Suppr超能文献

对于合并慢性乙型肝炎的肝细胞癌患者,手术切除后可能需要进行长期抗病毒治疗。

Indefinite antiviral therapy may be required after surgical resection for hepatocellular carcinoma complicating chronic hepatitis B.

作者信息

Wei Qiang, Xu Xiao, Ling Qi, Zheng Shusen

机构信息

Department of Surgery, Key Lab of Combined Multi-Organ Transplantation, Ministry of Public Health, Division of Hepatobiliary and Pancreatic Surgery, First Affiliated Hospital, Zhejiang University School of Medicine, Hangzhou, 310003, China.

出版信息

J Res Med Sci. 2013 Aug;18(8):726-30.

Abstract

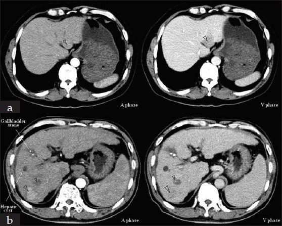
This report describes a 66-year-old male who had a long history of hepatitis B virus (HBV) infection. He was found hepatocellular carcinoma (HCC) 5 months after lamivudine resistance mutation and then received a successful hepatectomy. Three years later, hepatitis B envelope antigen seroconversion was achieved and nucleoside analogs were discontinued. After the withdrawn of antiviral treatment, HBV reactivated and acute-on-chronic liver failure (ACLF) occurred. Anti-HBV treatment improved the patient clinical condition. Three months after the remission of ACLF, the patient was diagnosed as HCC recurrence and received another hepatectomy. This case illustrates indefinite duration antiviral therapy and tight viral control should be performed in patients with HBV-related HCC.

摘要

本报告描述了一名66岁男性,他有长期乙型肝炎病毒(HBV)感染史。在拉米夫定耐药突变5个月后被发现患有肝细胞癌(HCC),随后接受了成功的肝切除术。三年后,实现了乙肝e抗原血清学转换,核苷类似物停药。抗病毒治疗停药后,HBV重新激活,发生了慢加急性肝衰竭(ACLF)。抗HBV治疗改善了患者的临床状况。ACLF缓解三个月后,患者被诊断为HCC复发并接受了再次肝切除术。该病例表明,对于HBV相关HCC患者应进行无限期抗病毒治疗并严格控制病毒。

https://cdn.ncbi.nlm.nih.gov/pmc/blobs/5cea/3872615/a9c4e54d48ae/JRMS-18-726-g001.jpg

相似文献

2
Successful withdrawal of antiviral treatment in kidney transplant recipients with chronic hepatitis B viral infection.
Transpl Infect Dis. 2014 Apr;16(2):295-303. doi: 10.1111/tid.12202. Epub 2014 Mar 17.
3
Perioperative antiviral therapy for chronic hepatitis B-related hepatocellular carcinoma.
Hepatobiliary Pancreat Dis Int. 2013 Jun;12(3):251-5. doi: 10.1016/s1499-3872(13)60041-7.
4
Management of hepatitis B virus infection during treatment for hepatitis B virus-related hepatocellular carcinoma.
World J Gastroenterol. 2015 Jul 21;21(27):8249-55. doi: 10.3748/wjg.v21.i27.8249.
5
Treatment of chronic hepatitis B: case selection and duration of therapy.
J Gastroenterol Hepatol. 2002 Apr;17(4):409-14. doi: 10.1046/j.1440-1746.2002.02767.x.
6
Efficacy of antiviral therapy with lamivudine after initial treatment for hepatitis B virus-related hepatocellular carcinoma.
J Gastroenterol Hepatol. 2007 Nov;22(11):1929-35. doi: 10.1111/j.1440-1746.2006.04707.x.
7

引用本文的文献

5
Asian-Pacific clinical practice guidelines on the management of hepatitis B: a 2015 update.
Hepatol Int. 2016 Jan;10(1):1-98. doi: 10.1007/s12072-015-9675-4. Epub 2015 Nov 13.
6
Nucleos(t)ide analogue therapy for HBV-related HCC after hepatic resection: clinical benefits and unanswered questions.
Tumour Biol. 2014 Dec;35(12):12779-84. doi: 10.1007/s13277-014-2881-1. Epub 2014 Nov 28.

本文引用的文献

1
2
Is inconsistency of alpha-fetoprotein level a good prognosticator for hepatocellular carcinoma recurrence?
World J Gastroenterol. 2010 Jun 28;16(24):3049-55. doi: 10.3748/wjg.v16.i24.3049.
3
Prevention of hepatocellular carcinoma in the Asia-Pacific region: consensus statements.
J Gastroenterol Hepatol. 2010 Apr;25(4):657-63. doi: 10.1111/j.1440-1746.2009.06167.x.
4
High hepatitis B viral load predicts recurrence of small hepatocellular carcinoma after curative resection.
J Gastrointest Surg. 2010 Jul;14(7):1111-20. doi: 10.1007/s11605-010-1211-1. Epub 2010 Apr 27.
5
Hepatitis B virus-related hepatocarcinogenesis: molecular oncogenic potential of clear or occult infections.
Eur J Cancer. 2010 Aug;46(12):2178-86. doi: 10.1016/j.ejca.2010.03.034. Epub 2010 Apr 21.
6
Risk factors for early and late recurrence in hepatitis B-related hepatocellular carcinoma.
J Hepatol. 2009 Nov;51(5):890-7. doi: 10.1016/j.jhep.2009.07.009. Epub 2009 Jul 23.
8
Asian-Pacific consensus statement on the management of chronic hepatitis B: a 2008 update.
Hepatol Int. 2008 Sep;2(3):263-83. doi: 10.1007/s12072-008-9080-3. Epub 2008 May 10.

文献AI研究员

20分钟写一篇综述,助力文献阅读效率提升50倍。

立即体验

用中文搜PubMed

大模型驱动的PubMed中文搜索引擎

马上搜索

文档翻译

学术文献翻译模型,支持多种主流文档格式。

立即体验