Suppr超能文献

Follicular mucinosis.

作者信息

Lewars Marie, Levin Josh, Purcell Stephen

机构信息

Lehigh Valley Hospital and Health Network, Advanced Dermatology Associates, LTD, Bethlehem, United States.

出版信息

Indian Dermatol Online J. 2013 Oct;4(4):333-5. doi: 10.4103/2229-5178.120667.

Abstract

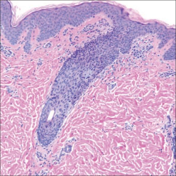
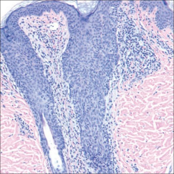
Follicular mucinosis is an uncommon inflammatory disorder that characteristically presents as follicular papules and/or indurated plaques. The face, neck, and scalp are the most frequently affected sites, although lesions may occur on any site of the body. Histologically, the disorder is characterized by mucin deposition in the follicular epithelium. The condition is frequently divided into primary and secondary forms, with the latter form frequently associated with mycosis fungoides. In this case report, we describe a child with follicular mucinosis of the back and trunk and discuss the clinical variants, histopathological pattern, and treatment options.

摘要
https://cdn.ncbi.nlm.nih.gov/pmc/blobs/6e10/3853904/f5cc5cf81e89/IDOJ-4-333-g001.jpg

文献AI研究员

20分钟写一篇综述,助力文献阅读效率提升50倍。

立即体验

用中文搜PubMed

大模型驱动的PubMed中文搜索引擎

马上搜索

文档翻译

学术文献翻译模型,支持多种主流文档格式。

立即体验