Suppr超能文献

移植于大鼠体内的微载体附着肝细胞的存活、组织及功能

Survival, organization, and function of microcarrier-attached hepatocytes transplanted in rats.

作者信息

Demetriou A A, Levenson S M, Novikoff P M, Novikoff A B, Chowdhury N R, Whiting J, Reisner A, Chowdhury J R

出版信息

Proc Natl Acad Sci U S A. 1986 Oct;83(19):7475-9. doi: 10.1073/pnas.83.19.7475.

Abstract

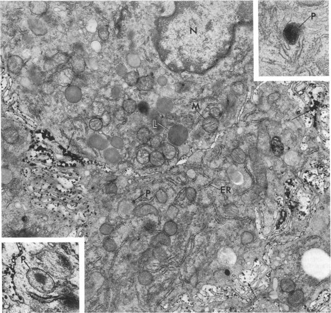
Hepatocytes harvested by collagenase perfusion of rat liver were attached to collagen-coated microcarriers and injected intraperitoneally into congeneic or allogeneic bilirubin-UDP-glucuronosyltransferase (EC 2.4.1.17)-deficient (Gunn) rats or allogeneic analbuminemic (NAR) rats. Five days later, the microcarriers were observed to have formed conglomerates chiefly on the anterior surface of the pancreas. Scanning electron microscopy showed hepatocytes attached to the granular collagen-coated surface of the microcarriers and newly formed connective tissue. Light microscopy revealed that the microcarriers formed a lattice with the collagen tissue; hepatocytes were seen within this lattice or on the surface of the microcarriers. Hepatocyte plasma membranes were nucleoside-diphosphatase (NDPase)-positive. Newly formed blood islands, blood vessels containing erythrocytes and leukocytes and NDPase-positive endothelium were observed in close proximity to the hepatocytes and fibroblasts. Transmission electron microscopic examination showed hepatocytes with microvilli and nucleoid-containing peroxisomes with catalase activity. Hepatocytes were present for up to 2 months in congeneic recipients, the longest period of observation after transplantation. After normal microcarrier-attached hepatocytes were transplanted into allogeneic Gunn rats, bilirubin glucuronides were present in bile for 6 days. When congeneic Gunn rat recipients were used, bilirubin glucuronides were present in bile throughout the study (28 days); this was accompanied by reduction of serum bilirubin concentrations to nearly normal levels. After injection of normal hepatocytes into allogeneic NAR rats, plasma albumin concentration progressively increased for 6 days and then declined. In NAR recipients which were immunosuppressed with cyclosporin A, peak plasma albumin levels were reached in 14 days and persisted nearly at that level throughout the study (28 days).

摘要

通过胶原酶灌注大鼠肝脏收获的肝细胞附着于胶原包被的微载体上,并经腹腔注射到同基因或异基因的胆红素 - UDP - 葡萄糖醛酸基转移酶(EC 2.4.1.17)缺陷(Gunn)大鼠或异基因无白蛋白血症(NAR)大鼠体内。五天后,观察到微载体主要在胰腺前表面形成了聚集体。扫描电子显微镜显示肝细胞附着于微载体颗粒状的胶原包被表面以及新形成的结缔组织。光学显微镜显示微载体与胶原组织形成了晶格结构;在这个晶格结构内或微载体表面可见肝细胞。肝细胞质膜核苷二磷酸酶(NDPase)呈阳性。在肝细胞和成纤维细胞附近观察到新形成的血岛、含有红细胞和白细胞的血管以及NDPase阳性的内皮。透射电子显微镜检查显示肝细胞具有微绒毛以及含有类核且具有过氧化氢酶活性的过氧化物酶体。在同基因受体中,肝细胞可存活长达2个月,这是移植后观察的最长时间。将正常附着于微载体的肝细胞移植到异基因Gunn大鼠后,胆汁中出现胆红素葡萄糖醛酸酯达6天。当使用同基因Gunn大鼠受体时,在整个研究期间(28天)胆汁中均存在胆红素葡萄糖醛酸酯;同时血清胆红素浓度降至接近正常水平。将正常肝细胞注射到异基因NAR大鼠后,血浆白蛋白浓度在6天内逐渐升高,然后下降。在用环孢素A免疫抑制的NAR受体中,血浆白蛋白水平在14天达到峰值,并在整个研究期间(28天)几乎维持在该水平。

https://cdn.ncbi.nlm.nih.gov/pmc/blobs/7c2a/386741/23281f0cc750/pnas00323-0356-a.jpg

文献检索

告别复杂PubMed语法,用中文像聊天一样搜索,搜遍4000万医学文献。AI智能推荐,让科研检索更轻松。

立即免费搜索

文件翻译

保留排版,准确专业,支持PDF/Word/PPT等文件格式,支持 12+语言互译。

免费翻译文档

深度研究

AI帮你快速写综述,25分钟生成高质量综述,智能提取关键信息,辅助科研写作。

立即免费体验