Suppr超能文献

Fatal metastatic cutaneous squamous cell carcinoma evolving from a localized verrucous epidermal nevus.

作者信息

Riad Hassan, Mansour Khaled, Sada Hussein Al, Naama Khalifa Al, Shaigy Amal Al, Hussain Khairunnisa

机构信息

Rumailah Hospital, Doha, Qatar.

出版信息

Case Rep Dermatol. 2013 Oct 5;5(3):272-82. doi: 10.1159/000355605. eCollection 2013.

Abstract

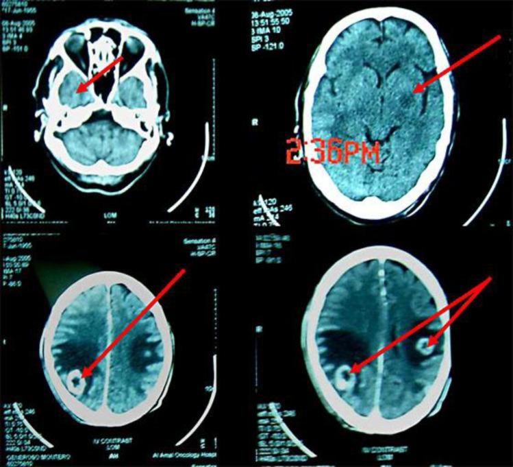
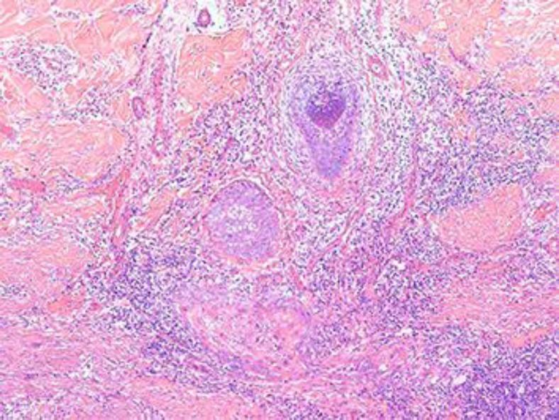
A malignant transformation is known to occur in many nevi such as a sebaceous nevus or a basal cell nevus, but a verrucous epidermal nevus has only rarely been associated with neoplastic changes. Keratoacanthoma, multifocal papillary apocrine adenoma, multiple malignant eccrine poroma, basal cell carcinoma and cutaneous squamous cell carcinoma (CSCC) have all been reported to develop from a verrucous epidermal nevus. CSCC has also been reported to arise from other nevoid lesions like a nevus comedonicus, porokeratosis, a sebaceous nevus, an oral sponge nevus and an ichthyosiform nevus with CHILD syndrome. Here we report a case of progressive poorly differentiated CSCC arising from a localized verrucous epidermal nevus, which caused both spinal cord and brain metastasis.

摘要
https://cdn.ncbi.nlm.nih.gov/pmc/blobs/4ad5/3884180/459a9b43c474/cde-0005-0272-g01.jpg

文献AI研究员

20分钟写一篇综述,助力文献阅读效率提升50倍。

立即体验

用中文搜PubMed

大模型驱动的PubMed中文搜索引擎

马上搜索

文档翻译

学术文献翻译模型,支持多种主流文档格式。

立即体验