Brainard Robert E, Watson Lewis J, Demartino Angelica M, Brittian Kenneth R, Readnower Ryan D, Boakye Adjoa Agyemang, Zhang Deqing, Hoetker Joseph David, Bhatnagar Aruni, Baba Shahid Pervez, Jones Steven P
Department of Physiology and Biophysics, Institute of Molecular Cardiology, Department of Medicine, University of Louisville, Louisville, Kentucky, United States of America.
PLoS One. 2013 Dec 18;8(12):e83174. doi: 10.1371/journal.pone.0083174. eCollection 2013.
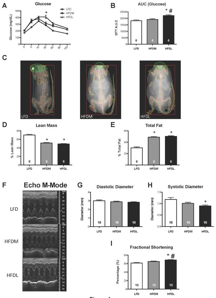
Preclinical studies of animals with risk factors, and how those risk factors contribute to the development of cardiovascular disease and cardiac dysfunction, are clearly needed. One such approach is to feed mice a diet rich in fat (i.e. 60%). Here, we determined whether a high fat diet was sufficient to induce cardiac dysfunction in mice. We subjected mice to two different high fat diets (lard or milk as fat source) and followed them for over six months and found no significant decrement in cardiac function (via echocardiography), despite robust adiposity and impaired glucose disposal. We next determined whether antecedent and concomitant exposure to high fat diet (lard) altered the murine heart's response to infarct-induced heart failure; high fat feeding during, or before and during, heart failure did not significantly exacerbate cardiac dysfunction. Given the lack of a robust effect on cardiac dysfunction with high fat feeding, we then examined a commonly used mouse model of overt diabetes, hyperglycemia, and obesity (db/db mice). db/db mice (or STZ treated wild-type mice) subjected to pressure overload exhibited no significant exacerbation of cardiac dysfunction; however, ischemia-reperfusion injury significantly depressed cardiac function in db/db mice compared to their non-diabetic littermates. Thus, we were able to document a negative influence of a risk factor in a relevant cardiovascular disease model; however, this did not involve exposure to a high fat diet. High fat diet, obesity, or hyperglycemia does not necessarily induce cardiac dysfunction in mice. Although many investigators use such diabetes/obesity models to understand cardiac defects related to risk factors, this study, along with those from several other groups, serves as a cautionary note regarding the use of murine models of diabetes and obesity in the context of heart failure.
显然需要对具有风险因素的动物进行临床前研究,以及这些风险因素如何导致心血管疾病和心脏功能障碍的发展。一种方法是给小鼠喂食高脂肪饮食(即60%)。在这里,我们确定高脂肪饮食是否足以诱导小鼠心脏功能障碍。我们让小鼠食用两种不同的高脂肪饮食(以猪油或牛奶作为脂肪来源),并对它们进行了六个多月的跟踪,发现尽管有明显的肥胖和葡萄糖代谢受损,但心脏功能(通过超声心动图)没有显著下降。接下来,我们确定先前和同时暴露于高脂肪饮食(猪油)是否会改变小鼠心脏对梗死诱导的心力衰竭的反应;在心力衰竭期间或之前和期间进行高脂肪喂养并没有显著加剧心脏功能障碍。鉴于高脂肪喂养对心脏功能障碍没有显著影响,我们随后研究了一种常用的明显糖尿病、高血糖和肥胖的小鼠模型(db/db小鼠)。承受压力过载的db/db小鼠(或经链脲佐菌素处理的野生型小鼠)心脏功能障碍没有显著加剧;然而,与非糖尿病同窝小鼠相比,缺血再灌注损伤使db/db小鼠的心脏功能显著降低。因此,我们能够在相关的心血管疾病模型中证明一种风险因素的负面影响;然而,这并不涉及暴露于高脂肪饮食。高脂肪饮食、肥胖或高血糖不一定会在小鼠中诱导心脏功能障碍。尽管许多研究人员使用此类糖尿病/肥胖模型来了解与风险因素相关的心脏缺陷,但这项研究以及其他几个小组的研究,对在心力衰竭背景下使用糖尿病和肥胖的小鼠模型起到了警示作用。