Suppr超能文献

皮脂腺痣内发生的小汗腺汗孔瘤

Eccrine Poroma Arising within Nevus Sebaceous.

作者信息

Girdwichai Natnicha, Chanprapaph Kumutnart, Vachiramon Vasanop

机构信息

Division of Dermatology, Department of Medicine, Faculty of Medicine Ramathibodi Hospital, Mahidol University, Bangkok, Thailand.

出版信息

Case Rep Dermatol. 2016 Apr 20;8(1):80-4. doi: 10.1159/000445537. eCollection 2016 Jan-Apr.

Abstract

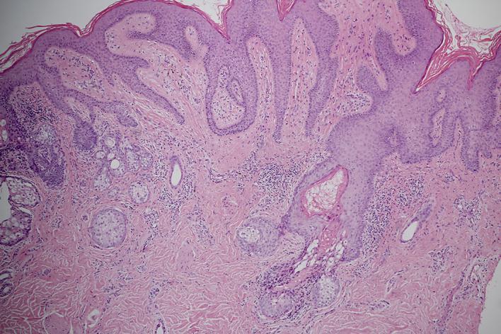
Nevus sebaceous is a congenital, benign hamartomatous lesion, characterized by a yellowish to skin-colored, hairless, verrucous plaque on the head and neck region. In later life, a secondary tumor, either benign or malignant, can develop within nevus sebaceous. Eccrine poroma developing on nevus sebaceous is extremely rare. There are few case reports of eccrine poroma developing within nevus sebaceous. We report a case of a 30-year-old female who presented with a congenital, hairless, verrucous, yellowish lesion on the scalp and an erythematous nodule arising within the yellowish lesion for 8 months. Her clinical presentation and histopathological findings were compatible with nevus sebaceous and eccrine poroma.

摘要

皮脂腺痣是一种先天性良性错构瘤性病变,其特征为头颈部出现淡黄色至肤色、无毛的疣状斑块。在后期生活中,皮脂腺痣内可发生良性或恶性的继发性肿瘤。发生于皮脂腺痣的小汗腺汗孔瘤极为罕见。关于皮脂腺痣内发生小汗腺汗孔瘤的病例报告很少。我们报告一例30岁女性,其头皮有一先天性、无毛、疣状、淡黄色病变,且在该淡黄色病变内出现一红色结节8个月。她的临床表现和组织病理学检查结果符合皮脂腺痣和小汗腺汗孔瘤。

https://cdn.ncbi.nlm.nih.gov/pmc/blobs/0409/4868933/481e26b2787e/cde-0008-0080-g01.jpg

文献AI研究员

20分钟写一篇综述,助力文献阅读效率提升50倍。

立即体验

用中文搜PubMed

大模型驱动的PubMed中文搜索引擎

马上搜索

文档翻译

学术文献翻译模型,支持多种主流文档格式。

立即体验