1] Department of Physiology, David Geffen School of Medicine, University of California Los Angeles, Los Angeles, California, USA. [2].
1] Department of Neurobiology, David Geffen School of Medicine, University of California Los Angeles, Los Angeles, California, USA. [2].
Nat Neurosci. 2014 May;17(5):694-703. doi: 10.1038/nn.3691. Epub 2014 Mar 30.
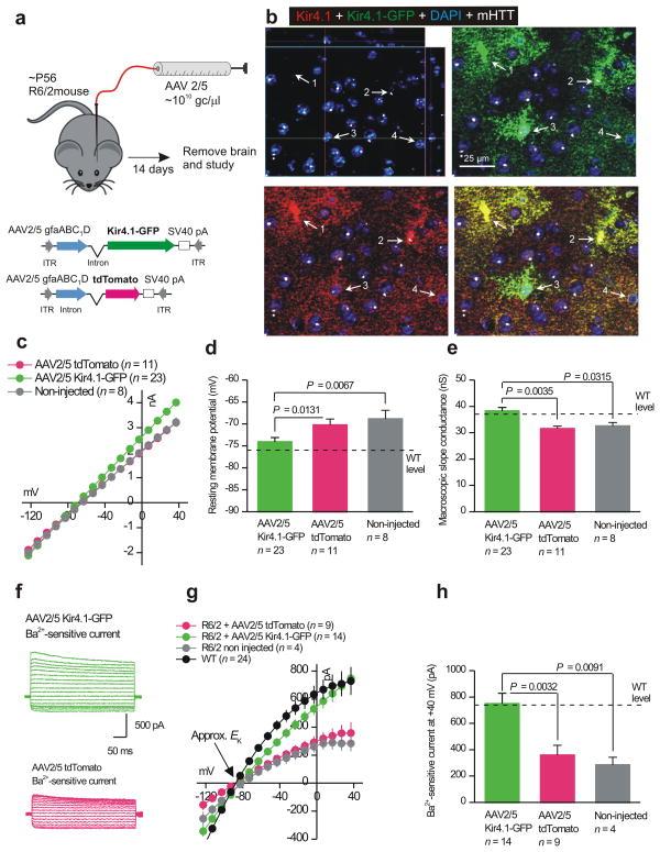
Huntington's disease (HD) is characterized by striatal medium spiny neuron (MSN) dysfunction, but the underlying mechanisms remain unclear. We explored roles for astrocytes, in which mutant huntingtin is expressed in HD patients and mouse models. We found that symptom onset in R6/2 and Q175 HD mouse models was not associated with classical astrogliosis, but was associated with decreased Kir4.1 K(+) channel functional expression, leading to elevated in vivo striatal extracellular K(+), which increased MSN excitability in vitro. Viral delivery of Kir4.1 channels to striatal astrocytes restored Kir4.1 function, normalized extracellular K(+), ameliorated aspects of MSN dysfunction, prolonged survival and attenuated some motor phenotypes in R6/2 mice. These findings indicate that components of altered MSN excitability in HD may be caused by heretofore unknown disturbances of astrocyte-mediated K(+) homeostasis, revealing astrocytes and Kir4.1 channels as therapeutic targets.
亨廷顿病(HD)的特征是纹状体中型棘突神经元(MSN)功能障碍,但潜在机制仍不清楚。我们研究了星形胶质细胞的作用,在 HD 患者和小鼠模型中表达突变亨廷顿蛋白。我们发现,R6/2 和 Q175 HD 小鼠模型的症状发作与经典星形胶质细胞增生无关,但与 Kir4.1 K(+)通道功能表达减少有关,导致体内纹状体细胞外 K(+)升高,从而增加 MSN 的体外兴奋性。病毒将 Kir4.1 通道递送至纹状体星形胶质细胞中,恢复 Kir4.1 功能,使细胞外 K(+)正常化,改善 MSN 功能障碍的某些方面,延长 R6/2 小鼠的存活并减轻其部分运动表型。这些发现表明,HD 中改变的 MSN 兴奋性的组成部分可能是由迄今为止未知的星形胶质细胞介导的 K(+)动态平衡紊乱引起的,揭示了星形胶质细胞和 Kir4.1 通道作为治疗靶点。