• 文献检索
  • 文档翻译
  • 深度研究
  • 学术资讯
  • Suppr Zotero 插件Zotero 插件
  • 邀请有礼
  • 套餐&价格
  • 历史记录
应用&插件
Suppr Zotero 插件Zotero 插件浏览器插件Mac 客户端Windows 客户端微信小程序
定价
高级版会员购买积分包购买API积分包
服务
文献检索文档翻译深度研究API 文档MCP 服务
关于我们
关于 Suppr公司介绍联系我们用户协议隐私条款
关注我们

Suppr 超能文献

核心技术专利:CN118964589B侵权必究
粤ICP备2023148730 号-1Suppr @ 2026

文献检索

告别复杂PubMed语法,用中文像聊天一样搜索,搜遍4000万医学文献。AI智能推荐,让科研检索更轻松。

立即免费搜索

文件翻译

保留排版,准确专业,支持PDF/Word/PPT等文件格式,支持 12+语言互译。

免费翻译文档

深度研究

AI帮你快速写综述,25分钟生成高质量综述,智能提取关键信息,辅助科研写作。

立即免费体验

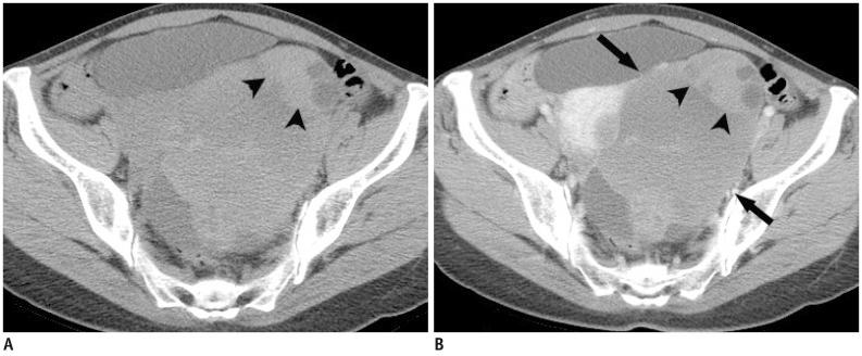
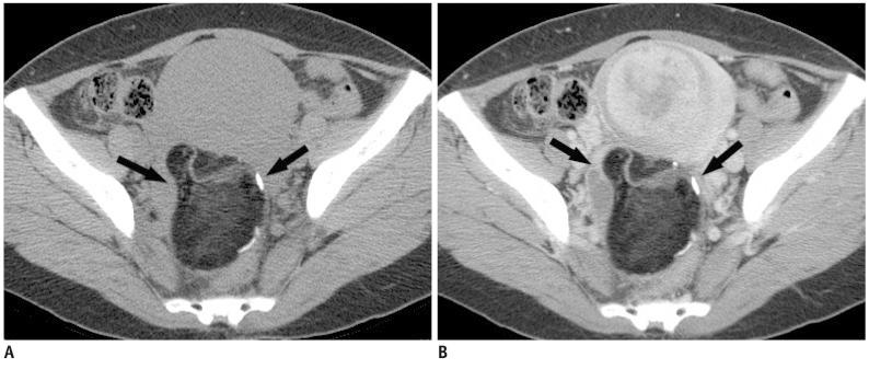
多排螺旋 CT 在附件包块评估中的应用:平扫 CT 是否有必要?

Multidetector computed tomography for the assessment of adnexal mass: is unenhanced CT scan necessary?

机构信息

Department of Radiology, Research Institute of Medical Science, Konkuk University School of Medicine, Seoul 143-729, Korea.

出版信息

Korean J Radiol. 2014 Jan-Feb;15(1):72-9. doi: 10.3348/kjr.2014.15.1.72. Epub 2014 Jan 8.

DOI:10.3348/kjr.2014.15.1.72
PMID:24497795
原文链接:https://pmc.ncbi.nlm.nih.gov/articles/PMC3909865/
Abstract

OBJECTIVE

To compare the diagnostic performance and radiation dose between contrast-enhanced CT (ECT) alone, and combined unenhanced and contrast-enhanced CT (UE + ECT) for the assessment of adnexal mass.

MATERIALS AND METHODS

This retrospective study was approved by the Institutional Review Board. A total of 146 consecutive patients (mean age, 41.1 years) who underwent preoperative unenhanced and contrast-enhanced multidetector CT of the pelvis and had adnexal masses found at surgery were included. Two readers independently evaluated the likelihood of adnexal malignancy on a 5-point scale on two different imaging datasets (ECT alone and UE + ECT). The area under the receiver operating characteristic curve (AUC) was used to evaluate diagnostic performance. Radiation dose to patients was calculated by the volume CT dose index (CTDIvol) and the dose length products (DLP) on each dataset.

RESULTS

Of the total 178 adnexal masses, 133 masses were benign and 45 masses were malignant. For both readers, there is no significant difference of AUC values between ECT alone and UE + ECT for the detection of adnexal malignancy (reader 1, 0.93 vs. 0.95; reader 2, 0.92 vs. 0.91) (p > 0.05). The mean CTDIvol (12.6 ± 2.2 mGy) and DLP (641.2 ± 137.2 mGy) of ECT alone was significantly lower than the mean CTDIvol (21.5 ± 2.7 mGy) and DLP (923.6 ± 158.8 mGy) of UE + ECT (p < 0.0001).

CONCLUSION

The use of unenhanced CT scan in addition to contrast-enhanced CT scan does not improve the detection of adnexal malignancy, but increases radiation exposure.

摘要

目的

比较单独对比增强 CT(ECT)与联合平扫和增强 CT(UE + ECT)在评估附件肿块中的诊断性能和辐射剂量。

材料与方法

本回顾性研究经机构审查委员会批准。共纳入 146 例连续患者(平均年龄 41.1 岁),这些患者均在术前接受盆腔多排螺旋 CT 平扫和增强检查,且术中发现附件肿块。两名读者分别在两个不同的影像数据集(ECT 单独和 UE + ECT)上,独立地使用 5 分制评估附件恶性肿瘤的可能性。受试者工作特征曲线(ROC)下面积(AUC)用于评估诊断性能。使用每个数据集的容积 CT 剂量指数(CTDIvol)和剂量长度乘积(DLP)来计算患者的辐射剂量。

结果

在总共 178 个附件肿块中,133 个为良性肿块,45 个为恶性肿块。对于两位读者,ECT 单独和 UE + ECT 检测附件恶性肿瘤的 AUC 值均无显著差异(读者 1,0.93 比 0.95;读者 2,0.92 比 0.91)(p>0.05)。ECT 单独的平均 CTDIvol(12.6±2.2 mGy)和 DLP(641.2±137.2 mGy)明显低于 UE + ECT 的平均 CTDIvol(21.5±2.7 mGy)和 DLP(923.6±158.8 mGy)(p<0.0001)。

结论

在增强 CT 扫描的基础上增加平扫并不能提高附件恶性肿瘤的检出率,但会增加辐射暴露。

https://cdn.ncbi.nlm.nih.gov/pmc/blobs/31e4/3909865/e36a02b3998d/kjr-15-72-g006.jpg
https://cdn.ncbi.nlm.nih.gov/pmc/blobs/31e4/3909865/fd01a391d678/kjr-15-72-g001.jpg
https://cdn.ncbi.nlm.nih.gov/pmc/blobs/31e4/3909865/3ca2b302c6b3/kjr-15-72-g002.jpg
https://cdn.ncbi.nlm.nih.gov/pmc/blobs/31e4/3909865/656f818a94e3/kjr-15-72-g003.jpg
https://cdn.ncbi.nlm.nih.gov/pmc/blobs/31e4/3909865/779af12caac9/kjr-15-72-g004.jpg
https://cdn.ncbi.nlm.nih.gov/pmc/blobs/31e4/3909865/63e97dc15639/kjr-15-72-g005.jpg
https://cdn.ncbi.nlm.nih.gov/pmc/blobs/31e4/3909865/e36a02b3998d/kjr-15-72-g006.jpg
https://cdn.ncbi.nlm.nih.gov/pmc/blobs/31e4/3909865/fd01a391d678/kjr-15-72-g001.jpg
https://cdn.ncbi.nlm.nih.gov/pmc/blobs/31e4/3909865/3ca2b302c6b3/kjr-15-72-g002.jpg
https://cdn.ncbi.nlm.nih.gov/pmc/blobs/31e4/3909865/656f818a94e3/kjr-15-72-g003.jpg
https://cdn.ncbi.nlm.nih.gov/pmc/blobs/31e4/3909865/779af12caac9/kjr-15-72-g004.jpg
https://cdn.ncbi.nlm.nih.gov/pmc/blobs/31e4/3909865/63e97dc15639/kjr-15-72-g005.jpg
https://cdn.ncbi.nlm.nih.gov/pmc/blobs/31e4/3909865/e36a02b3998d/kjr-15-72-g006.jpg

相似文献

1
Multidetector computed tomography for the assessment of adnexal mass: is unenhanced CT scan necessary?多排螺旋 CT 在附件包块评估中的应用:平扫 CT 是否有必要?
Korean J Radiol. 2014 Jan-Feb;15(1):72-9. doi: 10.3348/kjr.2014.15.1.72. Epub 2014 Jan 8.
2
Characterization of adnexal masses using feature analysis at contrast-enhanced helical computed tomography.在对比增强螺旋计算机断层扫描中使用特征分析对附件肿块进行特征描述。
J Comput Assist Tomogr. 2008 Jul-Aug;32(4):533-40. doi: 10.1097/RCT.0b013e3181568890.
3
Added Value of Using a CT Coronal Reformation to Diagnose Adnexal Torsion.使用CT冠状面重建诊断附件扭转的附加价值。
Korean J Radiol. 2015 Jul-Aug;16(4):835-45. doi: 10.3348/kjr.2015.16.4.835. Epub 2015 Jul 1.
4
Utility of virtual unenhanced images and split-bolus injection using spectral multidetector CT for the assessment of renal cell carcinoma conspicuity and radiation dose.使用光谱多探测器CT的虚拟平扫图像和团注分割技术在评估肾细胞癌显影及辐射剂量方面的效用
Int J Clin Pract. 2016 Sep;70 Suppl 9B:B56-63. doi: 10.1111/ijcp.12859.
5
Incidental adnexal masses detected at low-dose unenhanced CT in asymptomatic women age 50 and older: implications for clinical management and ovarian cancer screening.在无症状 50 岁及以上女性的低剂量非增强 CT 中偶然发现的附件肿块:对临床管理和卵巢癌筛查的影响。
Radiology. 2010 Oct;257(1):144-50. doi: 10.1148/radiol.10100511. Epub 2010 Jul 27.
6
Accuracy and reproducibility of the O-RADS MRI risk stratification system based on enhanced non-DCE MRI in the assessment of adnexal masses.基于增强非动态对比增强磁共振成像(MRI)的O-RADS MRI风险分层系统在附件包块评估中的准确性和可重复性
Eur J Radiol. 2023 Feb;159:110670. doi: 10.1016/j.ejrad.2022.110670. Epub 2022 Dec 24.
7
Characterization of tubo-ovarian abscess mimicking adnexal masses: Comparison between contrast-enhanced CT, F-FDG PET/CT and MRI.模仿附件肿块的输卵管卵巢脓肿的特征:对比增强CT、F-FDG PET/CT和MRI之间的比较
Taiwan J Obstet Gynecol. 2018 Feb;57(1):40-46. doi: 10.1016/j.tjog.2017.12.007.
8
Analysis of image quality and radiation dose in routine adult brain helical and wide-volume computed tomography procedures.常规成人脑螺旋和宽体容积 CT 扫描的图像质量和辐射剂量分析。
J Med Imaging Radiat Sci. 2022 Sep;53(3):429-436. doi: 10.1016/j.jmir.2022.05.008. Epub 2022 Jun 15.
9
Computed tomography adnexal mass score to estimate risk for ovarian cancer.附件包块计算机断层扫描评分评估卵巢癌风险。
Arch Gynecol Obstet. 2014 Mar;289(3):595-600. doi: 10.1007/s00404-013-3013-7. Epub 2013 Aug 31.
10
CT findings of adnexal torsion: A matched case-control study.附件扭转的 CT 表现:一项配对病例对照研究。
PLoS One. 2018 Jul 11;13(7):e0200190. doi: 10.1371/journal.pone.0200190. eCollection 2018.

引用本文的文献

1
Radiomics in the CT diagnosis of ovarian cystic malignancies - a pilot study.CT诊断卵巢囊性恶性肿瘤的影像组学——一项初步研究
Med Pharm Rep. 2024 Apr;97(2):169-177. doi: 10.15386/mpr-2594. Epub 2024 Apr 25.
2
Use of "Diagnostic Yield" in Imaging Research Reports: Results from Articles Published in Two General Radiology Journals.影像学研究报告中“诊断收益”的使用:两篇普通放射学期刊文章的结果。
Korean J Radiol. 2022 Dec;23(12):1290-1300. doi: 10.3348/kjr.2022.0741.
3
Ultrasonography in the Diagnosis of Adnexal Lesions: The Role of Texture Analysis.

本文引用的文献

1
Radiology residents' awareness about ionizing radiation doses in imaging studies and their cancer risk during radiological examinations.放射科住院医师对影像学检查中的电离辐射剂量及其在放射检查过程中癌症风险的认识。
Korean J Radiol. 2012 Mar-Apr;13(2):202-9. doi: 10.3348/kjr.2012.13.2.202. Epub 2012 Mar 7.
2
Evaluation of ultra-low dose CT in the diagnosis of pediatric-like fractures using an experimental animal study.实验动物研究评估超低剂量 CT 在儿科样骨折诊断中的应用。
Korean J Radiol. 2012 Mar-Apr;13(2):165-73. doi: 10.3348/kjr.2012.13.2.165. Epub 2012 Mar 7.
3
80-kVp CT using Iterative Reconstruction in Image Space algorithm for the detection of hypervascular hepatocellular carcinoma: phantom and initial clinical experience.
超声检查在附件区病变诊断中的应用:纹理分析的作用
Diagnostics (Basel). 2021 Apr 29;11(5):812. doi: 10.3390/diagnostics11050812.
4
Computer Tomography in the Diagnosis of Ovarian Cysts: The Role of Fluid Attenuation Values.计算机断层扫描在卵巢囊肿诊断中的应用:液体衰减值的作用
Healthcare (Basel). 2020 Oct 14;8(4):398. doi: 10.3390/healthcare8040398.
5
Radiomic Analysis of MRI Images is Instrumental to the Stratification of Ovarian Cysts.MRI图像的放射组学分析有助于卵巢囊肿的分层。
J Pers Med. 2020 Sep 14;10(3):127. doi: 10.3390/jpm10030127.
6
Selection and Reporting of Statistical Methods to Assess Reliability of a Diagnostic Test: Conformity to Recommended Methods in a Peer-Reviewed Journal.评估诊断试验可靠性的统计方法的选择与报告:在同行评审期刊中与推荐方法的一致性
Korean J Radiol. 2017 Nov-Dec;18(6):888-897. doi: 10.3348/kjr.2017.18.6.888. Epub 2017 Sep 21.
7
Excess of Radiation Burden for Young Testicular Cancer Patients using Automatic Exposure Control and Contrast Agent on Whole-body Computed Tomography Imaging.在全身计算机断层扫描成像中使用自动曝光控制和造影剂时年轻睾丸癌患者的辐射负担过量问题
Radiol Oncol. 2017 Feb 26;51(2):235-240. doi: 10.1515/raon-2017-0012. eCollection 2017 Jun.
8
Does the Reporting Quality of Diagnostic Test Accuracy Studies, as Defined by STARD 2015, Affect Citation?按照《2015年诊断试验准确性研究报告规范》(STARD 2015)定义的诊断试验准确性研究的报告质量会影响其被引用情况吗?
Korean J Radiol. 2016 Sep-Oct;17(5):706-14. doi: 10.3348/kjr.2016.17.5.706. Epub 2016 Aug 23.
80kVp CT 采用迭代重建在图像空间算法检测富血管性肝细胞癌:体模和初步临床经验。
Korean J Radiol. 2012 Mar-Apr;13(2):152-64. doi: 10.3348/kjr.2012.13.2.152. Epub 2012 Mar 7.
4
CT radiation dose optimization and estimation: an update for radiologists.CT 辐射剂量优化与评估:放射科医师的最新进展。
Korean J Radiol. 2012 Jan-Feb;13(1):1-11. doi: 10.3348/kjr.2012.13.1.1. Epub 2011 Dec 23.
5
Ionizing radiation in abdominal CT: unindicated multiphase scans are an important source of medically unnecessary exposure.腹部 CT 中的电离辐射:不必要的多期扫描是造成不必要的医疗照射的一个重要原因。
J Am Coll Radiol. 2011 Nov;8(11):756-61. doi: 10.1016/j.jacr.2011.05.011.
6
Accuracy of 64-multidetector computed tomography in diagnosis of adnexal tumors.64 层多排螺旋 CT 诊断附件肿瘤的准确性。
J Ovarian Res. 2011 Aug 17;4:15. doi: 10.1186/1757-2215-4-15.
7
MR imaging of the sonographically indeterminate adnexal mass.超声检查无法明确的附件包块的磁共振成像。
Radiology. 2010 Sep;256(3):677-94. doi: 10.1148/radiol.10090397.
8
The image quality and radiation dose of 100-kVp versus 120-kVp ECG-gated 16-slice CT coronary angiography.100千伏峰值与120千伏峰值心电图门控16层CT冠状动脉造影的图像质量和辐射剂量
Korean J Radiol. 2009 May-Jun;10(3):235-43. doi: 10.3348/kjr.2009.10.3.235. Epub 2009 Apr 22.
9
Characterization of adnexal masses using feature analysis at contrast-enhanced helical computed tomography.在对比增强螺旋计算机断层扫描中使用特征分析对附件肿块进行特征描述。
J Comput Assist Tomogr. 2008 Jul-Aug;32(4):533-40. doi: 10.1097/RCT.0b013e3181568890.
10
Adnexal masses: accuracy of detection and differentiation with multidetector computed tomography.附件肿物:多排螺旋计算机断层扫描对其检测及鉴别的准确性
Gynecol Oncol. 2008 Jul;110(1):22-31. doi: 10.1016/j.ygyno.2008.03.022. Epub 2008 May 16.