Suppr超能文献

微型种植体长度对初期愈合期稳定性的影响:一项对照临床研究。

Impact of mini-implant length on stability at the initial healing period: a controlled clinical study.

出版信息

Head Face Med. 2013 Oct 20;9:30. doi: 10.1186/1746-160X-9-30.

Abstract

INTRODUCTION

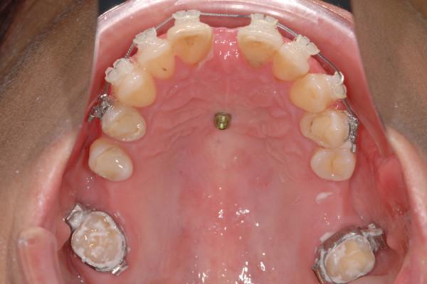
Aim of the study was to assess the impact of the length of mini-implants inserted in the midpalatal region on the stability at the initial healing period.

METHODS

A sample of 20 consecutively treated patients (15.6 ± 7.2 years) was examined. A long mini-implant with a length of 11 mm and a diameter of 2 mm was inserted into the anterior palate of each patient. Resonance frequency analysis (RFA) was performed after insertion (T0), two weeks (T1), four weeks (T2), and six weeks (T3). Insertion depth (ID) and the maximum insertion torque (IT) were measured. RFA, ID and IT data were tested for correlations. RFA values were tested for statistical differences between the different times. Data was compared to a matched control group of patients who received short mini-implants with a length of 9 mm and a diameter of 2 mm.

RESULTS

Mean ID was 9.5 ± 0.6 mm and mean IT was 17.9 ± 3.8 Ncm. A correlation was found between RFA and ID (r = 0.59, P < .01). From T0 to T1 the stability (33.4 ± 3.5 ISQ) decreased highly significantly by 5.3 ± 3.5 ISQ values (P < .001) and significantly from T1 and T2 (P < .05) by 3.5 ± 3.7 ISQ values. From T2 on RFA nearly remained unchanged (-1.7 ± 3.9 ISQ; P > .05). At T1 stability was significantly lower than the control group. From T2 on there were no significant differences between the groups.

CONCLUSIONS

Long mini-implants provide high stability when inserted in the midpalatal region. After initial decrease RFA values remained stable from four weeks on and did not differ from the control group.

TRIAL REGISTRATION ID

2013081293 (Clinical study register, University of Düsseldorf, Germany).

摘要

引言

本研究旨在评估植入中切牙区的迷你种植体长度对初始愈合期稳定性的影响。

方法

对 20 例连续治疗的患者(15.6±7.2 岁)进行了检查。每位患者的前腭均植入 1 枚长 11mm、直径 2mm 的迷你种植体。植入后即刻(T0)、2 周(T1)、4 周(T2)和 6 周(T3)时进行共振频率分析(RFA)。测量植入深度(ID)和最大植入扭矩(IT)。对 RFA、ID 和 IT 数据进行相关性检验。对不同时间的 RFA 值进行统计学差异检验。将 RFA 值与接受长 9mm、直径 2mm 的短迷你种植体的匹配对照组进行比较。

结果

平均 ID 为 9.5±0.6mm,平均 IT 为 17.9±3.8Ncm。RFA 与 ID 之间存在相关性(r=0.59,P<.01)。从 T0 到 T1,稳定性(33.4±3.5ISQ)显著降低了 5.3±3.5ISQ 值(P<.001),且从 T1 到 T2 显著降低了 3.5±3.7ISQ 值(P<.05)。从 T2 开始,RFA 几乎保持不变(-1.7±3.9ISQ;P>.05)。在 T1 时,稳定性明显低于对照组。从 T2 开始,两组间无显著差异。

结论

当植入中切牙区时,长迷你种植体具有较高的稳定性。初始下降后,RFA 值从第 4 周开始保持稳定,与对照组无差异。

试验注册号

2013081293(德国杜塞尔多夫大学临床研究注册处)。

https://cdn.ncbi.nlm.nih.gov/pmc/blobs/e797/4029568/19afea3861c2/1746-160X-9-30-1.jpg

文献AI研究员

20分钟写一篇综述,助力文献阅读效率提升50倍。

立即体验

用中文搜PubMed

大模型驱动的PubMed中文搜索引擎

马上搜索

文档翻译

学术文献翻译模型,支持多种主流文档格式。

立即体验