Khandeparkar Siddhi Gaurish Sinai, Deshmukh Sanjay Digambar, Naik Ajay M, Naik Pooja Suresh, Shinde Jeevan
Department of Pathology, Shrimati Kashibai Navale Medical College and General Hospital, Pune, Maharashtra, India.
J Pediatr Neurosci. 2013 Sep;8(3):239-42. doi: 10.4103/1817-1745.123692.
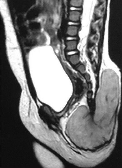
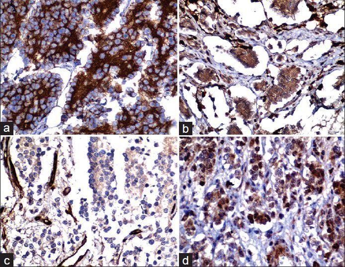
Primary localized congenital sacrococcygeal neuroblastomas (SCNs) are rare. Diagnosis is based on histological and immunohistochemical evaluation, which is indispensable not only for determining tumor type but also for predicting biological behavior. We report a rare case of congenital SCN in a 9-month-old baby girl. Based on clinical and radiological findings, a provisional diagnosis of solid variant of sacrococcygeal teratoma (SCT) was made. The swelling was entirely excised. On histopathological examination, diagnosis of neuroblastoma, differentiating type in the sacrococcygeal region was considered. On immunohistochemistry, the tumor cells showed immunoreactivity for markers such as neuronspecific enolase, chromogranin-A, synaptophysin, and cyclin D1. S-100 showed positive cytoplasmic immunoreactivity. CD99, leucocyte common antigen, PanCK, and epidermal growth factor receptor were nonreactive. Cyclin D1 showed strong nuclear immunoreactivity. p53 was negative and Ki67 labelling index was less than 1%. The immunohistochemical markers studied, confirmed the histopathological diagnosis, and the cell proliferative index markers indicated it to be a very low grade lesion. Postoperatively, the child is disease-free and has achieved normal milestones for age for period of 6 months.