• 文献检索
  • 文档翻译
  • 深度研究
  • 学术资讯
  • Suppr Zotero 插件Zotero 插件
  • 邀请有礼
  • 套餐&价格
  • 历史记录
应用&插件
Suppr Zotero 插件Zotero 插件浏览器插件Mac 客户端Windows 客户端微信小程序
定价
高级版会员购买积分包购买API积分包
服务
文献检索文档翻译深度研究API 文档MCP 服务
关于我们
关于 Suppr公司介绍联系我们用户协议隐私条款
关注我们

Suppr 超能文献

核心技术专利:CN118964589B侵权必究
粤ICP备2023148730 号-1Suppr @ 2026

文献检索

告别复杂PubMed语法,用中文像聊天一样搜索,搜遍4000万医学文献。AI智能推荐,让科研检索更轻松。

立即免费搜索

文件翻译

保留排版,准确专业,支持PDF/Word/PPT等文件格式,支持 12+语言互译。

免费翻译文档

深度研究

AI帮你快速写综述,25分钟生成高质量综述,智能提取关键信息,辅助科研写作。

立即免费体验

卵巢癌患者接受卡铂化疗后出现单侧视盘乳头水肿

Unilateral Optic Disc Papilloedema following Administration of Carboplatin Chemotherapy for Ovarian Carcinoma.

作者信息

Lewis Philippa, Waqar Salman, Yiannakis Dennis, Raman Vasant

机构信息

Department of Oncology, Derriford Hospital, Plymouth, UK.

Royal Eye Infirmary, Plymouth, UK.

出版信息

Case Rep Oncol. 2014 Jan 10;7(1):29-32. doi: 10.1159/000357912. eCollection 2014 Jan.

DOI:10.1159/000357912
PMID:24575012
原文链接:https://pmc.ncbi.nlm.nih.gov/articles/PMC3934811/
Abstract

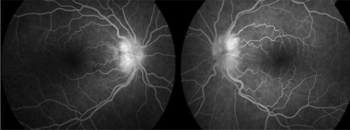
A 48-year-old woman with a positive BRCA1 gene mutation was diagnosed with stage 3b high-grade ovarian endometrioid carcinoma. She was treated with adjuvant carboplatin at a dose of 740 mg (AUC 6) in 3-weekly cycles. Five days after her fifth cycle of carboplatin, she awoke with new-onset blurred vision in her left eye. An ophthalmology review showed left-sided disc oedema with normal optic nerve function tests and 6/24 visual acuity. A CT scan of the head and orbits was performed which showed no evidence of metastasis or raised intracranial pressure. An autoimmune screen was performed which did not reveal any explanation for her visual symptoms. Fundus fluorescein angiography showed bilateral intense late disc leakage with no evidence of vasculitis. Her chemotherapy was stopped in view of a radiological and biochemical remission and her visual symptoms were monitored. She was also started on a tapering dose of prednisolone 40 mg daily. Five months after the initial review, she has developed left optic disc atrophy with 6/18 visual acuity, while the right eye remains asymptomatic. The diagnosis was felt to be that of carboplatin-induced unilateral disc oedema, a very rare side effect of this chemotherapy.

摘要

一名48岁的女性,其BRCA1基因突变呈阳性,被诊断为3b期高级别卵巢子宫内膜样癌。她接受了辅助性卡铂治疗,剂量为740毫克(AUC 6),每3周一个疗程。在她第五个卡铂疗程后的第五天,她醒来时左眼出现了新发的视力模糊。眼科检查显示左侧视盘水肿,视神经功能测试正常,视力为6/24。进行了头部和眼眶的CT扫描,未发现转移或颅内压升高的迹象。进行了自身免疫筛查,但未发现任何能解释她视觉症状的原因。眼底荧光血管造影显示双侧视盘晚期强烈渗漏,无血管炎迹象。鉴于影像学和生化指标缓解,她的化疗停止,并对其视觉症状进行监测。她还开始每天服用逐渐减量的泼尼松龙40毫克。在初次检查五个月后,她出现了左侧视盘萎缩,视力为6/18,而右眼仍无症状。诊断为卡铂引起的单侧视盘水肿,这是这种化疗非常罕见的副作用。

https://cdn.ncbi.nlm.nih.gov/pmc/blobs/b183/3934811/5afbb6155f69/cro-0007-0029-g02.jpg
https://cdn.ncbi.nlm.nih.gov/pmc/blobs/b183/3934811/78c24f63bde0/cro-0007-0029-g01.jpg
https://cdn.ncbi.nlm.nih.gov/pmc/blobs/b183/3934811/5afbb6155f69/cro-0007-0029-g02.jpg
https://cdn.ncbi.nlm.nih.gov/pmc/blobs/b183/3934811/78c24f63bde0/cro-0007-0029-g01.jpg
https://cdn.ncbi.nlm.nih.gov/pmc/blobs/b183/3934811/5afbb6155f69/cro-0007-0029-g02.jpg

相似文献

1
Unilateral Optic Disc Papilloedema following Administration of Carboplatin Chemotherapy for Ovarian Carcinoma.卵巢癌患者接受卡铂化疗后出现单侧视盘乳头水肿
Case Rep Oncol. 2014 Jan 10;7(1):29-32. doi: 10.1159/000357912. eCollection 2014 Jan.
2
[STORY of the Papilla - a Case Report].[乳头的故事——病例报告]
Cesk Slov Oftalmol. 2015 Apr;71(2):116-21.
3
Posterior Globe Flattening without Papilledema in Idiopathic Intracranial Hypertension.特发性颅内高压中无视乳头水肿的眼球后部扁平
Neuroophthalmology. 2019 Jun 19;44(2):69-70. doi: 10.1080/01658107.2019.1604765. eCollection 2020 Apr.
4
Syringomyelia presenting with unilateral optic neuropathy: a case report.表现为单侧视神经病变的脊髓空洞症:一例报告
Int Med Case Rep J. 2017 Mar 14;10:87-91. doi: 10.2147/IMCRJ.S129239. eCollection 2017.
5
Bilateral Optic Neuropathy Secondary to Intravenous Carboplatin Therapy.静脉注射卡铂治疗继发双侧视神经病变
J Ophthalmic Vis Res. 2024 Mar 14;19(1):133-136. doi: 10.18502/jovr.v19i1.15448. eCollection 2024 Jan-Mar.
6
POSSIBLE EFFICACY OF TOPICAL DORZOLAMIDE IN THE TREATMENT OF PACLITAXEL-RELATED CYSTOID MACULAR EDEMA.局部用多佐胺治疗紫杉醇相关的黄斑囊样水肿的可能疗效。
Retin Cases Brief Rep. 2018;12(1):75-79. doi: 10.1097/ICB.0000000000000433.
7
Optic nerve drusen and pseudopapilledema.视神经乳头 drusen 和假性视乳头水肿。 (注:这里drusen可能是医学术语,常见的是“玻璃膜疣”,但原文未对其做进一步注释,如果有更准确的医学专业释义需求,建议结合具体医学领域进一步明确。)
Am J Optom Physiol Opt. 1981 Aug;58(8):671-6.
8
A case of bilateral uveitis and optic disc swelling with Chiari I malformation.一例伴有Chiari I型畸形的双侧葡萄膜炎和视盘肿胀病例。
Saudi J Ophthalmol. 2012 Jul;26(3):335-7. doi: 10.1016/j.sjopt.2012.01.007. Epub 2012 Feb 6.
9
Unilateral visual impairment in a patient undergoing chemotherapy: a case report and clinical findings.患者在接受化疗过程中出现单侧视力障碍:病例报告及临床观察。
BMC Ophthalmol. 2019 Nov 21;19(1):236. doi: 10.1186/s12886-019-1246-3.
10
Leptomeningeal Carcinomatosis With Optic Nerve Metastasis Secondary to Breast Cancer.继发于乳腺癌的伴视神经转移的柔脑膜癌病
Cureus. 2021 Mar 31;13(3):e14200. doi: 10.7759/cureus.14200.

引用本文的文献

1
Cisplatin-Induced Toxic Optic Neuropathy in a Patient With Hodgkin's Lymphoma.一名霍奇金淋巴瘤患者发生顺铂诱导的中毒性视神经病变
Cureus. 2024 Sep 10;16(9):e69140. doi: 10.7759/cureus.69140. eCollection 2024 Sep.
2
Bilateral Visual Impairment following Combination Chemotherapy with Carboplatin in Patients with Small Cell Lung Cancer: A Case Report.小细胞肺癌患者接受卡铂联合化疗后出现双侧视力障碍:一例报告。
Medicina (Kaunas). 2024 Jun 17;60(6):992. doi: 10.3390/medicina60060992.
3
Bilateral Optic Neuropathy Secondary to Intravenous Carboplatin Therapy.

本文引用的文献

1
Carboplatin-Induced Bilateral Papilledema: A Case Report.卡铂诱导的双侧视乳头水肿:一例报告
Case Rep Oncol. 2009 Apr 25;2(1):67-71. doi: 10.1159/000212087.
2
Dose-dense paclitaxel once a week in combination with carboplatin every 3 weeks for advanced ovarian cancer: a phase 3, open-label, randomised controlled trial.每周一次密集剂量紫杉醇联合每3周一次卡铂治疗晚期卵巢癌:一项3期、开放标签、随机对照试验。
Lancet. 2009 Oct 17;374(9698):1331-8. doi: 10.1016/S0140-6736(09)61157-0. Epub 2009 Sep 18.
3
Update on ocular complications of systemic cancer chemotherapy.
静脉注射卡铂治疗继发双侧视神经病变
J Ophthalmic Vis Res. 2024 Mar 14;19(1):133-136. doi: 10.18502/jovr.v19i1.15448. eCollection 2024 Jan-Mar.
4
Blinding Optic Neuropathy Associated With Carboplatin Therapy: A Case Report and Literature Review.与卡铂治疗相关的致盲性视神经病变:一例报告及文献综述
Cureus. 2024 Jan 26;16(1):e52975. doi: 10.7759/cureus.52975. eCollection 2024 Jan.
5
Ocular toxicity following carboplatin chemotherapy for neuroendocrine tumour of the bladder.卡铂化疗治疗膀胱癌神经内分泌肿瘤后的眼毒性。
J Oncol Pharm Pract. 2023 Apr;29(3):768-771. doi: 10.1177/10781552221122005. Epub 2022 Aug 24.
6
Severe Periocular Edema after Intraarterial Carboplatin Chemotherapy for Retinoblastoma in a Rabbit () Model.兔视网膜母细胞瘤模型经动脉卡铂化疗后的严重眼周水肿()
Comp Med. 2020 Apr 1;70(2):176-182. doi: 10.30802/AALAS-CM-18-000146. Epub 2020 Mar 11.
系统性癌症化疗的眼部并发症最新进展
Surv Ophthalmol. 2006 Jan-Feb;51(1):19-40. doi: 10.1016/j.survophthal.2005.11.001.
4
Monocular visual loss in a patient undergoing cisplatin chemotherapy.一名正在接受顺铂化疗的患者出现单眼视力丧失。
Int Ophthalmol. 2001;24(6):301-4. doi: 10.1023/b:inte.0000006763.61637.7e.
5
Ophthalmic toxicity during carboplatin therapy.卡铂治疗期间的眼部毒性。
Ann Oncol. 1993 Apr;4(4):337-8. doi: 10.1093/oxfordjournals.annonc.a058497.
6
Blindness associated with high-dose carboplatin.
Lancet. 1992 Feb 29;339(8792):558. doi: 10.1016/0140-6736(92)90384-f.