Suppr超能文献

鉴定百日咳毒素S1亚基中酶活性所必需且有助于形成中和抗原决定簇的区域。

Identification of a region in the S1 subunit of pertussis toxin that is required for enzymatic activity and that contributes to the formation of a neutralizing antigenic determinant.

作者信息

Cieplak W, Burnette W N, Mar V L, Kaljot K T, Morris C F, Chen K K, Sato H, Keith J M

机构信息

Department of Health and Human Services, National Institute of Allergy and Infectious Diseases, Hamilton, MT 59840.

出版信息

Proc Natl Acad Sci U S A. 1988 Jul;85(13):4667-71. doi: 10.1073/pnas.85.13.4667.

Abstract

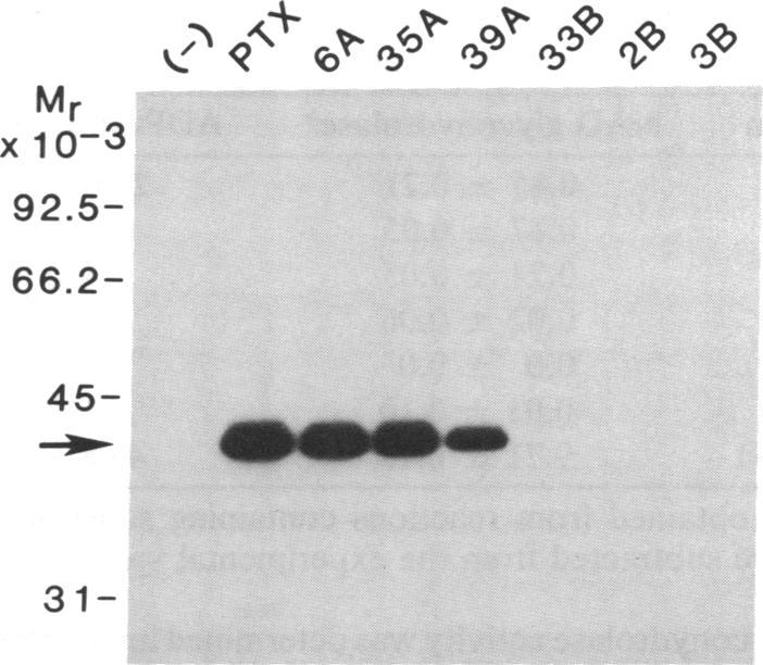
The S1 subunit of pertussis toxin possesses two regions (homology boxes), each spanning 8 residues, that are nearly identical in sequence to similarly located regions in the enzymatically active A fragments of two other ADP-ribosylating toxins: cholera toxin and Escherichia coli heat-labile toxin. This observation suggests a functional role for one or both of these regions in enzymatic activity. We have examined the role of one of these regions, located near the amino terminus of the S1 subunit, by using a high-level recombinant expression system and progressive truncation of the gene sequence encoding the amino terminus of the molecule. A series of six truncated, recombinant proteins were produced at high levels in E. coli and examined for their enzymatic and antigenic properties. The three molecules that lacked most or all of the homology box delimited by amino acid residues 8 and 15 lacked detectable enzymatic activity. All of the three molecules in which the box was retained exhibited detectable activity. Only those recombinant molecules that possessed the homology box reacted with a neutralizing and passively protective monoclonal anti-S1 antibody. These findings identify the region of homology located near the amino terminus of S1 as an apparent enzymatic subsite and a potentially important antigenic determinant.

摘要

百日咳毒素的S1亚基有两个区域(同源框),每个区域跨越8个残基,其序列与另外两种ADP核糖基化毒素(霍乱毒素和大肠杆菌不耐热毒素)的酶活性A片段中位置相似的区域几乎完全相同。这一观察结果表明这些区域中的一个或两个在酶活性中具有功能性作用。我们通过使用高水平重组表达系统和对编码该分子氨基末端的基因序列进行逐步截短,研究了位于S1亚基氨基末端附近的其中一个区域的作用。在大肠杆菌中高水平产生了一系列六个截短的重组蛋白,并检测了它们的酶学和抗原特性。缺少由氨基酸残基8和15界定的大部分或全部同源框的三个分子缺乏可检测到的酶活性。保留了该框的三个分子均表现出可检测到的活性。只有那些具有同源框的重组分子能与一种具有中和作用和被动保护作用的抗S1单克隆抗体发生反应。这些发现确定了位于S1氨基末端附近的同源区域是一个明显的酶亚位点和一个潜在的重要抗原决定簇。

https://cdn.ncbi.nlm.nih.gov/pmc/blobs/ba3d/280496/c66aaf61620e/pnas00265-0100-a.jpg

文献检索

告别复杂PubMed语法,用中文像聊天一样搜索,搜遍4000万医学文献。AI智能推荐,让科研检索更轻松。

立即免费搜索

文件翻译

保留排版,准确专业,支持PDF/Word/PPT等文件格式,支持 12+语言互译。

免费翻译文档

深度研究

AI帮你快速写综述,25分钟生成高质量综述,智能提取关键信息,辅助科研写作。

立即免费体验