Suppr超能文献

鼻息肉病的发展涉及早期鼻黏膜炎症和重塑。

The development of nasal polyp disease involves early nasal mucosal inflammation and remodelling.

作者信息

Meng Juan, Zhou Peng, Liu Yafeng, Liu Feng, Yi Xuelian, Liu Shixi, Holtappels Gabriele, Bachert Claus, Zhang Nan

机构信息

Department of Oto-Rhino-Laryngology, West China Hospital, West China Medical School, Sichuan University, Sichuan, China.

出版信息

PLoS One. 2013 Dec 10;8(12):e82373. doi: 10.1371/journal.pone.0082373. eCollection 2013.

Abstract

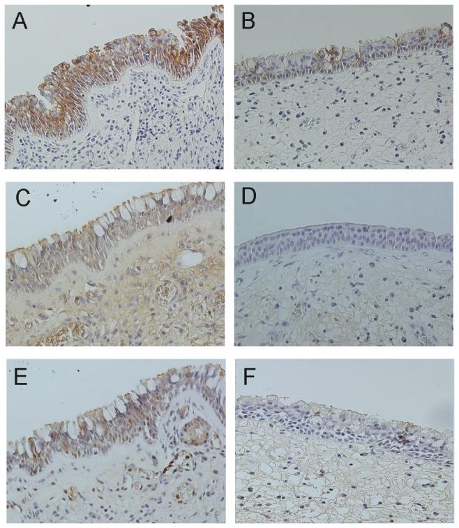
Chronic rhinosinusitis with nasal polyps (CRSwNP) is characterized by both a chronic inflammation and tissue remodelling; as indicated by extracellular matrix protein deposition, basement membrane thickening, goblet cell hyperplasia and subepithelial edema, with reduced vessels and glands. Although remodelling is generally considered to be consequence of persistent inflammation, the chronological order and relationship between inflammation and remodelling in polyp development is still not clear. The aim of our study was therefore to investigate the pathological features prevalent in the development of nasal polyps and to elucidate the chronological order and relationship between inflammation and remodelling, by comparing specific markers of inflammation and remodelling in early stage nasal polyps confined to the middle turbinate (refer to as middle turbinate CRSwNP) obtained from 5 CRSwNP patients with bilateral polyposis, mature ethmoidal polyps from 6 CRSwNP patients, and normal nasal mucosal tissue from 6 control subjects. Middle turbinate CRSwNP demonstrated significantly more severe epithelial loss compared to mature ethmoidal polyps and normal nasal mucosa. The epithelial cell junction molecules E-cadherin, ZO-1 and occludin were also expressed in significantly lower amounts in mature ethmoidal polyps compared to healthy mucosa. Middle turbinate CRSwNP were further characterized by significantly increased numbers of subepithelial eosinophils and M2 type macrophages, with a distinct lack of collagen and deposition of fibronectin in polyp part. In contrast, the turbinate area of the middle turbinate CRSwNP was characterized by an increase in TGF-β activated myofibroblasts expressing α-SMA and vimentin, an increase in the number of pSmad2 positive cells, as well as increased deposition of collagen. These findings suggest a complex network of processes in the formation of CRSwNP; including gross epithelial damage and repair reactions, eosinophil and macrophage cell infiltration, and tissue remodelling. Furthermore, remodelling appears to occur in parallel, rather than subsequent to inflammation.

摘要

伴有鼻息肉的慢性鼻-鼻窦炎(CRSwNP)的特征在于慢性炎症和组织重塑;表现为细胞外基质蛋白沉积、基底膜增厚、杯状细胞增生和上皮下水肿,同时血管和腺体减少。尽管重塑通常被认为是持续性炎症的结果,但息肉发展过程中炎症和重塑的时间顺序及关系仍不明确。因此,我们研究的目的是通过比较5例双侧息肉病CRSwNP患者的局限于中鼻甲的早期鼻息肉(称为中鼻甲CRSwNP)、6例CRSwNP患者的成熟筛窦息肉以及6例对照受试者的正常鼻黏膜组织中炎症和重塑的特定标志物,来研究鼻息肉发展过程中普遍存在的病理特征,并阐明炎症和重塑的时间顺序及关系。与成熟筛窦息肉和正常鼻黏膜相比,中鼻甲CRSwNP的上皮损失明显更严重。与健康黏膜相比,成熟筛窦息肉中上皮细胞连接分子E-钙黏蛋白、紧密连接蛋白1和闭合蛋白的表达量也显著降低。中鼻甲CRSwNP的进一步特征是上皮下嗜酸性粒细胞和M2型巨噬细胞数量显著增加,息肉部分明显缺乏胶原蛋白且有纤连蛋白沉积。相比之下,中鼻甲CRSwNP的鼻甲区域特征为表达α-平滑肌肌动蛋白和波形蛋白的转化生长因子-β激活的肌成纤维细胞增加、pSmad2阳性细胞数量增加以及胶原蛋白沉积增加。这些发现表明CRSwNP形成过程中存在复杂的过程网络;包括严重的上皮损伤和修复反应、嗜酸性粒细胞和巨噬细胞浸润以及组织重塑。此外,重塑似乎与炎症同时发生,而非在炎症之后。

https://cdn.ncbi.nlm.nih.gov/pmc/blobs/ba37/3858290/8a2ba5dd4878/pone.0082373.g001.jpg

文献AI研究员

20分钟写一篇综述,助力文献阅读效率提升50倍。

立即体验

用中文搜PubMed

大模型驱动的PubMed中文搜索引擎

马上搜索

文档翻译

学术文献翻译模型,支持多种主流文档格式。

立即体验