Suppr超能文献

肺诺卡菌病的临床和影像学特征:早期诊断线索

Clinical and radiographic characteristics of pulmonary nocardiosis: clues to earlier diagnosis.

作者信息

Chen Junjun, Zhou Hua, Xu Panfeng, Zhang Pei, Ma Shanni, Zhou Jianying

机构信息

Department of Respiratory Diseases, The First Affiliated Hospital, College of Medicine, Zhejiang University, Hangzhou, Zhejiang, People's Republic of China.

出版信息

PLoS One. 2014 Mar 3;9(3):e90724. doi: 10.1371/journal.pone.0090724. eCollection 2014.

Abstract

BACKGROUND AND OBJECTIVES

Pulmonary nocardiosis (PN) is a rare but life-threatening disease that is caused by Nocardia spp. The aim of this study was to characterize the common risk factors, clinical features, imaging findings, treatment and outcomes of PN, which are useful for an early diagnosis and patient management.

METHODS

From January 2009 to June 2013, a retrospective study was performed on all PN cases that were diagnosed at our hospital.

RESULTS

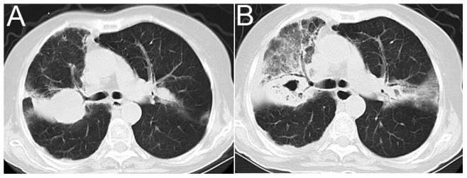
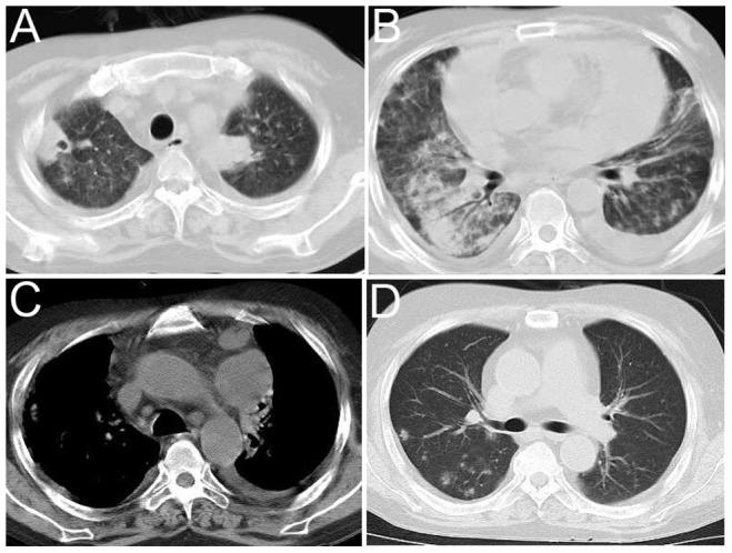
The study included 17 patients who were diagnosed with PN. Of these patients, 4 developed concomitant disseminated disease. A male predominance was observed among the patients with PN (76.47%). The most common risk factors were corticosteroid therapy (64.71%), diabetes mellitus (29.41) and chronic lung disease (23.53%). Cough and fever were the most common symptoms (94% and 71%, respectively). One or more nodules or masses (82.35%) and consolidations (58.82%) were the most frequent radiologic abnormalities, and cavitation mostly occurred within two weeks. The median time to diagnosis was 25 days. Overall, the mortality rate was 18.75% for PN, and death was most frequent among patients who received immunosuppressive drugs. For the patients with central nervous system involvement, the mortality rate was 50%.

CONCLUSION

PN remains a rare opportunistic infection that mainly affects immunocompromised patients. A high clinical index of suspicion is necessary for an early diagnosis and timely treatment in immunocompromised patients who present with new nodules or masses evolving into cavitation in a short amount of time.

摘要

背景与目的

肺诺卡菌病(PN)是一种由诺卡菌属引起的罕见但危及生命的疾病。本研究旨在明确PN的常见危险因素、临床特征、影像学表现、治疗方法及预后,这对早期诊断和患者管理具有重要意义。

方法

对2009年1月至2013年6月期间我院诊断的所有PN病例进行回顾性研究。

结果

本研究纳入了17例确诊为PN的患者。其中,4例并发播散性疾病。PN患者中男性占优势(76.47%)。最常见的危险因素为糖皮质激素治疗(64.71%)、糖尿病(29.41%)和慢性肺部疾病(23.53%)。咳嗽和发热是最常见的症状(分别为94%和71%)。一个或多个结节或肿块(82.35%)和实变(58.82%)是最常见的影像学异常,空洞形成大多发生在两周内。诊断的中位时间为25天。总体而言,PN的死亡率为18.75%,死亡在接受免疫抑制药物治疗的患者中最为常见。对于中枢神经系统受累的患者,死亡率为50%。

结论

PN仍然是一种罕见的机会性感染,主要影响免疫功能低下的患者。对于出现新的结节或肿块并在短时间内发展为空洞的免疫功能低下患者,早期诊断和及时治疗需要高度的临床怀疑指数。

https://cdn.ncbi.nlm.nih.gov/pmc/blobs/a628/3940923/c266af0480d2/pone.0090724.g001.jpg

文献AI研究员

20分钟写一篇综述,助力文献阅读效率提升50倍。

立即体验

用中文搜PubMed

大模型驱动的PubMed中文搜索引擎

马上搜索

文档翻译

学术文献翻译模型,支持多种主流文档格式。

立即体验