Zeng X, Hu Z, Wang Z, Tao J, Lu T, Yang C, Lee B, Ye Z
Department of Urology, Tonji Hospital, Tongji Medical College, Huazhong University of Science and Technology, Wuhan, Hubei, People's Republic of China.
Department of Dermatology, Union Hospital, Tongji Medical College, Huazhong University of Science and Technology, Wuhan, Hubei, People's Republic of China.
Prostate Cancer Prostatic Dis. 2014 Jun;17(2):119-25. doi: 10.1038/pcan.2013.51. Epub 2014 Jan 14.
This study was undertaken to investigate the expression of guanyl nucleotide-releasing protein for Ras 3 (RasGRP3) in the cell lines and tissues in BPH and prostate cancer (PCa), as well as its associations with cancer invasion and prognosis in prostate carcinomas.
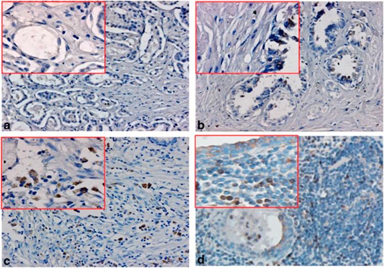
Expression analysis of RasGRP3 was accomplished using immunohistochemical staining of PCa and BPH tissues. Pearson's χ2 test was used to analyze the association between RasGRP3 expression and specific clinical parameters. Survival and PSA relapse curves were evaluated using the Kaplan-Meier curves and log-rank tests, and the differences were assessed using the Cox regression methods. In addition, human PCa cell lines PC-3, DU145, LNCaP, PC3M-1E8, PC3M-2B4 and BPH-1 were examined for expression of RasGRP3 using western blot and quantitative polymerase chain reaction (Q-PCR) analysis. After PC-3 cells were transfected by small interfering RNA targeting RasGRP3, 3-(4,5-dimethylthiazol-2-yl)-2,5-diphenyltetrazolium bromide and migratory assays were employed to determine the vitality and aggressive capability of tumor cell in vitro.
Expression of RasGRP3 was significantly correlated (P=0.038 and P=0.021) with Gleason score (< or =6 versus > or =7) and T stage (T1-T2 versus T3-T4), respectively. PCa with RasGRP3-positive expression may increase the risk of PSA recurrence and decrease cancer-specific survival (P=0.0291 and P=0.0044). The expression of RasGRP3 was also associated with PSA recurrence and cancer-specific survival in univariate (P<0.001 and P<0.001) and multivariate analyses (P<0.001 and P=0.003). RasGRP3 mRNA and proteins were found to be positively expressed in PCa cell lines. There was higher expression of RasGRP3 in PC-3, DU145 and PC3M-1E8 than in LNCaP, PC3M-2B4 and BPH-1. Knockdown of RasGRP3 inhibited the proliferation, migration and invasion capabilities of PC-3 cells.
These data suggested that elevated RasGRP3 expression may play a key role in the malignant progression of PCa, especially in invasion and metastasis, and may be a potential marker of biochemical recurrence.
本研究旨在调查鸟苷酸释放蛋白Ras 3(RasGRP3)在良性前列腺增生(BPH)和前列腺癌(PCa)的细胞系及组织中的表达情况,以及其与前列腺癌侵袭和预后的关系。
采用免疫组织化学染色法对PCa和BPH组织进行RasGRP3表达分析。采用Pearson卡方检验分析RasGRP3表达与特定临床参数之间的关联。使用Kaplan-Meier曲线和对数秩检验评估生存曲线和前列腺特异性抗原(PSA)复发曲线,并采用Cox回归方法评估差异。此外,使用蛋白质印迹法和定量聚合酶链反应(Q-PCR)分析检测人PCa细胞系PC-3、DU145、LNCaP、PC3M-1E8、PC3M-2B4和BPH-1中RasGRP3的表达。用靶向RasGRP3的小干扰RNA转染PC-3细胞后,采用3-(4,5-二甲基噻唑-2-基)-2,5-二苯基四氮唑溴盐法和迁移实验来测定肿瘤细胞在体外的活力和侵袭能力。
RasGRP3的表达分别与Gleason评分(≤6分与≥7分)和T分期(T1-T2期与T3-T4期)显著相关(P = 0.038和P = 0.021)。RasGRP3阳性表达的PCa可能会增加PSA复发风险并降低癌症特异性生存率(P = 0.0291和P = 0.0044)。在单因素分析(P < 0.001和P < 0.001)和多因素分析(P < 0.001和P = 0.003)中,RasGRP3的表达也与PSA复发和癌症特异性生存率相关。发现RasGRP3 mRNA和蛋白在PCa细胞系中呈阳性表达。PC-3、DU145和PC3M-1E8中RasGRP3的表达高于LNCaP、PC3M-2B4和BPH-1。敲低RasGRP3可抑制PC-3细胞的增殖、迁移和侵袭能力。
这些数据表明,RasGRP3表达升高可能在PCa的恶性进展中起关键作用,尤其是在侵袭和转移方面,并且可能是生化复发的潜在标志物。