Suppr超能文献

基于细胞的再生策略治疗糖尿病皮肤创面:人脐带血单个核细胞与小牛血液血液透析液的比较研究。

Cell-based regenerative strategies for treatment of diabetic skin wounds, a comparative study between human umbilical cord blood-mononuclear cells and calves' blood haemodialysate.

机构信息

Biochemistry Department, Faculty of Pharmacy, Ain-Shams University, Cairo, Egypt.

Research Department, Holding Company for Biological Products and Vaccines (VACSERA), Giza, Egypt.

出版信息

PLoS One. 2014 Mar 18;9(3):e89853. doi: 10.1371/journal.pone.0089853. eCollection 2014.

Abstract

BACKGROUND

Diabetes-related foot problems are bound to increase. However, medical therapies for wound care are limited; therefore, the need for development of new treatment modalities to improve wound healing in diabetic patients is essential and constitutes an emerging field of investigation.

METHODS

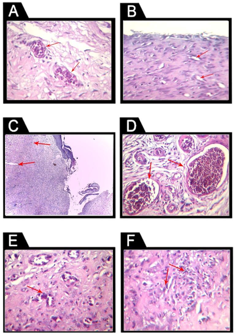
Animals were randomly divided into 8 groups (I-VIII) (32 rats/group), all were streptozotocin (STZ)-induced diabetics except groups III and VIII were non-diabetic controls. The study comprised two experiments; the first included 3 groups. Group I injected with mononuclear cells (MNCs) derived from human umbilical cord blood (HUCB), group II a diabetic control group (PBS i.v). The second experiment included 5 groups, groups IV, V, and VI received topical HUCB-haemodialysate (HD), calves' blood HD, and solcoseryl, respectively. Group VII was the diabetic control group (topical saline). Standard circular wounds were created on the back of rats. A sample of each type of HD was analyzed using the high performance liquid chromatography-electrospray ionization-mass spectrometry (HPLC-ESI-MS) system. Wound area measurement and photography were carried out every 4 days. Plasma glucose, catalase (CAT), malondialdehyde (MDA), nitric oxide (NO) and platelets count were assessed. Wound samples were excised for hydroxyproline (HP) and histopathological study.

RESULTS

Treatment with HUCB MNCs or HUCB-HD resulted in wound contraction, increased CAT, NO, platelets count, body weights, and HP content, and decreased MDA and glucose.

CONCLUSION

Systemic administration of HUCB MNCs and topical application of the newly prepared HUCB-HD or calves' blood HD significantly accelerated the rate of diabetic wound healing and would open the possibility of their future use in regenerative medicine.

摘要

背景

与糖尿病相关的足部问题势必会增加。然而,用于伤口护理的医学疗法有限;因此,需要开发新的治疗方式来改善糖尿病患者的伤口愈合,这是至关重要的,也是一个新兴的研究领域。

方法

动物被随机分为 8 组(I-VIII)(每组 32 只大鼠),除第 3 组和第 8 组外,所有组均为链脲佐菌素(STZ)诱导的糖尿病大鼠,第 3 组和第 8 组为非糖尿病对照大鼠。该研究包括两个实验;第一个实验包括 3 个组。第 I 组注射来源于人脐带血的单核细胞(MNCs),第 II 组为糖尿病对照(静脉注射 PBS)。第二个实验包括 5 个组,第 IV、V 和 VI 组分别接受人脐带血-血液透析液(HD)、小牛血 HD 和 solcoseryl 的局部治疗。第 VII 组为糖尿病对照(局部生理盐水)。在大鼠背部创建标准的圆形伤口。使用高效液相色谱-电喷雾电离质谱(HPLC-ESI-MS)系统分析每种 HD 样本。每隔 4 天测量和拍摄伤口面积。评估血浆葡萄糖、过氧化氢酶(CAT)、丙二醛(MDA)、一氧化氮(NO)和血小板计数。切除伤口样本以评估羟脯氨酸(HP)和组织病理学研究。

结果

用 HUCB MNCs 或 HUCB-HD 治疗可导致伤口收缩,增加 CAT、NO、血小板计数、体重和 HP 含量,降低 MDA 和血糖。

结论

全身给予 HUCB MNCs 和局部应用新制备的 HUCB-HD 或小牛血 HD 可显著加速糖尿病伤口愈合的速度,并为它们在再生医学中的未来应用开辟了可能性。

https://cdn.ncbi.nlm.nih.gov/pmc/blobs/653f/3958350/bb53effc95b0/pone.0089853.g001.jpg

文献AI研究员

20分钟写一篇综述,助力文献阅读效率提升50倍。

立即体验

用中文搜PubMed

大模型驱动的PubMed中文搜索引擎

马上搜索

文档翻译

学术文献翻译模型,支持多种主流文档格式。

立即体验