST-2/ tetherin 的仙台病毒糖蛋白。
J Gen Virol. 2013 Jun;94(Pt 6):1211-1219. doi: 10.1099/vir.0.051771-0. Epub 2013 Mar 6.
6
Recombinant newcastle disease virus expressing a foreign viral antigen is attenuated and highly immunogenic in primates.表达外源病毒抗原的重组新城疫病毒在灵长类动物中减毒且具有高度免疫原性。
J Virol. 2005 Nov;79(21):13275-84. doi: 10.1128/JVI.79.21.13275-13284.2005.
7
Sendai virus assembly: M protein binds to viral glycoproteins in transit through the secretory pathway.仙台病毒组装:M蛋白在通过分泌途径转运过程中与病毒糖蛋白结合。
J Virol. 1993 Feb;67(2):651-63. doi: 10.1128/JVI.67.2.651-663.1993.
8
Intracellular processing and antigenic maturation of measles virus hemagglutinin protein.
Arch Virol. 1994;136(3-4):239-53. doi: 10.1007/BF01321055.
9
Intracellular processing of measles virus fusion protein.麻疹病毒融合蛋白的细胞内加工过程。
Arch Virol. 1988;98(1-2):39-50. doi: 10.1007/BF01321004.
10
Evidence that the fusion protein of respiratory syncytial virus exists as a dimer in its native form. Brief report.呼吸道合胞病毒融合蛋白以天然二聚体形式存在的证据。简报。
Arch Virol. 1989;106(3-4):327-34. doi: 10.1007/BF01313961.
蛋白质整合到膜和细胞器中的机制。
J Cell Biol. 1982 Jan;92(1):1-22. doi: 10.1083/jcb.92.1.1.
4
Synthesis and processing of asparagine-linked oligosaccharides.天冬酰胺连接寡糖的合成与加工
Annu Rev Biochem. 1981;50:555-83. doi: 10.1146/annurev.bi.50.070181.003011.
5
endo-beta-N-acetylglucosaminidase F: endoglycosidase from Flavobacterium meningosepticum that cleaves both high-mannose and complex glycoproteins.内切-β-N-乙酰氨基葡萄糖苷酶F:来自脑膜败血黄杆菌的内切糖苷酶,可切割高甘露糖型和复合型糖蛋白。
Proc Natl Acad Sci U S A. 1982 Aug;79(15):4540-4. doi: 10.1073/pnas.79.15.4540.
6
A carbohydrate side chain on hemagglutinins of Hong Kong influenza viruses inhibits recognition by a monoclonal antibody.香港流感病毒血凝素上的碳水化合物侧链可抑制单克隆抗体的识别。
Proc Natl Acad Sci U S A. 1984 Mar;81(6):1779-83. doi: 10.1073/pnas.81.6.1779.
7
The carboxyterminus of the hemagglutinin-neuraminidase of Newcastle disease virus is exposed at the surface of the viral envelope.新城疫病毒血凝素神经氨酸酶的羧基末端暴露于病毒包膜表面。
Virus Res. 1984;1(5):415-26. doi: 10.1016/0168-1702(84)90027-3.
8
Carbohydrate dramatically influences immune reactivity of antisera to viral glycoprotein antigens.碳水化合物对针对病毒糖蛋白抗原的抗血清的免疫反应性有显著影响。
Science. 1984 Dec 14;226(4680):1328-30. doi: 10.1126/science.6505693.
9
Glycosyl transferases of baby-hamster-kidney (BHK) cells and ricin-resistant mutants. N-glycan biosynthesis.幼仓鼠肾(BHK)细胞的糖基转移酶和蓖麻毒素抗性突变体。N-聚糖生物合成。
Eur J Biochem. 1981 Jul;117(2):275-84. doi: 10.1111/j.1432-1033.1981.tb06334.x.
10
Defective interfering particles of Sendai virus modulate HN expression at the surface of infected BHK cells.仙台病毒的缺陷干扰颗粒调节受感染的BHK细胞表面的HN表达。
Virology. 1983 Oct 15;130(1):91-104. doi: 10.1016/0042-6822(83)90120-4.