Suppr超能文献

经鞘内免疫后狂犬病兔的存活情况。

Survival of rabid rabbits after intrathecal immunization.

作者信息

Kesdangsakonwut Sawang, Sunden Yuji, Aoshima Keisuke, Iwaki Yoshimi, Okumura Masahiro, Sawa Hirofumi, Umemura Takashi

机构信息

Laboratory of Comparative Pathology, Department of Veterinary Clinical Sciences, Graduate School of Veterinary Medicine, Hokkaido University, Sapporo, Japan.

出版信息

Neuropathology. 2014 Jun;34(3):277-83. doi: 10.1111/neup.12094. Epub 2014 Jan 7.

Abstract

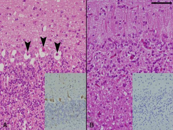
Rabies is a fatal zoonotic disease for which no effective treatment measures are currently available. Rabies virus (RABV) has anti-apoptotic and anti-inflammatory properties that suppress nerve cell damage and inflammation in the CNS. These features imply that the elimination of RABV from the CNS by appropriate treatment could lead to complete recovery from rabies. Ten rabbits showing neuromuscular symptoms of rabies after subcutaneous (SC) immunization using commercially available vaccine containing inactivated whole RABV particles and subsequent fixed RABV (CVS strain) inoculation into hind limb muscles were allocated into three groups. Three rabbits received no further treatment (the SC group), three rabbits received three additional SC immunizations using the same vaccine, and four rabbits received three intrathecal (IT) immunizations, in which the vaccine was inoculated directly into the cerebrospinal fluid (the SC/IT group). An additional three naïve rabbits were inoculated intramuscularly with RABV and not vaccinated. The rabbits exhibited neuromuscular symptoms of rabies within 4-8 days post-inoculation (dpi) of RABV. All of the rabbits died within 8-12 dpi with the exception of one rabbit in the SC group and all four rabbits in SC/IT group, which recovered and started to respond to external stimuli at 11-18 dpi and survived until the end of the experimental period. RABV was eliminated from the CNS of the surviving rabbits. We report here a possible, although still incomplete, therapy for rabies using IT immunization. Our protocol may rescue the life of rabid patients and prompt the future development of novel therapies against rabies.

摘要

狂犬病是一种致命的人畜共患疾病,目前尚无有效的治疗措施。狂犬病病毒(RABV)具有抗凋亡和抗炎特性,可抑制中枢神经系统中的神经细胞损伤和炎症。这些特征表明,通过适当治疗从中枢神经系统清除RABV可能导致狂犬病完全康复。将十只兔子分为三组,这些兔子在皮下(SC)接种含有灭活全RABV颗粒的市售疫苗并随后将固定RABV(CVS株)接种到后肢肌肉后出现狂犬病的神经肌肉症状。三只兔子未接受进一步治疗(SC组),三只兔子使用相同疫苗进行了三次额外的SC免疫,四只兔子接受了三次鞘内(IT)免疫,即将疫苗直接接种到脑脊液中(SC/IT组)。另外三只未接种疫苗的兔子肌肉注射RABV。兔子在接种RABV后4-8天内出现狂犬病的神经肌肉症状。除SC组的一只兔子和SC/IT组的所有四只兔子外,所有兔子均在接种后8-12天内死亡,SC/IT组的四只兔子在11-18天开始恢复并对外界刺激有反应,存活至实验期结束。存活兔子的中枢神经系统中RABV被清除。我们在此报告一种可能的、尽管仍不完整的狂犬病IT免疫治疗方法。我们的方案可能挽救狂犬病患者的生命,并推动未来抗狂犬病新疗法的发展。

https://cdn.ncbi.nlm.nih.gov/pmc/blobs/7e58/4235457/c3c20415e5ce/neup0034-0277-f1.jpg

文献AI研究员

20分钟写一篇综述,助力文献阅读效率提升50倍。

立即体验

用中文搜PubMed

大模型驱动的PubMed中文搜索引擎

马上搜索

文档翻译

学术文献翻译模型,支持多种主流文档格式。

立即体验