Liu Zhengni, Feng Xueyi, Wang Huichun, Ma Jun, Liu Wei, Cui Daxiang, Gu Yan, Tang Rui
Department of General Surgery, Shanghai Ninth People's Hospital, Hernia and Abdominal Wall Disease Center, Shanghai Jiao Tong University School of Medicine, Shanghai, People's Republic of China.
Department of General Surgery, Lu'an People's Hospital, Lu'an Affiliated Hospital of Anhui Medical University, Lu'an, Province Anhui, People's Republic of China.
Int J Nanomedicine. 2014 Mar 10;9:1275-86. doi: 10.2147/IJN.S58626. eCollection 2014.
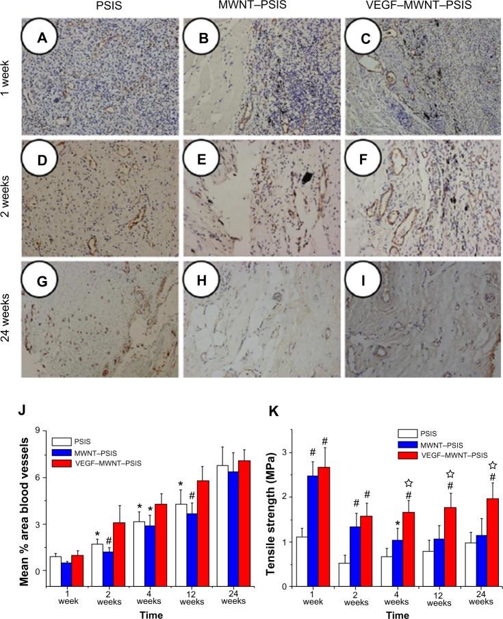
Insufficient early vascularization in biological meshes, resulting in limited host tissue incorporation, is thought to be the primary cause for the failure of abdominal wall defect repair after implantation. The sustained release of exogenous angiogenic factors from a biocompatible nanomaterial might be a way to overcome this limitation. In the study reported here, multiwalled carbon nanotubes (MWNT) were functionalized by plasma polymerization to deliver vascular endothelial growth factor165 (VEGF165). The novel VEGF165-controlled released system was incorporated into porcine small intestinal submucosa (PSIS) to construct a composite scaffold. Scaffolds incorporating varying amounts of VEGF165-loaded functionalized MWNT were characterized in vitro. At 5 weight percent MWNT, the scaffolds exhibited optimal properties and were implanted in rats to repair abdominal wall defects. PSIS scaffolds incorporating VEGF165-loaded MWNT (VEGF-MWNT-PSIS) contributed to early vascularization from 2-12 weeks postimplantation and obtained more effective collagen deposition and exhibited improved tensile strength at 24 weeks postimplantation compared to PSIS or PSIS scaffolds, incorporating MWNT without VEGF165 loading (MWNT-PSIS).
生物补片中早期血管化不足,导致宿主组织整合受限,被认为是植入后腹壁缺损修复失败的主要原因。从生物相容性纳米材料中持续释放外源性血管生成因子可能是克服这一限制的一种方法。在本文报道的研究中,通过等离子体聚合对多壁碳纳米管(MWNT)进行功能化处理,以递送血管内皮生长因子165(VEGF165)。将新型VEGF165控释系统整合到猪小肠黏膜下层(PSIS)中,构建复合支架。对包含不同量负载VEGF165的功能化MWNT的支架进行体外表征。在MWNT含量为5重量百分比时,支架表现出最佳性能,并植入大鼠体内以修复腹壁缺损。与PSIS或不含VEGF165负载的MWNT的PSIS支架(MWNT-PSIS)相比,包含负载VEGF165的MWNT的PSIS支架(VEGF-MWNT-PSIS)在植入后2至12周促进了早期血管化,在植入后24周获得了更有效的胶原蛋白沉积,并表现出改善的拉伸强度。