Suppr超能文献

带膜金属支架成功治疗结肠穿孔。

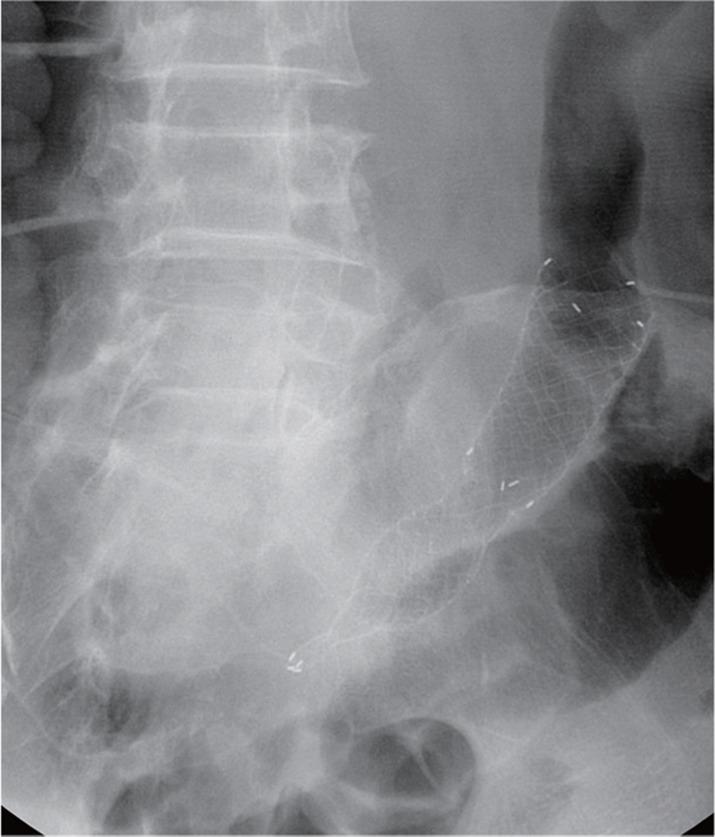
Successful management of colonic perforation with a covered metal stent.

机构信息

Gastrointestinal Center, Department of Internal Medicine, The Catholic University of Korea College of Medicine, Seoul, Korea.

出版信息

Korean J Intern Med. 2013 Nov;28(6):715-7. doi: 10.3904/kjim.2013.28.6.715. Epub 2013 Oct 29.

Abstract

Self-expandable stents are widely available for the treatment of perforation of the gastrointestinal tract. Because of the risk of migration, there has been no report of the use of self-expandable stents for the treatment of perforation of the colon or rectum. This is a report of successful treatment of iatrogenic colonic perforation during balloon dilatation of anastomotic stricture with a fully covered stent. Fully covered, self-expandable metallic stents can be considered useful tools for management of this condition.

摘要

自膨式支架广泛用于治疗胃肠道穿孔。由于存在迁移的风险,因此尚无自膨式支架用于治疗结肠或直肠穿孔的报道。本文报告了一例在球囊扩张吻合口狭窄时使用全覆膜自膨式金属支架成功治疗医源性结肠穿孔的病例。全覆膜自膨式金属支架可被视为治疗这种疾病的有用工具。

https://cdn.ncbi.nlm.nih.gov/pmc/blobs/85d7/3846998/d13e350fb67d/kjim-28-715-g001.jpg

文献AI研究员

20分钟写一篇综述,助力文献阅读效率提升50倍。

立即体验

用中文搜PubMed

大模型驱动的PubMed中文搜索引擎

马上搜索

文档翻译

学术文献翻译模型,支持多种主流文档格式。

立即体验