Suppr超能文献

伴有罕见黏液变性的毛囊皮脂腺囊性错构瘤:1例罕见病例报告

Folliculosebaceous Cystic Hamartoma With Unusual Mucinosis: A Report of a Rare Case.

作者信息

Patel Riya, Tschen Jaime

机构信息

Department of Dermatology, UTHealth Houston McGovern Medical School, Houston, USA.

Department of Dermatology, St. Joseph Dermatopathology, Houston, USA.

出版信息

Cureus. 2025 May 9;17(5):e83792. doi: 10.7759/cureus.83792. eCollection 2025 May.

Abstract

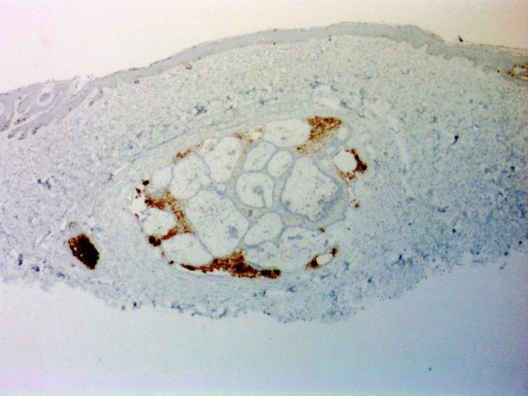
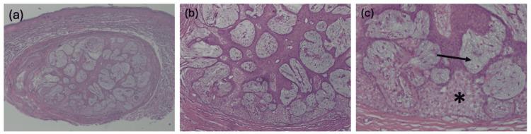
We report a case of a clinically indistinct pink papule on the midline upper back of a 77-year-old woman. Histopathological examination of the lesion revealed a unique variant of folliculosebaceous cystic hamartoma (FSCH) characterized by mucin deposits in sebaceous lobules. FSCH is a rare lesion involving a cystically dilated follicle surrounded by sebaceous glands embedded within a stromal matrix composed of mesenchymal features. Follicular mucinosis is an uncommon inflammatory disorder typically presenting as benign, idiopathic lesions in children or mycosis fungoides-associated lesions in adults. A literature review revealed no previously reported cases of FSCH involving mucinosis of our knowledge to date, making this a novel and clinically relevant histopathologic variant. This case expands the histological presentation of a rare lesion and highlights the importance of careful examination in differentiating between similarly presenting dermatological conditions. Additionally, this novel finding suggests the possibility of an unknown pathologic mechanism of mucin deposition in FSCH, warranting further research.

摘要

我们报告了一例77岁女性上背部中线处出现的临床特征不明显的粉红色丘疹病例。对该病变进行组织病理学检查发现了一种毛囊皮脂腺囊性错构瘤(FSCH)的独特变体,其特征为皮脂腺小叶中有粘蛋白沉积。FSCH是一种罕见病变,涉及一个囊性扩张的毛囊,周围有嵌入由间充质特征组成的基质中的皮脂腺。毛囊粘蛋白病是一种不常见的炎症性疾病,通常表现为儿童的良性特发性病变或成人的蕈样肉芽肿相关病变。文献回顾显示,据我们所知,此前尚无FSCH合并粘蛋白病的病例报道,这使其成为一种新的且具有临床相关性的组织病理学变体。该病例扩展了一种罕见病变的组织学表现,并强调了仔细检查在鉴别相似表现的皮肤病中的重要性。此外,这一新发现提示了FSCH中粘蛋白沉积存在未知病理机制的可能性,值得进一步研究。

https://cdn.ncbi.nlm.nih.gov/pmc/blobs/6290/12145854/d815081c5eb3/cureus-0017-00000083792-i01.jpg

文献AI研究员

20分钟写一篇综述,助力文献阅读效率提升50倍。

立即体验

用中文搜PubMed

大模型驱动的PubMed中文搜索引擎

马上搜索

文档翻译

学术文献翻译模型,支持多种主流文档格式。

立即体验