• 文献检索
  • 文档翻译
  • 深度研究
  • 学术资讯
  • Suppr Zotero 插件Zotero 插件
  • 邀请有礼
  • 套餐&价格
  • 历史记录
应用&插件
Suppr Zotero 插件Zotero 插件浏览器插件Mac 客户端Windows 客户端微信小程序
定价
高级版会员购买积分包购买API积分包
服务
文献检索文档翻译深度研究API 文档MCP 服务
关于我们
关于 Suppr公司介绍联系我们用户协议隐私条款
关注我们

Suppr 超能文献

核心技术专利:CN118964589B侵权必究
粤ICP备2023148730 号-1Suppr @ 2026

文献检索

告别复杂PubMed语法,用中文像聊天一样搜索,搜遍4000万医学文献。AI智能推荐,让科研检索更轻松。

立即免费搜索

文件翻译

保留排版,准确专业,支持PDF/Word/PPT等文件格式,支持 12+语言互译。

免费翻译文档

深度研究

AI帮你快速写综述,25分钟生成高质量综述,智能提取关键信息,辅助科研写作。

立即免费体验

对小鼠口服惠氏伪鱼腥藻和灿烂鞘丝藻(蓝细菌)提取物所诱导的毒性和组织病理学分析。

Analysis of the toxicity and histopathology induced by the oral administration of Pseudanabaena galeata and Geitlerinema splendidum (cyanobacteria) extracts to mice.

作者信息

Rangel Marisa, Martins Joyce C G, Garcia Angélica Nunes, Conserva Geanne A A, Costa-Neves Adriana, Sant'Anna Célia Leite, de Carvalho Luciana Retz

机构信息

Immunopathology Laboratory, Butantan Institute, Av. Vital Brasil, 1500, Sao Paulo SP 05503-900, Brazil.

Phycology Section, Institute of Botany, Av. Miguel Stéfano, 3687, Sao Paulo SP 04301-902, Brazil.

出版信息

Mar Drugs. 2014 Jan 22;12(1):508-24. doi: 10.3390/md12010508.

DOI:10.3390/md12010508
PMID:24451192
原文链接:https://pmc.ncbi.nlm.nih.gov/articles/PMC3917284/
Abstract

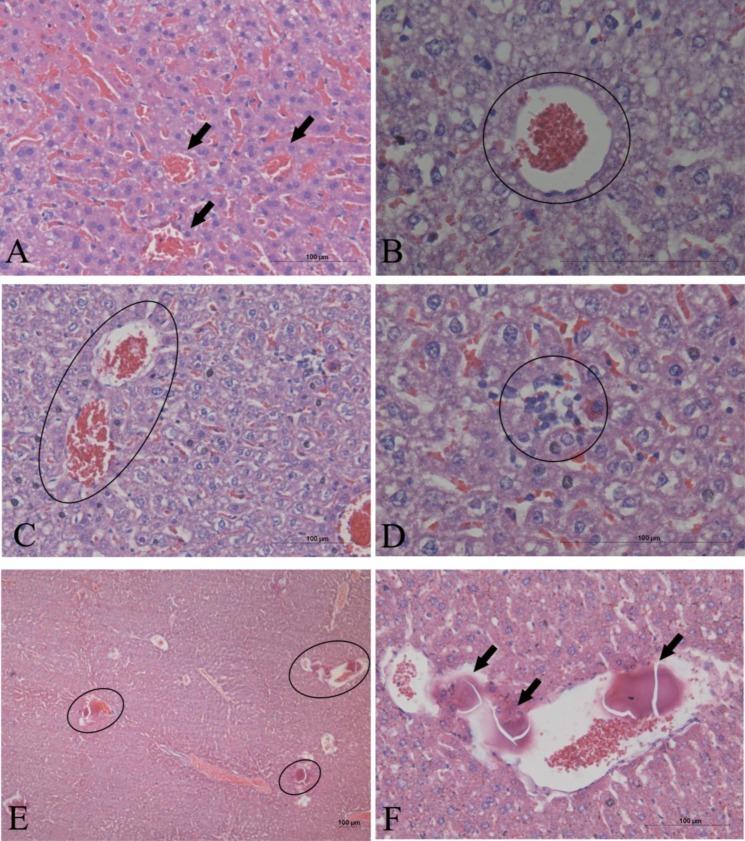
Cyanobacteria are common members of the freshwater microbiota in lakes and drinking water reservoirs, and are responsible for several cases of human intoxications in Brazil. Pseudanabaena galeata and Geitlerinema splendidum are examples of the toxic species that are very frequently found in reservoirs in Sao Paulo, which is the most densely populated area in Brazil. In the search for toxic strains collected from water reservoirs and maintained in the Cyanobacterial Culture Collection (CCIBt) of the Institute of Botany of Brazil, the acetic acid extracts (AE) of P. galeata CCIBt 3082 and G. splendidum CCIBt 3223 were analyzed by planar chromatography, which indicated the absence of cyanotoxins. Animal tests were then carried out, and both extracts were found to induce toxic effects in mice when administered intraperitoneally. The present study aimed to investigate whether the oral ingestion of the above mentioned cyanobacteria extracts would also induce toxic effects in mice. Necropsy and histopathological studies were conducted using tissue samples from the animals, which were euthanized one week after the administration of the extracts. The AE of P. galeata did not cause death but did induce transient symptoms, including eyebrow ptosis, straub tail, and pain. The euthanized animals presented hemorrhage in the liver, whereas the histological analysis showed disorganization of the hepatic parenchyma, necrosis, hyperemia, and proximity of the centrilobular vein in the liver. In addition, alterations in the convoluted tubules of the kidneys were observed, and the lungs were unaffected. The AE of G. splendidum caused only one death, and induced transient symptoms, such as dyspnea, paralysis, and pain, in the other mice. The necropsy of the euthanized mice showed hemorrhage in the lungs and liver. The lungs presented hemorrhagic focuses, alveolar collapse, and granulomatous foci. The liver presented hemorrhagic and enlarged sinusoids, hyperemia, proximity of the centrilobular vein, and disorganization of the hepatic parenchyma. Some areas also exhibited an inflammatory infiltrate and calcified tissue inside blood vessels. Necrosis and rupture of the convoluted tubule cells were observed in the kidneys. Further analysis of the both extracts indicated the lack of hemolytic activity, and the presence of two unknown anti-AChE substances in the AE of G. splendidum. Thus, P. galeata and G. splendidum are producers of novel toxins that affect mammals when administered orally.

摘要

蓝藻是湖泊和饮用水水库中淡水微生物群的常见成员,在巴西曾导致多起人类中毒事件。盖氏伪鱼腥藻和灿烂鞘丝藻是圣保罗水库中经常发现的有毒物种的例子,圣保罗是巴西人口最密集的地区。在从水库收集并保存在巴西植物研究所蓝藻培养物保藏中心(CCIBt)的有毒菌株的研究中,通过平面色谱法分析了盖氏伪鱼腥藻CCIBt 3082和灿烂鞘丝藻CCIBt 3223的乙酸提取物(AE),结果表明不存在蓝藻毒素。随后进行了动物试验,发现两种提取物腹腔注射时均能在小鼠中诱导毒性作用。本研究旨在调查口服上述蓝藻提取物是否也会在小鼠中诱导毒性作用。使用给药提取物一周后安乐死的动物的组织样本进行尸检和组织病理学研究。盖氏伪鱼腥藻AE未导致死亡,但确实诱发了短暂症状,包括眉下垂、弓背尾和疼痛。安乐死的动物肝脏出现出血,而组织学分析显示肝实质紊乱、坏死、充血以及肝小叶中央静脉靠近。此外,观察到肾脏曲小管有改变,而肺部未受影响。灿烂鞘丝藻AE仅导致一例死亡,并在其他小鼠中诱发了短暂症状,如呼吸困难、麻痹和疼痛。安乐死小鼠的尸检显示肺和肝出血。肺出现出血灶、肺泡塌陷和肉芽肿灶。肝脏出现出血性和扩张的血窦、充血、肝小叶中央静脉靠近以及肝实质紊乱。一些区域还表现出血管内炎性浸润和钙化组织。在肾脏中观察到曲小管细胞坏死和破裂。对两种提取物的进一步分析表明缺乏溶血活性,并且灿烂鞘丝藻AE中存在两种未知的抗乙酰胆碱酯酶物质。因此,盖氏伪鱼腥藻和灿烂鞘丝藻是新型毒素的生产者,口服给药时会影响哺乳动物。

https://cdn.ncbi.nlm.nih.gov/pmc/blobs/f324/3917284/b89e889bb0f4/marinedrugs-12-00508-g005.jpg
https://cdn.ncbi.nlm.nih.gov/pmc/blobs/f324/3917284/e576d3875a1f/marinedrugs-12-00508-g001.jpg
https://cdn.ncbi.nlm.nih.gov/pmc/blobs/f324/3917284/5b707be82310/marinedrugs-12-00508-g002.jpg
https://cdn.ncbi.nlm.nih.gov/pmc/blobs/f324/3917284/043cf066d936/marinedrugs-12-00508-g003.jpg
https://cdn.ncbi.nlm.nih.gov/pmc/blobs/f324/3917284/19dcfa94a19d/marinedrugs-12-00508-g004.jpg
https://cdn.ncbi.nlm.nih.gov/pmc/blobs/f324/3917284/b89e889bb0f4/marinedrugs-12-00508-g005.jpg
https://cdn.ncbi.nlm.nih.gov/pmc/blobs/f324/3917284/e576d3875a1f/marinedrugs-12-00508-g001.jpg
https://cdn.ncbi.nlm.nih.gov/pmc/blobs/f324/3917284/5b707be82310/marinedrugs-12-00508-g002.jpg
https://cdn.ncbi.nlm.nih.gov/pmc/blobs/f324/3917284/043cf066d936/marinedrugs-12-00508-g003.jpg
https://cdn.ncbi.nlm.nih.gov/pmc/blobs/f324/3917284/19dcfa94a19d/marinedrugs-12-00508-g004.jpg
https://cdn.ncbi.nlm.nih.gov/pmc/blobs/f324/3917284/b89e889bb0f4/marinedrugs-12-00508-g005.jpg

相似文献

1
Analysis of the toxicity and histopathology induced by the oral administration of Pseudanabaena galeata and Geitlerinema splendidum (cyanobacteria) extracts to mice.对小鼠口服惠氏伪鱼腥藻和灿烂鞘丝藻(蓝细菌)提取物所诱导的毒性和组织病理学分析。
Mar Drugs. 2014 Jan 22;12(1):508-24. doi: 10.3390/md12010508.
2
Toxicological comparison of diverse Cylindrospermopsis raciborskii strains: evidence of liver damage caused by a French C raciborskii strain.不同种类的拉氏柱孢藻菌株的毒理学比较:法国拉氏柱孢藻菌株导致肝脏损伤的证据
Environ Toxicol. 2003 Jun;18(3):176-86. doi: 10.1002/tox.10112.
3
Toxicity of culturable cyanobacteria strains isolated from the Portuguese coast.从葡萄牙海岸分离出的可培养蓝藻菌株的毒性。
Toxicon. 2005 Sep 15;46(4):454-64. doi: 10.1016/j.toxicon.2005.06.010.
4
Selective inhibition of cancer cells' proliferation by compounds included in extracts from Baltic Sea cyanobacteria.波罗的海蓝藻提取物中所含化合物对癌细胞增殖的选择性抑制作用。
Toxicon. 2015 Dec 15;108:1-10. doi: 10.1016/j.toxicon.2015.09.030. Epub 2015 Sep 25.
5
Evaluation of cyanobacteria toxicity in tropical reservoirs using crude extracts bioassay with cladocerans.利用枝角类粗提物生物测定法评估热带水库中蓝藻的毒性
Ecotoxicology. 2007 Mar;16(2):263-70. doi: 10.1007/s10646-006-0126-9. Epub 2006 Nov 28.
6
Impact of copper sulphate, potassium permanganate, and hydrogen peroxide on Pseudanabaena galeata cell integrity, release and degradation of 2-methylisoborneol.硫酸铜、高锰酸钾和过氧化氢对铜绿微囊藻细胞完整性的影响及对 2-甲基异莰醇释放和降解的影响。
Water Res. 2019 Jun 15;157:64-73. doi: 10.1016/j.watres.2019.03.082. Epub 2019 Mar 29.
7
NTP Toxicology and Carcinogenesis Studies of Coumarin (CAS No. 91-64-5) in F344/N Rats and B6C3F1 Mice (Gavage Studies).香豆素(CAS编号91-64-5)在F344/N大鼠和B6C3F1小鼠中的NTP毒理学和致癌性研究(灌胃研究)
Natl Toxicol Program Tech Rep Ser. 1993 Sep;422:1-340.
8
The first evidence of paralytic shellfish toxins in the fresh water cyanobacterium Cylindrospermopsis raciborskii, isolated from Brazil.从巴西分离出的淡水蓝藻柱孢藻中首次发现麻痹性贝类毒素的证据。
Toxicon. 1999 Oct;37(10):1359-73. doi: 10.1016/s0041-0101(99)00080-x.
9
Toxicity of the cyanobacterium Limnothrix AC0243 to male Balb/c mice.蓝藻 Limnothrix AC0243 对雄性 Balb/c 小鼠的毒性。
Water Res. 2012 Apr 1;46(5):1576-83. doi: 10.1016/j.watres.2011.11.019. Epub 2011 Nov 13.
10
Cyanotoxins from black band disease of corals and from other coral reef environments.来自珊瑚黑带病及其他珊瑚礁环境的蓝藻毒素。
Microb Ecol. 2009 Nov;58(4):856-64. doi: 10.1007/s00248-009-9540-x. Epub 2009 Jun 26.

引用本文的文献

1
Occurrence, Distribution and Toxins of Benthic Cyanobacteria in German Lakes.德国湖泊中底栖蓝藻细菌的发生、分布及毒素
Toxics. 2023 Jul 25;11(8):643. doi: 10.3390/toxics11080643.
2
New modular platform based on multi-adjuvanted amphiphilic chitosan nanoparticles for efficient lipopeptide vaccine delivery against group A streptococcus.基于多佐剂两亲性壳聚糖纳米颗粒的新型模块化平台,用于高效递送抗A组链球菌脂肽疫苗。
Asian J Pharm Sci. 2022 May;17(3):435-446. doi: 10.1016/j.ajps.2022.04.002. Epub 2022 Apr 30.
3
Algal Toxic Compounds and Their Aeroterrestrial, Airborne and other Extremophilic Producers with Attention to Soil and Plant Contamination: A Review.

本文引用的文献

1
A toxic cyanobacterial bloom in an urban coastal lake, Rio Grande do Sul state, Southern Brazil.巴西南里奥格兰德州城市沿海湖中的有毒蓝藻水华。
Braz J Microbiol. 2008 Oct;39(4):761-9. doi: 10.1590/S1517-838220080004000031. Epub 2008 Dec 1.
2
Marine natural products.海洋天然产物。
Nat Prod Rep. 2013 Feb;30(2):237-323. doi: 10.1039/c2np20112g.
3
Marine natural products.海洋天然产物。
藻毒素及其气生、气载和其他极端生境生产者,关注土壤和植物污染:综述。
Toxins (Basel). 2021 Apr 29;13(5):322. doi: 10.3390/toxins13050322.
4
Physical drivers facilitating a toxigenic cyanobacterial bloom in a major Great Lakes tributary.促进五大湖主要支流中产生毒素的蓝藻水华的物理驱动因素。
Limnol Oceanogr. 2020 Dec;65(12):2866-2882. doi: 10.1002/lno.11558. Epub 2020 Jul 24.
Nat Prod Rep. 2012 Feb;29(2):144-222. doi: 10.1039/c2np00090c. Epub 2011 Dec 22.
4
Toxicity of the cyanobacterium Limnothrix AC0243 to male Balb/c mice.蓝藻 Limnothrix AC0243 对雄性 Balb/c 小鼠的毒性。
Water Res. 2012 Apr 1;46(5):1576-83. doi: 10.1016/j.watres.2011.11.019. Epub 2011 Nov 13.
5
Inflammatory effects of the toxic cyanobacterium Geitlerinema amphibium.有毒蓝藻鱼腥藻的炎症作用。
Toxicon. 2011 Nov;58(6-7):464-70. doi: 10.1016/j.toxicon.2011.07.010. Epub 2011 Aug 16.
6
Production and characterization of antimicrobial active substance from the cyanobacterium Nostoc muscorum.从蓝藻念珠藻中生产和特性分析具有抗菌活性的物质。
Environ Toxicol Pharmacol. 2006 Jan;21(1):42-50. doi: 10.1016/j.etap.2005.06.006. Epub 2005 Aug 25.
7
Statistical research on marine natural products based on data obtained between 1985 and 2008.基于 1985 年至 2008 年期间获得的数据对海洋天然产物进行的统计研究。
Mar Drugs. 2011;9(4):514-525. doi: 10.3390/md9040514. Epub 2011 Mar 29.
8
Chemical and biological characterization of four new linear cationic α-helical peptides from the venoms of two solitary eumenine wasps.从两种独居性胡蜂毒液中分离得到的四种新型线性阳离子α-螺旋肽的化学和生物学特性。
Toxicon. 2011 Jun;57(7-8):1081-92. doi: 10.1016/j.toxicon.2011.04.014. Epub 2011 Apr 29.
9
Marine natural products.海洋天然产物。
Nat Prod Rep. 2011 Feb;28(2):196-268. doi: 10.1039/c005001f. Epub 2010 Dec 13.
10
Cytotoxic and genotoxic effects of cylindrospermopsin in mice treated by gavage or intraperitoneal injection.灌胃或腹腔注射蓝藻毒素对小鼠的细胞毒性和遗传毒性作用。
Environ Toxicol. 2012 May;27(5):277-84. doi: 10.1002/tox.20640. Epub 2010 Aug 19.