Rothman Institute at Thomas Jefferson University, Philadelphia, Pennsylvania.
MedSport, Division of Sports Medicine and Shoulder Surgery, University of Michigan, Ann Arbor, Michigan.
Sports Health. 2014 Mar;6(2):108-18. doi: 10.1177/1941738114522201.
In active individuals with femoroacetabular impingement (FAI), the resultant reduction in functional range of motion leads to high impaction loads at terminal ranges. These increased forces result in compensatory effects on bony and soft tissue structures within the hip joint and hemipelvis. An algorithm is useful in evaluating athletes with pre-arthritic, mechanical hip pain and associated compensatory disorders.
A literature search was performed by a review of PubMed articles published from 1976 to 2013.
Level 4.
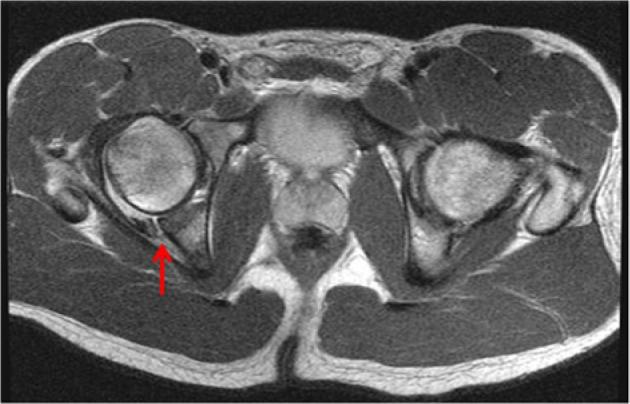
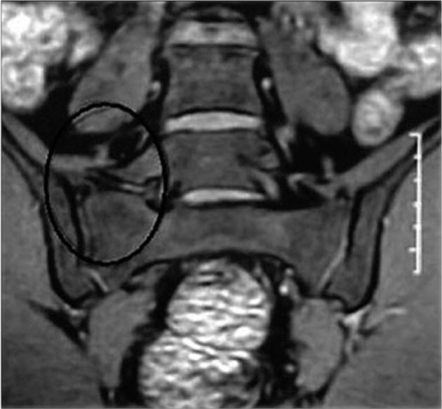
Increased stresses across the bony hemipelvis result when athletes with FAI attempt to achieve supraphysiologic, terminal ranges of motion (ROM) through the hip joint required for athletic competition. This can manifest as pain within the pubic joint (osteitis pubis), sacroiliac joint, and lumbosacral spine. Subclinical posterior hip instability may result when attempts to increase hip flexion and internal rotation are not compensated for by increased motion through the hemipelvis. Prominence of the anterior inferior iliac spine (AIIS) at the level of the acetabular rim can result in impingement of the anterior hip joint capsule or iliocapsularis muscle origin against the femoral head-neck junction, resulting in a distinct form of mechanical hip impingement (AIIS subspine impingement). Iliopsoas impingement (IPI) has also been described as an etiology for anterior hip pain. IPI results in a typical 3-o'clock labral tear as well as an inflamed capsule in close proximity to the overlying iliopsoas tendon. Injury in athletic pubalgia occurs during high-energy twisting activities in which abnormal hip ROM and resultant pelvic motion lead to shearing across the pubic symphysis.
Failure to recognize and address concomitant compensatory injury patterns associated with intra-articular hip pathology can result in significant disability and persistent symptoms in athletes with pre-arthritic, mechanical hip pain.
STRENGTH-OF-RECOMMENDATION TAXONOMY SORT: B.
在患有股骨髋臼撞击症(FAI)的活跃个体中,功能运动范围的减少会导致终末范围内的高撞击负荷。这些增加的力会导致髋关节和半骨盆内的骨和软组织结构产生代偿效应。算法在评估患有预关节炎、机械性髋痛和相关代偿性疾病的运动员时非常有用。
通过对 1976 年至 2013 年发表的 PubMed 文章进行综述,进行了文献检索。
4 级。
当患有 FAI 的运动员试图通过髋关节达到运动所需的超生理终末运动范围(ROM)时,会在整个骨性半骨盆上产生增加的应力髋部运动。这可能表现为耻骨联合(耻骨炎)、骶髂关节和腰骶脊柱的疼痛。当试图增加髋关节屈曲和内旋时,如果不能通过增加半骨盆的运动来补偿,可能会导致髋关节后向不稳定。前下髂嵴(AIIS)在髋臼边缘水平的突出可能导致髋关节前关节囊或髂腰肌止点撞击股骨头颈交界处,导致一种特殊形式的机械性髋关节撞击(AIIS 下嵴撞击)。也有描述称髂腰肌撞击(IPI)是引起髋关节前侧疼痛的原因。IPI 导致典型的 3 点钟处的盂唇撕裂以及紧邻上方髂腰肌肌腱的发炎的关节囊。在高能量扭转活动中,当髋关节的异常 ROM 和由此产生的骨盆运动导致耻骨联合的剪切时,运动员的运动性耻骨炎会发生损伤。
未能识别和处理与关节内髋关节病理相关的伴随代偿性损伤模式可能导致患有预关节炎、机械性髋痛的运动员出现显著的残疾和持续的症状。
B。