Suppr超能文献

一例罕见上颌窦肿物的计算机断层扫描结果:三发性甲状旁腺功能亢进所致棕色瘤。

Computed tomography findings of an unusual maxillary sinus mass: brown tumor due to tertiary hyperparathyroidism.

作者信息

Altay Canan, Erdoğan Nezahat, Eren Erdem, Altay Sedat, Karasu Sebnem, Uluç Engin

机构信息

Department of Radiology, Dokuz Eylul University, School of Medicine, Izmir, Turkey.

Department of Radiology, Izmir Atatürk Research and Training Hospital, Izmir, Turkey.

出版信息

J Clin Imaging Sci. 2013 Nov 28;3:55. doi: 10.4103/2156-7514.122325. eCollection 2013.

Abstract

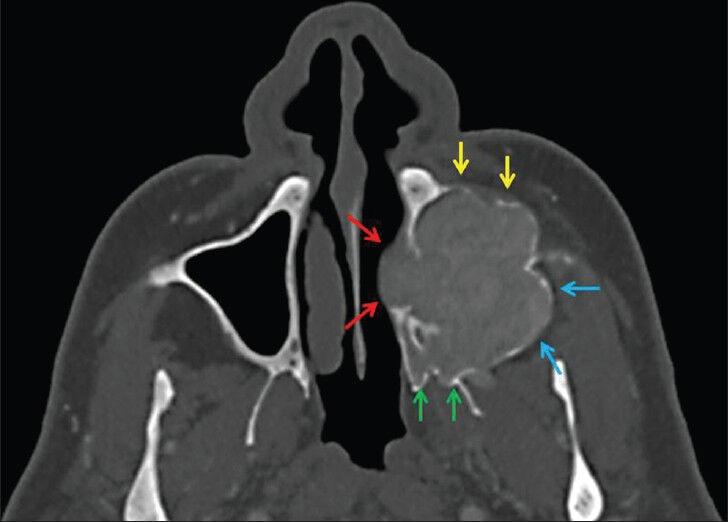
Brown tumor is a non-neoplastic bone lesion that develops secondary to hyperparathyroidism and it is very rare in the maxillofacial region. We report the case of a 59-year-old man who presented with pain and a swelling in the left cheek. Computed tomography (CT) demonstrated an expansile and radioluscent lesion in the left maxillary sinus. Incisional biopsy was performed, and the diagnosis was Brown tumor. Brown tumor must be considered in the differential diagnosis of expansile lesions of maxillary sinus.

摘要

棕色瘤是一种继发于甲状旁腺功能亢进的非肿瘤性骨病变,在颌面部区域非常罕见。我们报告一例59岁男性患者,其左侧脸颊出现疼痛和肿胀。计算机断层扫描(CT)显示左上颌窦有一个膨胀性、透光性病变。进行了切开活检,诊断为棕色瘤。在上颌窦膨胀性病变的鉴别诊断中必须考虑棕色瘤。

https://cdn.ncbi.nlm.nih.gov/pmc/blobs/51d0/3883272/9323eb4ad510/JCIS-3-55-g002.jpg

文献AI研究员

20分钟写一篇综述,助力文献阅读效率提升50倍。

立即体验

用中文搜PubMed

大模型驱动的PubMed中文搜索引擎

马上搜索

文档翻译

学术文献翻译模型,支持多种主流文档格式。

立即体验