Suppr超能文献

埃布斯坦畸形与21三体综合征:一种罕见的关联。

Ebstein anomaly and Trisomy 21: A rare association.

作者信息

Siehr Stephanie L, Punn Rajesh, Priest James R, Lowenthal Alexander

机构信息

Department of Pediatrics, Division of Pediatric Cardiology, Stanford University, Lucile Packard Children's Hospital, Palo Alto, California, USA.

出版信息

Ann Pediatr Cardiol. 2014 Jan;7(1):67-9. doi: 10.4103/0974-2069.126569.

Abstract

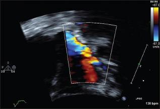
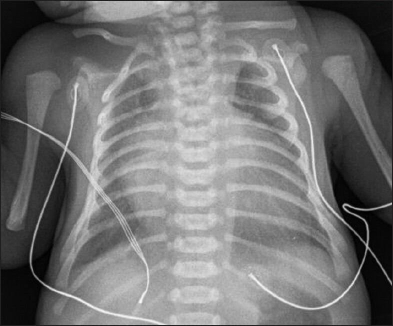
This is a case report of a patient with Trisomy 21 with Ebstein anomaly, a ventricular septal defect, and acquired pulmonary vein stenosis; a rare combination, diagnosed during a routine neonatal examination.

摘要

这是一份关于一名患有21三体综合征合并埃布斯坦畸形、室间隔缺损和后天性肺静脉狭窄患者的病例报告,这种罕见的组合在常规新生儿检查中被诊断出来。

https://cdn.ncbi.nlm.nih.gov/pmc/blobs/d9a3/3959069/98cbc3e55fcd/APC-7-67-g001.jpg

文献检索

告别复杂PubMed语法,用中文像聊天一样搜索,搜遍4000万医学文献。AI智能推荐,让科研检索更轻松。

立即免费搜索

文件翻译

保留排版,准确专业,支持PDF/Word/PPT等文件格式,支持 12+语言互译。

免费翻译文档

深度研究

AI帮你快速写综述,25分钟生成高质量综述,智能提取关键信息,辅助科研写作。

立即免费体验