Suppr超能文献

婴儿黑色素神经外胚层肿瘤:来自亚马逊地区的非洲裔土著患者的病例报告。

Melanotic neuroectodermal tumor of infancy in an African-indigenous patient from the Amazon: a case report.

机构信息

Oral radiology department, Dentistry posgraduation program, Federal University of Pará, Belém, PA, Brazil.

出版信息

Head Face Med. 2013 Nov 25;9:35. doi: 10.1186/1746-160X-9-35.

Abstract

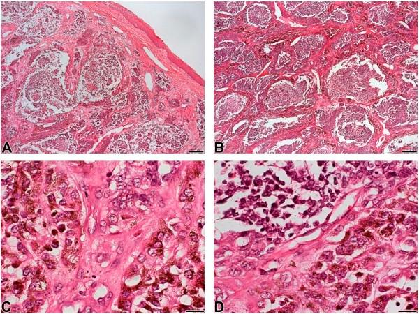
Melanotic neuroectodermal tumor of infancy (MNTI) is a rare condition that occurs normally in the anterior maxilla of infants aged <1 year. The use of clinical and imaging tools for MNTI is extremely important to prevent problems with function as well as the aesthetic features in a breastfeeding child. Brazil is a multiethnic country with a poor epidemiological policy and little data to track the incidence of certain diseases, including MNTI. It is important to study this pathology with ethnicity as a factor to improve the current epidemiological programs and establish better post-treatment management. This paper describes a case of a 2-month-old male of African-indigenous descent and Brazilian Amazon residency, who presented to our unit in 2009 with a history of an expanding mass involving the anterior maxilla. Clinical and computerized tomography scans were used to diagnose the mass as MNTI, which was removed by total excision. A biopsy later confirmed the MNTI diagnosis.

摘要

婴儿黑色素神经外胚层肿瘤(MNTI)是一种罕见的疾病,通常发生在年龄<1 岁的婴儿的上颌前部。使用临床和影像学工具对 MNTI 进行诊断对于预防母乳喂养儿童的功能和美观问题非常重要。巴西是一个多民族国家,其流行病学政策不佳,关于某些疾病(包括 MNTI)的发病率数据很少。研究这种病理学,将种族作为一个因素,可以改善当前的流行病学计划,并建立更好的治疗后管理。本文描述了一名 2 个月大的非洲裔巴西亚马逊原住民男性患者,他于 2009 年因前上颌部肿块增大而就诊。临床和计算机断层扫描用于诊断该肿块为 MNTI,并通过完全切除进行了切除。活检后证实了 MNTI 的诊断。

https://cdn.ncbi.nlm.nih.gov/pmc/blobs/d750/4222608/a089ea8ae14a/1746-160X-9-35-1.jpg

文献AI研究员

20分钟写一篇综述,助力文献阅读效率提升50倍。

立即体验

用中文搜PubMed

大模型驱动的PubMed中文搜索引擎

马上搜索

文档翻译

学术文献翻译模型,支持多种主流文档格式。

立即体验