Suppr超能文献

需要广泛切除的继发性甲状旁腺功能亢进所致下颌骨棕色瘤:在发达国家被遗忘的疾病?

Mandibular Brown Tumor of Secondary Hyperparathyroidism Requiring Extensive Resection: A Forgotten Entity in the Developed World?

作者信息

Qaisi Mohammed, Loeb Matthew, Montague Lindsay, Caloss Ron

机构信息

Oral-Head & Neck Oncology/Microvascular Surgery, Department of Oral-Maxillofacial Surgery & Pathology and Department of Otolaryngology, Cancer Institute, University of Mississippi Medical Center, 2500 North State Street, Jackson, MS 39216, USA.

School of Dentistry, University of Mississippi Medical Center, 2500 North State Street, Jackson, MS 39216, USA.

出版信息

Case Rep Med. 2015;2015:567543. doi: 10.1155/2015/567543. Epub 2015 Aug 19.

Abstract

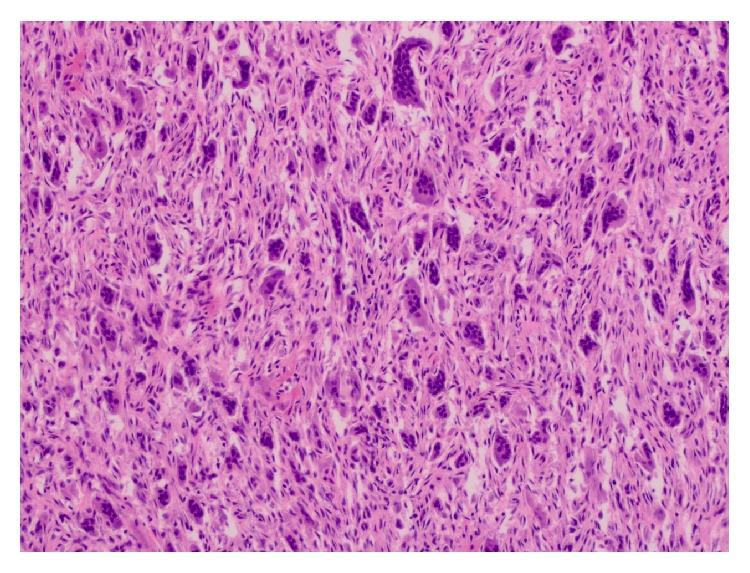
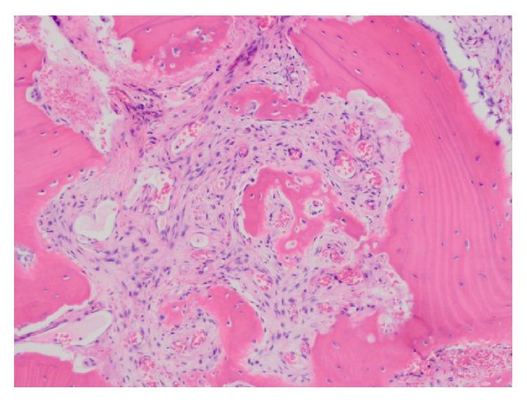
Brown tumor of hyperparathyroidism (BTHPT) is rare in the United States and not frequently seen in clinical practice. This is likely because early diagnosis and prompt treatment of this disease process prevent the progression and development of BTHPT. Conversely, BTHPT is more common in underdeveloped countries where fewer patients have access to health care and hyperparathyroidism (HPT) goes untreated. It has been reported that the incidence of BTHPT in underdeveloped countries can be as high as 58 to 69 percent in patients with primary HPT. We present a case report of a patient in the United States with a large mandibular BTHPT requiring an extensive resection in the setting of secondary HPT. Despite being rare in this country, it is important for nephrologists, primary care physicians, and oral health care providers to be able to recognize this entity, so that intervention may be rendered early.

摘要

甲状旁腺功能亢进棕色瘤(BTHPT)在美国较为罕见,临床实践中也不常出现。这可能是因为对该疾病进程的早期诊断和及时治疗可防止BTHPT的进展和发展。相反,BTHPT在欠发达国家更为常见,那里能获得医疗保健的患者较少,甲状旁腺功能亢进症(HPT)得不到治疗。据报道,在欠发达国家,原发性HPT患者中BTHPT的发病率可高达58%至69%。我们报告一例美国患者,其患有巨大下颌骨BTHPT,在继发性HPT情况下需要进行广泛切除。尽管在该国这种情况很少见,但肾病学家、初级保健医生和口腔保健提供者能够识别这一实体很重要,以便能尽早进行干预。

https://cdn.ncbi.nlm.nih.gov/pmc/blobs/e169/4556817/485dbeafca55/CRIM2015-567543.001.jpg

文献AI研究员

20分钟写一篇综述,助力文献阅读效率提升50倍。

立即体验

用中文搜PubMed

大模型驱动的PubMed中文搜索引擎

马上搜索

文档翻译

学术文献翻译模型,支持多种主流文档格式。

立即体验