• 文献检索
  • 文档翻译
  • 深度研究
  • 学术资讯
  • Suppr Zotero 插件Zotero 插件
  • 邀请有礼
  • 套餐&价格
  • 历史记录
应用&插件
Suppr Zotero 插件Zotero 插件浏览器插件Mac 客户端Windows 客户端微信小程序
定价
高级版会员购买积分包购买API积分包
服务
文献检索文档翻译深度研究API 文档MCP 服务
关于我们
关于 Suppr公司介绍联系我们用户协议隐私条款
关注我们

Suppr 超能文献

核心技术专利:CN118964589B侵权必究
粤ICP备2023148730 号-1Suppr @ 2026

文献检索

告别复杂PubMed语法,用中文像聊天一样搜索,搜遍4000万医学文献。AI智能推荐,让科研检索更轻松。

立即免费搜索

文件翻译

保留排版,准确专业,支持PDF/Word/PPT等文件格式,支持 12+语言互译。

免费翻译文档

深度研究

AI帮你快速写综述,25分钟生成高质量综述,智能提取关键信息,辅助科研写作。

立即免费体验

嵌顿性食管旁疝继发急性胰腺炎:常见问题的罕见病因。

Acute pancreatitis secondary to an incarcerated paraoesophageal hernia: a rare cause for a common problem.

作者信息

Boyce Kathryn, Campbell William, Taylor Mark

机构信息

Department of Hepatobiliary Surgery, Belfast Trust, Mater Hospital, Belfast, Northern Ireland.

出版信息

Clin Med Insights Case Rep. 2014 Mar 11;7:25-7. doi: 10.4137/CCRep.S13079. eCollection 2014.

DOI:10.4137/CCRep.S13079
PMID:24653652
原文链接:https://pmc.ncbi.nlm.nih.gov/articles/PMC3956883/
Abstract

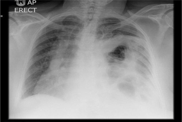
This is a rare case report of acute pancreatitis secondary to a massive incarcerated paraoesophageal hernia. The pathogenesis resulted from obstruction of the distal pancreatic duct after displacement of the pancreatic head and body into the thorax as part of a Type IV paraoesophageal hernia. Although this condition is rare, the patient made steady progress following laparotomy and open repair of hernia. She made a good recovery after prompt therapy, therefore, this report can be a guide to the diagnosis and treatment of similar conditions.

摘要

这是一例罕见的因巨大嵌顿性食管旁疝继发急性胰腺炎的病例报告。发病机制是作为IV型食管旁疝的一部分,胰头和胰体移位至胸腔后导致远端胰管梗阻。尽管这种情况罕见,但患者在剖腹手术和疝修补术后病情稳步好转。经过及时治疗,她恢复良好,因此,本报告可为类似病症的诊断和治疗提供指导。

https://cdn.ncbi.nlm.nih.gov/pmc/blobs/0451/3956883/9ea0b12e14a0/ccrep-7-2014-025f2.jpg
https://cdn.ncbi.nlm.nih.gov/pmc/blobs/0451/3956883/fc80a3c69c31/ccrep-7-2014-025f1.jpg
https://cdn.ncbi.nlm.nih.gov/pmc/blobs/0451/3956883/9ea0b12e14a0/ccrep-7-2014-025f2.jpg
https://cdn.ncbi.nlm.nih.gov/pmc/blobs/0451/3956883/fc80a3c69c31/ccrep-7-2014-025f1.jpg
https://cdn.ncbi.nlm.nih.gov/pmc/blobs/0451/3956883/9ea0b12e14a0/ccrep-7-2014-025f2.jpg

相似文献

1
Acute pancreatitis secondary to an incarcerated paraoesophageal hernia: a rare cause for a common problem.嵌顿性食管旁疝继发急性胰腺炎:常见问题的罕见病因。
Clin Med Insights Case Rep. 2014 Mar 11;7:25-7. doi: 10.4137/CCRep.S13079. eCollection 2014.
2
Unusual Presentation of Incarcerated True Parahiatal Hernia: Management of a Rare Clinical Entity.嵌顿性真性旁疝的罕见表现:一种罕见临床病症的处理
Cureus. 2024 Mar 28;16(3):e57152. doi: 10.7759/cureus.57152. eCollection 2024 Mar.
3
Massive hiatal hernia involving prolapse of the entire stomach and pancreas resulting in pancreatitis and bile duct dilatation: a case report.巨大食管裂孔疝伴整个胃和胰腺脱垂导致胰腺炎和胆管扩张:一例报告
Surg Case Rep. 2020 Jan 9;6(1):11. doi: 10.1186/s40792-020-0773-8.
4
Acute gastric outlet obstruction secondary to exclusive paraoesophageal small bowel herniation: a case report.
Acta Chir Belg. 2018 Apr;118(2):129-131. doi: 10.1080/00015458.2017.1316620. Epub 2017 Apr 19.
5
Small bowel obstruction secondary to paravesical hernia.膀胱旁疝继发小肠梗阻
Int J Surg Case Rep. 2016;26:156-8. doi: 10.1016/j.ijscr.2016.07.021. Epub 2016 Jul 29.
6
Incarcerated Spigelian Hernias: A Rare Cause of a High-grade Small Bowel Obstruction.闭孔疝:高位小肠梗阻的罕见病因
Cureus. 2020 Mar 24;12(3):e7397. doi: 10.7759/cureus.7397.
7
Hiatus Hernia: A Rare Cause of Acute Pancreatitis.食管裂孔疝:急性胰腺炎的罕见病因。
Case Rep Med. 2016;2016:2531925. doi: 10.1155/2016/2531925. Epub 2016 Mar 15.
8
Bochdalek hernia masquerading as severe acute pancreatitis during the third trimester of pregnancy: A case report.妊娠晚期伪装成重症急性胰腺炎的博赫dalek疝:一例报告。
World J Clin Cases. 2020 Oct 6;8(19):4660-4666. doi: 10.12998/wjcc.v8.i19.4660.
9
Acute pancreatitis secondary to incarcerated paraesophageal hernia.嵌顿性食管旁疝继发急性胰腺炎
Surgery. 1994 May;115(5):653-5.
10
Fast-track giant paraoesophageal hernia repair using a simplified laparoscopic technique.
Langenbecks Arch Surg. 2006 Feb;391(1):38-42. doi: 10.1007/s00423-005-0008-2. Epub 2006 Jan 4.

引用本文的文献

1
Hiatal Hernia with Prolapse of the Pancreas Causing Bile Duct Stricture and Liver Function Disorders: A Case Report and Literature Review.食管裂孔疝伴胰腺脱垂致胆管狭窄和肝功能障碍:病例报告及文献复习。
Intern Med. 2023 May 15;62(10):1473-1478. doi: 10.2169/internalmedicine.0537-22. Epub 2022 Oct 5.
2
Application of laparoscopic distal pancreatectomy for normal anatomy after hiatal hernia repair: A case report.腹腔镜远端胰腺切除术在食管裂孔疝修补术后正常解剖结构中的应用:病例报告
Clin Case Rep. 2022 May 12;10(5):e05832. doi: 10.1002/ccr3.5832. eCollection 2022 May.
3
Pancreatic pseudocyst with mediastinal extension: a rare cause of hiatal hernia.

本文引用的文献

1
Giant hiatal hernia with biliopancreatic duct dilatation.巨大食管裂孔疝伴胆胰管扩张。
Am Surg. 2012 Dec;78(12):E534-5.
2
Paraoesophageal herniation: a review.食管裂孔疝:综述。
Surgeon. 2011 Apr;9(2):104-11. doi: 10.1016/j.surge.2010.10.010. Epub 2010 Dec 3.
3
Giant hiatal hernia.巨大食管裂孔疝。
伴有纵隔延伸的胰腺假性囊肿:食管裂孔疝的罕见病因。
Oxf Med Case Reports. 2021 Sep 13;2021(9):omab068. doi: 10.1093/omcr/omab068. eCollection 2021 Sep.
4
Laparoscopic Hiatal Hernia Repair in Patients with an Intrathoracic Pancreas: Case Series and a Review of Literature.胸腔内胰腺患者的腹腔镜食管裂孔疝修补术:病例系列及文献综述
Cureus. 2020 Feb 28;12(2):e7125. doi: 10.7759/cureus.7125.
5
Massive hiatal hernia involving prolapse of the entire stomach and pancreas resulting in pancreatitis and bile duct dilatation: a case report.巨大食管裂孔疝伴整个胃和胰腺脱垂导致胰腺炎和胆管扩张:一例报告
Surg Case Rep. 2020 Jan 9;6(1):11. doi: 10.1186/s40792-020-0773-8.
6
Rare sequalae of hiatal hernia causing pancreatitis and hepatitis: A case report.食管裂孔疝导致胰腺炎和肝炎的罕见后遗症:一例报告。
World J Gastrointest Endosc. 2019 Mar 16;11(3):249-255. doi: 10.4253/wjge.v11.i3.249.
7
Bochdalek Hernia in an Adult with Upper Gastrointestinal Bleeding.一名患有上消化道出血的成人的博赫dalek疝。
Case Rep Gastroenterol. 2017 May 17;11(2):284-292. doi: 10.1159/000462968. eCollection 2017 May-Aug.
8
Massive hiatus hernia complicated by jaundice.巨大裂孔疝合并黄疸
J Surg Case Rep. 2015 Jul 28;2015(7):rjv087. doi: 10.1093/jscr/rjv087.
Ann Thorac Surg. 2010 Jun;89(6):S2168-73. doi: 10.1016/j.athoracsur.2010.03.022.
4
Paraesophageal hernia: clinical presentation, evaluation, and management controversies.食管裂孔疝:临床表现、评估和治疗争议。
Thorac Surg Clin. 2009 Nov;19(4):473-84. doi: 10.1016/j.thorsurg.2009.08.006.
5
Management of acute paraesophageal hernia.急性食管旁疝的管理
Surg Endosc. 2009 Feb;23(2):255-9. doi: 10.1007/s00464-008-0190-8. Epub 2008 Oct 15.
6
Epidemiology, aetiology and outcome of acute and chronic pancreatitis: An update.急性和慢性胰腺炎的流行病学、病因及预后:最新进展
Best Pract Res Clin Gastroenterol. 2008;22(1):45-63. doi: 10.1016/j.bpg.2007.10.007.
7
Pancreatic herniation through the gastroesophageal hiatus: magnetic resonance imaging, magnetic resonance cholangiopancreatography, and computed tomography evaluation.经胃食管裂孔的胰腺疝:磁共振成像、磁共振胰胆管造影及计算机断层扫描评估
J Comput Assist Tomogr. 2003 Jul-Aug;27(4):616-8. doi: 10.1097/00004728-200307000-00029.
8
Asymptomatic diaphragmatic hiatal herniation of the pancreas.无症状性胰腺膈食管裂孔疝
J Comput Assist Tomogr. 2002 Jul-Aug;26(4):524-5. doi: 10.1097/00004728-200207000-00008.
9
Hiatal hernia with pancreatic volvulus: a rare cause of acute pancreatitis.食管裂孔疝合并胰腺扭转:急性胰腺炎的罕见病因。
AJR Am J Roentgenol. 2001 Aug;177(2):373-4. doi: 10.2214/ajr.177.2.1770373.
10
Acute pancreatitis secondary to incarcerated paraesophageal hernia.嵌顿性食管旁疝继发急性胰腺炎
Surgery. 1994 May;115(5):653-5.