Suppr超能文献

英国红松鼠(Sciurus vulgaris)死后的致死原因和尸检病变观察。

Causes of mortality and pathological lesions observed post-mortem in red squirrels (Sciurus vulgaris) in Great Britain.

机构信息

Wildlife Veterinary Investigation Centre, Chacewater, Truro, Cornwall TR4 8 PB, UK.

出版信息

BMC Vet Res. 2013 Nov 16;9:229. doi: 10.1186/1746-6148-9-229.

Abstract

BACKGROUND

The red squirrel population in Great Britain has declined dramatically in recent decades, principally due to squirrelpox. Concern exists that red squirrels may become extinct nationally and, as there has been limited research in to diseases other than squirrelpox, this study aimed to identify additional causes of mortality.

RESULTS

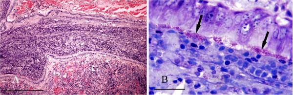
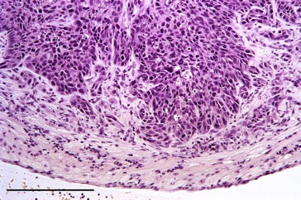
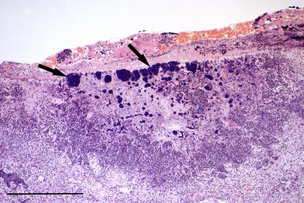
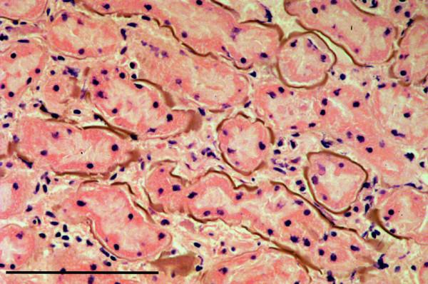
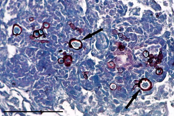
Post-mortem examinations on 163 red squirrels found dead on Isle of Wight (IoW) England, in Scotland and at other locations in Great Britain showed that 41.7% (n = 68) were killed by road traffic and 9.2% (n = 15) by predators, principally domestic cats and dogs. The overall male/female ratio was 1.08/1. Fleas were recorded on 34.9% of IoW squirrels and on 43.8% of Scottish squirrels but sucking lice and ixodid ticks were only seen on Scottish squirrels. Bacterial infections were significant, particularly in association with respiratory disease (n = 16); two squirrels died of Bordetella bronchiseptica bronchopneumonia. Cases of fatal exudative dermatitis (n = 5) associated with a lukM-positive clone of Staphylococcus aureus occurred only on the IoW. Toxoplasmosis (n = 12) was also confined to IoW where it was responsible for almost one tenth (9.5%) of all deaths. Hepatozoonosis was common, especially in IoW squirrels, but was not considered a primary cause of mortality. Hepatic capillariasis affected four IoW squirrels and one from Scotland. Fungal infections included oral candidiasis, adiaspiromycosis and pulmonary phaeohyphomycosis. Neoplastic conditions diagnosed were: pulmonary carcinoma, gastric spindle cell tumour, renal papillary adenoma and trichoepithelioma. Epidermal hyperplasia of unknown aetiology was seen in squirrels showing crusty lesions of the ear pinnae on IoW (n = 3) and Brownsea Island (n = 1), associated in two cases with cutaneous wart-like growths. Miscellaneous diagnoses included chylothorax, electrocution, intussusception, suspected cholecalciferol rodenticide poisoning and foetal death and mummification. No cases of squirrelpox were diagnosed.

CONCLUSIONS

Red squirrels in Britain suffer premature or unnatural mortality due to a number of conditions in addition to squirrelpox, many of which result, directly or indirectly, from human activities: road traffic trauma, pet predation, toxoplasmosis, trap injuries, rodenticide poisoning and electrocution accounted for 61% of all recorded mortality in this study. Red squirrels are also affected by several diseases of unknown aetiology which merit further research.

摘要

背景

近年来,英国红松鼠的数量急剧减少,主要原因是松鼠痘。人们担心红松鼠可能会在全国范围内灭绝,而且由于除了松鼠痘之外,对其他疾病的研究有限,因此本研究旨在确定其他死亡原因。

结果

对在英格兰怀特岛(Isle of Wight)、苏格兰和英国其他地方死亡的 163 只红松鼠进行的剖检显示,41.7%(n=68)死于交通事故,9.2%(n=15)死于捕食者,主要是家猫和狗。雄性/雌性的总体比例为 1.08/1。怀特岛的 34.9%的松鼠和苏格兰的 43.8%的松鼠身上有跳蚤,但只在苏格兰的松鼠身上发现了吸虱和壁虱。细菌性感染很常见,特别是与呼吸道疾病有关(n=16);有两只松鼠死于支气管败血波氏杆菌支气管肺炎。在怀特岛,只有 5 例致命渗出性皮炎(exudative dermatitis)与金黄色葡萄球菌 lukM 阳性克隆有关。仅在怀特岛发现了 12 例弓形体病(toxoplasmosis),占所有死亡人数的近十分之一(9.5%)。肝血孢子虫病很常见,尤其是在怀特岛的松鼠中,但被认为不是主要的死亡原因。肝毛细线虫病影响了 4 只怀特岛的松鼠和 1 只来自苏格兰的松鼠。真菌感染包括口腔念珠菌病、蛛网霉病和肺暗色丝孢霉病。诊断出的肿瘤疾病包括:肺腺癌、胃梭形细胞瘤、肾乳头腺瘤和毛上皮瘤。在怀特岛(n=3)和布朗西岛(n=1)出现耳部耳甲有结痂病变的松鼠中,发现了一种病因不明的表皮增生,在两例中与皮肤疣状生长有关。其他诊断包括乳糜胸、触电、肠套叠、疑似维生素 D 中毒、胎儿死亡和木乃伊化。未诊断出松鼠痘。

结论

英国的红松鼠由于除松鼠痘以外的许多因素而遭受过早或非自然死亡,其中许多因素直接或间接由人类活动造成:道路交通创伤、宠物捕食、弓形体病、陷阱伤害、鼠药中毒和触电导致了本研究中记录的所有死亡的 61%。红松鼠还受到几种病因不明的疾病的影响,这些疾病值得进一步研究。

https://cdn.ncbi.nlm.nih.gov/pmc/blobs/cba8/4225685/21cc4f5a0990/1746-6148-9-229-1.jpg

文献AI研究员

20分钟写一篇综述,助力文献阅读效率提升50倍。

立即体验

用中文搜PubMed

大模型驱动的PubMed中文搜索引擎

马上搜索

文档翻译

学术文献翻译模型,支持多种主流文档格式。

立即体验