Suppr超能文献

缺血性中风的一种罕见病因——脑空气栓塞。

An unusual cause of ischemic stroke - Cerebral air embolism.

作者信息

Suri Vinit, Gupta Rohan, Sharma Girraj, Suri Kunal

机构信息

Sr. Consultant Neurology, Indraprastha Apollo Hospital, Sarita Vihar, New Delhi, India.

Neuro Registrar, Indraprastha Apollo Hospital, Sarita Vihar, New Delhi, India.

出版信息

Ann Indian Acad Neurol. 2014 Jan;17(1):89-91. doi: 10.4103/0972-2327.128562.

Abstract

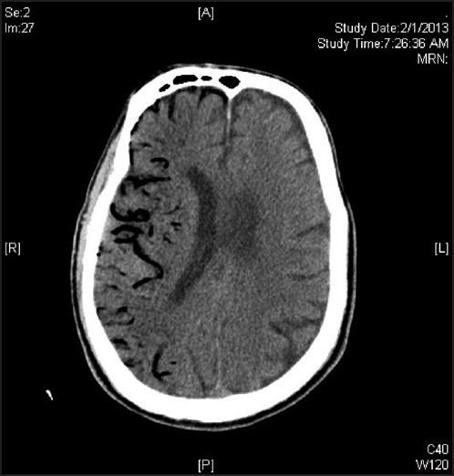
Air embolism is a preventable, often undiagnosed but potentially treatable cause of ischemic stroke with a high morbidity and mortality. It is usually iatrogenic ocurring especially in patients in ICU setting. We describe the case and neuroimaging of a patient with ischaemic stroke due to air embolism during manipulation of central venous line. We also review the literature with respect to aetiology, incidence pathophysiology, diagnosis, and treatment options for venous and air embolism. Cerebral air embolism should be considered in patients with sudden neurological deterioration after central venous or arterial manipulations or certain neurological procedures. Prevention, as well as early diagnosis and management, may reduce morbidity and mortality.

摘要

空气栓塞是缺血性卒中可预防、常未被诊断但可能可治疗的病因,具有高发病率和死亡率。它通常是医源性的,尤其发生在重症监护病房的患者中。我们描述了一例在中心静脉导管操作过程中因空气栓塞导致缺血性卒中患者的病例及神经影像学表现。我们还回顾了关于静脉和空气栓塞的病因、发病率、病理生理学、诊断及治疗选择的文献。对于在中心静脉或动脉操作或某些神经手术后突然出现神经功能恶化的患者,应考虑脑空气栓塞。预防以及早期诊断和管理可能会降低发病率和死亡率。

https://cdn.ncbi.nlm.nih.gov/pmc/blobs/813d/3992779/3008a859f68f/AIAN-17-89-g001.jpg

文献AI研究员

20分钟写一篇综述,助力文献阅读效率提升50倍。

立即体验

用中文搜PubMed

大模型驱动的PubMed中文搜索引擎

马上搜索

文档翻译

学术文献翻译模型,支持多种主流文档格式。

立即体验