• 文献检索
  • 文档翻译
  • 深度研究
  • 学术资讯
  • Suppr Zotero 插件Zotero 插件
  • 邀请有礼
  • 套餐&价格
  • 历史记录
应用&插件
Suppr Zotero 插件Zotero 插件浏览器插件Mac 客户端Windows 客户端微信小程序
定价
高级版会员购买积分包购买API积分包
服务
文献检索文档翻译深度研究API 文档MCP 服务
关于我们
关于 Suppr公司介绍联系我们用户协议隐私条款
关注我们

Suppr 超能文献

核心技术专利:CN118964589B侵权必究
粤ICP备2023148730 号-1Suppr @ 2026

文献检索

告别复杂PubMed语法,用中文像聊天一样搜索,搜遍4000万医学文献。AI智能推荐,让科研检索更轻松。

立即免费搜索

文件翻译

保留排版,准确专业,支持PDF/Word/PPT等文件格式,支持 12+语言互译。

免费翻译文档

深度研究

AI帮你快速写综述,25分钟生成高质量综述,智能提取关键信息,辅助科研写作。

立即免费体验

食管裂孔疝:急性胰腺炎的罕见病因。

Hiatus Hernia: A Rare Cause of Acute Pancreatitis.

作者信息

Patel Shruti, Shahzad Ghulamullah, Jawairia Mahreema, Subramani Krishnaiyer, Viswanathan Prakash, Mustacchia Paul

机构信息

Department of Internal Medicine, Nassau University Medical Center, East Meadow, NY 11554, USA.

Department of Internal Medicine, Division of Gastroenterology and Hepatology, Nassau University Medical Center, East Meadow, NY 11554, USA.

出版信息

Case Rep Med. 2016;2016:2531925. doi: 10.1155/2016/2531925. Epub 2016 Mar 15.

DOI:10.1155/2016/2531925
PMID:27066077
原文链接:https://pmc.ncbi.nlm.nih.gov/articles/PMC4811074/
Abstract

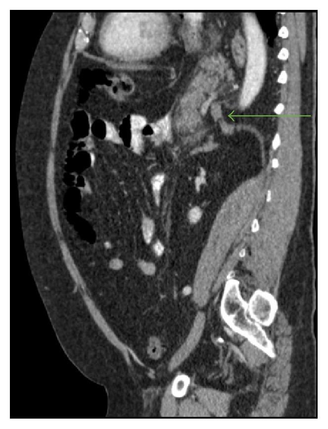
Hiatal hernia (HH) is the herniation of elements of the abdominal cavity through the esophageal hiatus of the diaphragm. A giant HH with pancreatic prolapse is very rare and its causing pancreatitis is an even more extraordinary condition. We describe a case of a 65-year-old man diagnosed with acute pancreatitis secondary to pancreatic herniation. In these cases, acute pancreatitis may be caused by the diaphragmatic crura impinging upon the pancreas and leading to repetitive trauma as it crosses the hernia; intermittent folding of the main pancreatic duct; ischemia associated with stretching at its vascular pedicle; or total pancreatic incarceration. Asymptomatic hernia may not require any treatment, while multiple studies have supported the recommendation of early elective repair as a safer route in symptomatic patients. In summary, though rare, pancreatic herniation should be considered as a cause of acute pancreatitis. A high index of suspicion for complications is warranted in cases like these.

摘要

食管裂孔疝(HH)是腹腔内容物通过膈肌食管裂孔的疝出。巨大食管裂孔疝合并胰腺脱垂非常罕见,其引发胰腺炎更是一种极为特殊的情况。我们描述了一例65岁男性患者,诊断为胰腺疝出继发急性胰腺炎。在这些病例中,急性胰腺炎可能由以下原因引起:膈肌脚压迫胰腺,当其穿过疝时导致反复创伤;主胰管间歇性折叠;与血管蒂拉伸相关的缺血;或胰腺完全嵌顿。无症状疝可能无需任何治疗,而多项研究支持对有症状患者早期择期修复是更安全的途径这一建议。总之,虽然罕见,但胰腺疝出应被视为急性胰腺炎的一个病因。对于此类病例,有必要对并发症保持高度怀疑指数。

https://cdn.ncbi.nlm.nih.gov/pmc/blobs/9ece/4811074/2abf4e5aafd8/CRIM2016-2531925.002.jpg
https://cdn.ncbi.nlm.nih.gov/pmc/blobs/9ece/4811074/3f23bcb14a43/CRIM2016-2531925.001.jpg
https://cdn.ncbi.nlm.nih.gov/pmc/blobs/9ece/4811074/2abf4e5aafd8/CRIM2016-2531925.002.jpg
https://cdn.ncbi.nlm.nih.gov/pmc/blobs/9ece/4811074/3f23bcb14a43/CRIM2016-2531925.001.jpg
https://cdn.ncbi.nlm.nih.gov/pmc/blobs/9ece/4811074/2abf4e5aafd8/CRIM2016-2531925.002.jpg

相似文献

1
Hiatus Hernia: A Rare Cause of Acute Pancreatitis.食管裂孔疝:急性胰腺炎的罕见病因。
Case Rep Med. 2016;2016:2531925. doi: 10.1155/2016/2531925. Epub 2016 Mar 15.
2
Massive hiatal hernia involving prolapse of the entire stomach and pancreas resulting in pancreatitis and bile duct dilatation: a case report.巨大食管裂孔疝伴整个胃和胰腺脱垂导致胰腺炎和胆管扩张:一例报告
Surg Case Rep. 2020 Jan 9;6(1):11. doi: 10.1186/s40792-020-0773-8.
3
Transhiatal Herniation of the Pancreas: A Rare Cause of Acute Pancreatitis.胰腺经膈疝:急性胰腺炎的罕见病因
ACG Case Rep J. 2017 May 10;4:e66. doi: 10.14309/crj.2017.66. eCollection 2017.
4
Rare sequalae of hiatal hernia causing pancreatitis and hepatitis: A case report.食管裂孔疝导致胰腺炎和肝炎的罕见后遗症:一例报告。
World J Gastrointest Endosc. 2019 Mar 16;11(3):249-255. doi: 10.4253/wjge.v11.i3.249.
5
Hiatal Hernia with Prolapse of the Pancreas Causing Bile Duct Stricture and Liver Function Disorders: A Case Report and Literature Review.食管裂孔疝伴胰腺脱垂致胆管狭窄和肝功能障碍:病例报告及文献复习。
Intern Med. 2023 May 15;62(10):1473-1478. doi: 10.2169/internalmedicine.0537-22. Epub 2022 Oct 5.
6
Pancreatic herniation: a rare cause of acute pancreatitis?胰腺疝:急性胰腺炎的罕见病因?
BMJ Case Rep. 2013 Dec 16;2013:bcr2013201979. doi: 10.1136/bcr-2013-201979.
7
The uncommon diagnosis of hiatal hernia associated pancreatitis: A case report.食管裂孔疝相关性胰腺炎的罕见诊断:一例报告。
Int J Surg Case Rep. 2022 Jul;96:107328. doi: 10.1016/j.ijscr.2022.107328. Epub 2022 Jun 20.
8
Acute pancreatitis secondary to incarcerated paraesophageal hernia.嵌顿性食管旁疝继发急性胰腺炎
Surgery. 1994 May;115(5):653-5.
9
Transient pancreatic hiatal herniation causing acute pancreatitis--a literature review.短暂性胰腺裂孔疝致急性胰腺炎——文献综述
Hepatogastroenterology. 2010 Jan-Feb;57(97):165-6.
10
Large hiatal hernia with pancreatic body herniation: Case-report.巨大食管裂孔疝伴胰体疝入:病例报告
Ann Med Surg (Lond). 2018 Feb 22;28:20-22. doi: 10.1016/j.amsu.2018.02.006. eCollection 2018 Apr.

引用本文的文献

1
Sigmoid Volvulus in the Setting of Type 4 Hiatal Hernia: An Uncommon Presentation and Literature Review.4型食管裂孔疝背景下的乙状结肠扭转:一种罕见表现及文献综述
Cureus. 2024 Jul 1;16(7):e63595. doi: 10.7759/cureus.63595. eCollection 2024 Jul.
2
Hiatal Hernia with Prolapse of the Pancreas Causing Bile Duct Stricture and Liver Function Disorders: A Case Report and Literature Review.食管裂孔疝伴胰腺脱垂致胆管狭窄和肝功能障碍:病例报告及文献复习。
Intern Med. 2023 May 15;62(10):1473-1478. doi: 10.2169/internalmedicine.0537-22. Epub 2022 Oct 5.
3
Application of laparoscopic distal pancreatectomy for normal anatomy after hiatal hernia repair: A case report.

本文引用的文献

1
Intrathoracic major duodenal papilla with transhiatal herniation of the pancreas and duodenum: A case report and review of the literature.胸腔内巨大十二指肠乳头伴胰腺和十二指肠经食管裂孔疝出:病例报告及文献复习。
World J Gastrointest Surg. 2013 Jun 27;5(6):202-6. doi: 10.4240/wjgs.v5.i6.202.
2
Giant hiatal hernia.巨大食管裂孔疝。
Ann Thorac Surg. 2010 Jun;89(6):S2168-73. doi: 10.1016/j.athoracsur.2010.03.022.
3
Paraesophageal hernia: clinical presentation, evaluation, and management controversies.食管裂孔疝:临床表现、评估和治疗争议。
腹腔镜远端胰腺切除术在食管裂孔疝修补术后正常解剖结构中的应用:病例报告
Clin Case Rep. 2022 May 12;10(5):e05832. doi: 10.1002/ccr3.5832. eCollection 2022 May.
4
Diaphragmatic hernia a rare cause of acute pancreatitis: Case report.膈疝是急性胰腺炎的罕见病因:病例报告。
Radiol Case Rep. 2021 Dec 17;17(3):572-576. doi: 10.1016/j.radcr.2021.11.042. eCollection 2022 Mar.
5
Pancreatic pseudocyst with mediastinal extension: a rare cause of hiatal hernia.伴有纵隔延伸的胰腺假性囊肿:食管裂孔疝的罕见病因。
Oxf Med Case Reports. 2021 Sep 13;2021(9):omab068. doi: 10.1093/omcr/omab068. eCollection 2021 Sep.
6
Massive post-traumatic neglicted diaphragmatic hernia revealed by necrotizing pancreatitis, A case report according scare guidelines.坏死性胰腺炎并发巨大创伤后迟发性膈疝:1例遵循SCARE指南的病例报告
Ann Med Surg (Lond). 2021 Jul 28;68:102592. doi: 10.1016/j.amsu.2021.102592. eCollection 2021 Aug.
7
Late-onset traumatic diaphragmatic hernia associated with acute pancreatitis: A case report.迟发性创伤性膈疝合并急性胰腺炎:一例报告
Medicine (Baltimore). 2020 Oct 9;99(41):e22482. doi: 10.1097/MD.0000000000022482.
8
Massive hiatal hernia involving prolapse of the entire stomach and pancreas resulting in pancreatitis and bile duct dilatation: a case report.巨大食管裂孔疝伴整个胃和胰腺脱垂导致胰腺炎和胆管扩张:一例报告
Surg Case Rep. 2020 Jan 9;6(1):11. doi: 10.1186/s40792-020-0773-8.
9
Transhiatal Herniation as the Cause of Acute Pancreatitis After Toupet Fundoplication.经腹食管裂孔疝作为托佩特胃底折叠术后急性胰腺炎的病因
ACG Case Rep J. 2019 Aug 14;6(8):e00156. doi: 10.14309/crj.0000000000000156. eCollection 2019 Aug.
10
Voluminous paraumbilical hernia containing the pancreas - An unusual cause of acute pancreatitis: A case report.巨大脐旁疝合并胰腺——急性胰腺炎的罕见病因:一例报告
Ann Med Surg (Lond). 2019 Jul 10;45:6-10. doi: 10.1016/j.amsu.2019.07.017. eCollection 2019 Sep.
Thorac Surg Clin. 2009 Nov;19(4):473-84. doi: 10.1016/j.thorsurg.2009.08.006.
4
Management of giant paraesophageal hernia.巨大食管旁疝的管理
Minerva Chir. 2009 Apr;64(2):159-68.
5
Predictive factors for morbidity and mortality in patients undergoing laparoscopic paraesophageal hernia repair: age, ASA score and operation type influence morbidity.腹腔镜食管旁疝修补术患者发病和死亡的预测因素:年龄、美国麻醉医师协会(ASA)评分和手术类型影响发病率。
World J Surg. 2009 May;33(5):980-5. doi: 10.1007/s00268-009-9958-9.
6
Outcomes of surgical treatment of intrathoracic stomach.胸内胃手术治疗的结果
Dis Esophagus. 2009;22(3):284-8. doi: 10.1111/j.1442-2050.2008.00919.x. Epub 2009 Jan 13.
7
Fatal complications of adult paraesophageal hernia: a population-based study.成人食管旁疝的致命并发症:一项基于人群的研究。
J Thorac Cardiovasc Surg. 2009 Feb;137(2):419-24. doi: 10.1016/j.jtcvs.2008.05.042. Epub 2008 Sep 6.
8
Approaches to the diagnosis and grading of hiatal hernia.食管裂孔疝的诊断与分级方法。
Best Pract Res Clin Gastroenterol. 2008;22(4):601-16. doi: 10.1016/j.bpg.2007.12.007.
9
Diaphragmatic hernia: diagnostic approaches with review of the literature.膈肌疝:文献综述下的诊断方法
Eur J Radiol. 2005 Jun;54(3):448-59. doi: 10.1016/j.ejrad.2004.09.008.
10
Asymptomatic diaphragmatic hiatal herniation of the pancreas.无症状性胰腺膈食管裂孔疝
J Comput Assist Tomogr. 2002 Jul-Aug;26(4):524-5. doi: 10.1097/00004728-200207000-00008.