• 文献检索
  • 文档翻译
  • 深度研究
  • 学术资讯
  • Suppr Zotero 插件Zotero 插件
  • 邀请有礼
  • 套餐&价格
  • 历史记录
应用&插件
Suppr Zotero 插件Zotero 插件浏览器插件Mac 客户端Windows 客户端微信小程序
定价
高级版会员购买积分包购买API积分包
服务
文献检索文档翻译深度研究API 文档MCP 服务
关于我们
关于 Suppr公司介绍联系我们用户协议隐私条款
关注我们

Suppr 超能文献

核心技术专利:CN118964589B侵权必究
粤ICP备2023148730 号-1Suppr @ 2026

文献检索

告别复杂PubMed语法,用中文像聊天一样搜索,搜遍4000万医学文献。AI智能推荐,让科研检索更轻松。

立即免费搜索

文件翻译

保留排版,准确专业,支持PDF/Word/PPT等文件格式,支持 12+语言互译。

免费翻译文档

深度研究

AI帮你快速写综述,25分钟生成高质量综述,智能提取关键信息,辅助科研写作。

立即免费体验

功能基因组筛选鉴定出胶原摄取的新型介质。

Functional genomic screen identifies novel mediators of collagen uptake.

作者信息

Lee Ting-Hein, McKleroy William, Khalifeh-Soltani Amin, Sakuma Stephen, Lazarev Stanislav, Riento Kirsi, Nishimura Stephen L, Nichols Ben J, Atabai Kamran

机构信息

Cardiovascular Research Institute, University of California, San Francisco, San Francisco, CA 94158 Department of Medicine, University of California, San Francisco, San Francisco, CA 94158 Lung Biology Center, University of California, San Francisco, San Francisco, CA 94158 Department of Pathology, University of California, San Francisco, San Francisco, CA 94158 MRC Laboratory of Molecular Biology, Cambridge CB2 0QH, United Kingdom.

出版信息

Mol Biol Cell. 2014 Mar;25(5):583-93. doi: 10.1091/mbc.E13-07-0382. Epub 2014 Jan 8.

DOI:10.1091/mbc.E13-07-0382
PMID:24403604
原文链接:https://pmc.ncbi.nlm.nih.gov/articles/PMC3937085/
Abstract

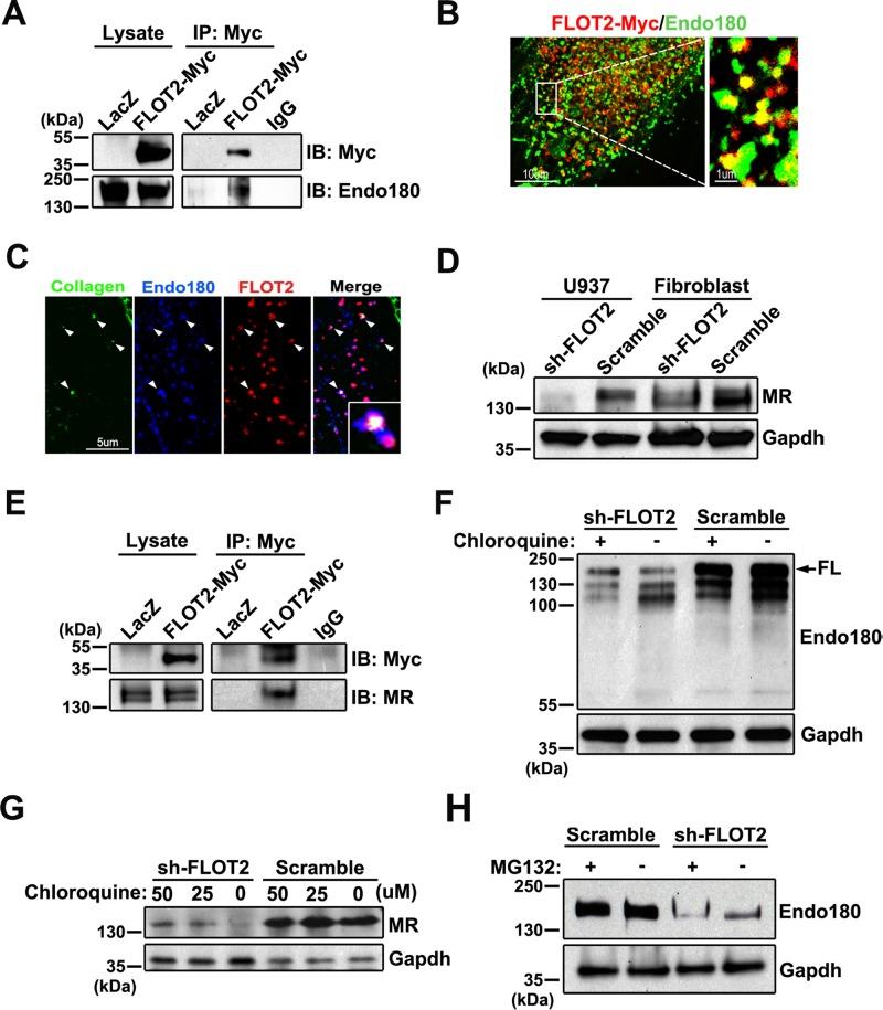
Tissue fibrosis occurs when matrix production outpaces matrix degradation. Degradation of collagen, the main component of fibrotic tissue, is mediated through an extracellular proteolytic pathway and intracellular pathway of cellular uptake and lysosomal digestion. Recent studies demonstrate that disruption of the intracellular pathways can exacerbate fibrosis. These pathways are poorly characterized. Here we identify novel mediators of the intracellular pathway of collagen turnover through a genome-wide RNA interference screen in Drosophila S2 cells. Screening of 7505 Drosophila genes conserved among metazoans identified 22 genes that were required for efficient internalization of type I collagen. These included proteins involved in vesicle transport, the actin cytoskeleton, and signal transduction. We show further that the flotillin genes have a conserved and central role in collagen uptake in Drosophila and human cells. Short hairpin RNA-mediated silencing of flotillins in human monocyte and fibroblasts impaired collagen uptake by promoting lysosomal degradation of the endocytic collagen receptors uPARAP/Endo180 and mannose receptor. These data provide an initial characterization of intracellular pathways of collagen turnover and identify the flotillin genes as critical regulators of this process. A better understanding of these pathways may lead to novel therapies that reduce fibrosis by increasing collagen turnover.

摘要

当基质产生超过基质降解时,组织纤维化就会发生。纤维化组织的主要成分胶原蛋白的降解是通过细胞外蛋白水解途径以及细胞摄取和溶酶体消化的细胞内途径介导的。最近的研究表明,细胞内途径的破坏会加剧纤维化。这些途径的特征尚不明确。在这里,我们通过在果蝇S2细胞中进行全基因组RNA干扰筛选,确定了胶原蛋白周转细胞内途径的新型介质。对后生动物中保守的7505个果蝇基因进行筛选,确定了22个基因是I型胶原蛋白有效内化所必需的。这些基因包括参与囊泡运输、肌动蛋白细胞骨架和信号转导的蛋白质。我们进一步表明,浮舰蛋白基因在果蝇和人类细胞的胶原蛋白摄取中具有保守且核心的作用。短发夹RNA介导的人类单核细胞和成纤维细胞中浮舰蛋白的沉默,通过促进内吞胶原蛋白受体uPARAP/Endo180和甘露糖受体的溶酶体降解,损害了胶原蛋白的摄取。这些数据提供了胶原蛋白周转细胞内途径的初步特征,并确定浮舰蛋白基因是这一过程的关键调节因子。对这些途径的更好理解可能会带来通过增加胶原蛋白周转来减少纤维化的新疗法。

https://cdn.ncbi.nlm.nih.gov/pmc/blobs/3de8/3937085/8c1144a6a9fe/583fig6.jpg
https://cdn.ncbi.nlm.nih.gov/pmc/blobs/3de8/3937085/d89ecff13cd9/583fig1.jpg
https://cdn.ncbi.nlm.nih.gov/pmc/blobs/3de8/3937085/9a7cf430a007/583fig2.jpg
https://cdn.ncbi.nlm.nih.gov/pmc/blobs/3de8/3937085/ec46ab005880/583fig3.jpg
https://cdn.ncbi.nlm.nih.gov/pmc/blobs/3de8/3937085/5222eebd13e2/583fig4.jpg
https://cdn.ncbi.nlm.nih.gov/pmc/blobs/3de8/3937085/17308e4aa422/583fig5.jpg
https://cdn.ncbi.nlm.nih.gov/pmc/blobs/3de8/3937085/8c1144a6a9fe/583fig6.jpg
https://cdn.ncbi.nlm.nih.gov/pmc/blobs/3de8/3937085/d89ecff13cd9/583fig1.jpg
https://cdn.ncbi.nlm.nih.gov/pmc/blobs/3de8/3937085/9a7cf430a007/583fig2.jpg
https://cdn.ncbi.nlm.nih.gov/pmc/blobs/3de8/3937085/ec46ab005880/583fig3.jpg
https://cdn.ncbi.nlm.nih.gov/pmc/blobs/3de8/3937085/5222eebd13e2/583fig4.jpg
https://cdn.ncbi.nlm.nih.gov/pmc/blobs/3de8/3937085/17308e4aa422/583fig5.jpg
https://cdn.ncbi.nlm.nih.gov/pmc/blobs/3de8/3937085/8c1144a6a9fe/583fig6.jpg

相似文献

1
Functional genomic screen identifies novel mediators of collagen uptake.功能基因组筛选鉴定出胶原摄取的新型介质。
Mol Biol Cell. 2014 Mar;25(5):583-93. doi: 10.1091/mbc.E13-07-0382. Epub 2014 Jan 8.
2
The non-phagocytic route of collagen uptake: a distinct degradation pathway.非吞噬途径摄取胶原蛋白:一种独特的降解途径。
J Biol Chem. 2011 Jul 29;286(30):26996-7010. doi: 10.1074/jbc.M110.208033. Epub 2011 Jun 7.
3
Intracellular collagen degradation mediated by uPARAP/Endo180 is a major pathway of extracellular matrix turnover during malignancy.由uPARAP/Endo180介导的细胞内胶原蛋白降解是恶性肿瘤期间细胞外基质周转的主要途径。
J Cell Biol. 2005 Jun 20;169(6):977-85. doi: 10.1083/jcb.200411153.
4
Cell division cycle 7 kinase is a negative regulator of cell-mediated collagen degradation.细胞分裂周期蛋白 7 激酶是细胞介导的胶原降解的负调节剂。
Am J Physiol Lung Cell Mol Physiol. 2018 Sep 1;315(3):L360-L370. doi: 10.1152/ajplung.00144.2018. Epub 2018 May 24.
5
Endocytic collagen degradation: a novel mechanism involved in protection against liver fibrosis.内吞胶原降解:一种新的抗肝纤维化机制。
J Pathol. 2012 May;227(1):94-105. doi: 10.1002/path.3981. Epub 2012 Feb 17.
6
uPARAP/Endo180 is essential for cellular uptake of collagen and promotes fibroblast collagen adhesion.uPARAP/Endo180对于细胞摄取胶原蛋白至关重要,并促进成纤维细胞胶原蛋白黏附。
J Cell Biol. 2003 Mar 31;160(7):1009-15. doi: 10.1083/jcb.200211091.
7
Complex determinants in specific members of the mannose receptor family govern collagen endocytosis.甘露糖受体家族特定成员中的复杂决定因素控制胶原蛋白的内吞作用。
J Biol Chem. 2014 Mar 14;289(11):7935-47. doi: 10.1074/jbc.M113.512780. Epub 2014 Feb 5.
8
Genome-wide RNAi screen identifies SEC61A and VCP as conserved regulators of Sindbis virus entry.全基因组 RNAi 筛选鉴定 SEC61A 和 VCP 为辛德毕斯病毒进入的保守调节因子。
Cell Rep. 2013 Dec 26;5(6):1737-48. doi: 10.1016/j.celrep.2013.11.028. Epub 2013 Dec 12.
9
The collagen receptor uPARAP/Endo180 in tissue degradation and cancer (Review).组织降解与癌症中的胶原蛋白受体uPARAP/Endo180(综述)
Int J Oncol. 2015 Oct;47(4):1177-88. doi: 10.3892/ijo.2015.3120. Epub 2015 Aug 12.
10
uPARAP/endo180 directs lysosomal delivery and degradation of collagen IV.uPARAP/endo180引导IV型胶原蛋白向溶酶体的转运及降解。
Exp Cell Res. 2004 Feb 1;293(1):106-16. doi: 10.1016/j.yexcr.2003.10.008.

引用本文的文献

1
Endocytic recycling is central to circadian collagen fibrillogenesis and disrupted in fibrosis.内吞循环对于昼夜节律性胶原纤维生成至关重要,且在纤维化过程中受到破坏。
Elife. 2025 Jan 15;13:RP95842. doi: 10.7554/eLife.95842.
2
Genome-wide screens identify SEL1L as an intracellular rheostat controlling collagen turnover.全基因组筛选鉴定 SEL1L 为控制胶原蛋白周转率的细胞内变阻器。
Nat Commun. 2024 Feb 20;15(1):1531. doi: 10.1038/s41467-024-45817-8.
3
Cancer cell survival depends on collagen uptake into tumor-associated stroma.癌细胞的存活依赖于胶原蛋白被摄取进入肿瘤相关基质中。

本文引用的文献

1
Mechanotransduction and YAP-dependent matrix remodelling is required for the generation and maintenance of cancer-associated fibroblasts.机械转导和 YAP 依赖性基质重塑是癌相关成纤维细胞生成和维持所必需的。
Nat Cell Biol. 2013 Jun;15(6):637-46. doi: 10.1038/ncb2756. Epub 2013 May 26.
2
Flotillin-1 mediates PrPc endocytosis in the cultured cells during Cu²⁺ stimulation through molecular interaction.Flotillin-1 通过分子相互作用介导 Cu²⁺ 刺激培养细胞中 PrPc 的内吞作用。
Mol Neurobiol. 2013 Dec;48(3):631-46. doi: 10.1007/s12035-013-8452-4. Epub 2013 Apr 27.
3
Always cleave up your mess: targeting collagen degradation to treat tissue fibrosis.
Nat Commun. 2022 Nov 18;13(1):7078. doi: 10.1038/s41467-022-34643-5.
4
Maintenance of Cell Fate by the Polycomb Group Gene Sex Combs Extra Enables a Partial Epithelial Mesenchymal Transition in .多梳组基因 Sex Combs Extra 通过维持细胞命运,使. 部分上皮间质转化成为可能。
G3 (Bethesda). 2020 Dec 3;10(12):4459-4471. doi: 10.1534/g3.120.401785.
5
Alpha-1 antitrypsin deficient individuals have circulating extracellular vesicles with profibrogenic cargo.缺乏α-1 抗胰蛋白酶的个体具有富含致纤维化货物的细胞外囊泡循环。
Cell Commun Signal. 2020 Sep 4;18(1):140. doi: 10.1186/s12964-020-00648-0.
6
You Say You Want a Resolution (of Fibrosis).你说你想要(纤维化的)解决办法。
Am J Respir Cell Mol Biol. 2020 Oct;63(4):424-435. doi: 10.1165/rcmb.2020-0182TR.
7
Age-dependent regulation of cell-mediated collagen turnover.细胞介导的胶原蛋白周转的年龄依赖性调节。
JCI Insight. 2020 May 21;5(10):137519. doi: 10.1172/jci.insight.137519.
8
Flotillin membrane domains in cancer. flotillin 膜结构域与癌症。
Cancer Metastasis Rev. 2020 Jun;39(2):361-374. doi: 10.1007/s10555-020-09873-y.
9
Mechanisms for the Resolution of Organ Fibrosis.器官纤维化的解决机制。
Physiology (Bethesda). 2019 Jan 1;34(1):43-55. doi: 10.1152/physiol.00033.2018.
10
Identification of Novel Natural Substrates of Fibroblast Activation Protein-alpha by Differential Degradomics and Proteomics.通过差异降解组学和蛋白质组学鉴定成纤维细胞活化蛋白-α的新型天然底物。
Mol Cell Proteomics. 2019 Jan;18(1):65-85. doi: 10.1074/mcp.RA118.001046. Epub 2018 Sep 26.
始终清理你的烂摊子:靶向胶原降解治疗组织纤维化。
Am J Physiol Lung Cell Mol Physiol. 2013 Jun 1;304(11):L709-21. doi: 10.1152/ajplung.00418.2012. Epub 2013 Apr 5.
4
Inhibition of mechanosensitive signaling in myofibroblasts ameliorates experimental pulmonary fibrosis.肌成纤维细胞中机械敏感性信号的抑制可改善实验性肺纤维化。
J Clin Invest. 2013 Mar;123(3):1096-108. doi: 10.1172/JCI66700. Epub 2013 Feb 22.
5
Therapy for fibrotic diseases: nearing the starting line.纤维化疾病的治疗:即将起跑。
Sci Transl Med. 2013 Jan 9;5(167):167sr1. doi: 10.1126/scitranslmed.3004700.
6
Flotillin-2 deficiency leads to reduced lung metastases in a mouse breast cancer model. flotillin-2 缺乏导致小鼠乳腺癌模型中肺转移减少。
Oncogene. 2013 Oct 10;32(41):4989-94. doi: 10.1038/onc.2012.499. Epub 2012 Nov 12.
7
Flotillins as regulators of ErbB2 levels in breast cancer. flotillins 作为乳腺癌中 erbB2 水平的调节剂。
Oncogene. 2013 Jul 18;32(29):3443-51. doi: 10.1038/onc.2012.357. Epub 2012 Aug 6.
8
Reggies/flotillins regulate E-cadherin-mediated cell contact formation by affecting EGFR trafficking.Reggies/flotillins 通过影响 EGFR 运输来调节 E-钙黏蛋白介导的细胞接触形成。
Mol Biol Cell. 2012 May;23(10):1812-25. doi: 10.1091/mbc.E11-12-1006. Epub 2012 Mar 21.
9
The roles of flotillin microdomains--endocytosis and beyond.Flotillin 微域的作用——内吞作用及其他。
J Cell Sci. 2011 Dec 1;124(Pt 23):3933-40. doi: 10.1242/jcs.092015.
10
Role of urokinase plasminogen activator receptor-associated protein in mouse lung.尿激酶型纤溶酶原激活物受体相关蛋白在小鼠肺中的作用。
Am J Respir Cell Mol Biol. 2012 Feb;46(2):233-9. doi: 10.1165/rcmb.2010-0485OC. Epub 2011 Sep 22.