• 文献检索
  • 文档翻译
  • 深度研究
  • 学术资讯
  • Suppr Zotero 插件Zotero 插件
  • 邀请有礼
  • 套餐&价格
  • 历史记录
应用&插件
Suppr Zotero 插件Zotero 插件浏览器插件Mac 客户端Windows 客户端微信小程序
定价
高级版会员购买积分包购买API积分包
服务
文献检索文档翻译深度研究API 文档MCP 服务
关于我们
关于 Suppr公司介绍联系我们用户协议隐私条款
关注我们

Suppr 超能文献

核心技术专利:CN118964589B侵权必究
粤ICP备2023148730 号-1Suppr @ 2026

文献检索

告别复杂PubMed语法,用中文像聊天一样搜索,搜遍4000万医学文献。AI智能推荐,让科研检索更轻松。

立即免费搜索

文件翻译

保留排版,准确专业,支持PDF/Word/PPT等文件格式,支持 12+语言互译。

免费翻译文档

深度研究

AI帮你快速写综述,25分钟生成高质量综述,智能提取关键信息,辅助科研写作。

立即免费体验

伴有囊性变的外生性胃肠道间质瘤:一例报告

Exophytic gastrointestinal stromal tumor with cystic changes: A case report.

作者信息

Zhu Chun-Chao, Liu Ye, Zhao Gang

机构信息

Department of Gastrointestinal Surgery, Ren Ji Hospital, School of Medicine, Shanghai Jiao Tong University, Shanghai 200127, P.R. China.

出版信息

Oncol Lett. 2014 May;7(5):1427-1429. doi: 10.3892/ol.2014.1954. Epub 2014 Mar 7.

DOI:10.3892/ol.2014.1954
PMID:24765150
原文链接:https://pmc.ncbi.nlm.nih.gov/articles/PMC3997669/
Abstract

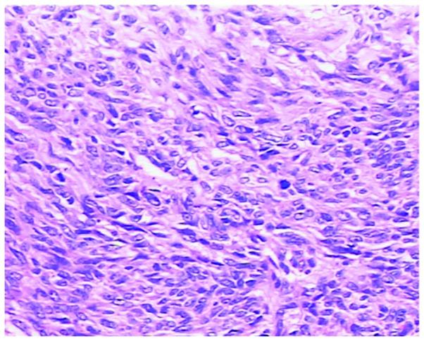
Gastrointestinal stromal tumor (GIST) is the most common type of mesenchymal tumor in the gastrointestinal tract. A large tumor size often means a poor prognosis. This report presents a case of a large exophytic GIST with cyst change, for which the outcome of favourable prognosis was unexpected. A 78-year-old male presented with abdominal distension and a poor appetite, and was primarily diagnosed with a pancreatic mass. Abdominal ultrasonography, computed tomography and magnetic resonance imaging revealed a tumor in the body of the pancreas, which was closely attached to the gastric wall. Surgery was performed to excise the tumor. The tumor originated from the gastric cells and was ~17×15×16 cm in size. A diagnosis of GIST was confirmed by histomorphological and immunohistochemical findings. According to the postoperative findings, the tumor was classified to be in the high-risk group, for which the suggested treatment is imatinib. However, the patient was not treated with imatinib and, three years following surgery, the patient is alive with no evidence of tumor recurrence.

摘要

胃肠道间质瘤(GIST)是胃肠道最常见的间叶性肿瘤类型。肿瘤体积大往往意味着预后不良。本报告介绍了一例伴有囊肿改变的巨大外生性GIST病例,其预后良好,出人意料。一名78岁男性因腹胀、食欲差就诊,初步诊断为胰腺肿块。腹部超声、计算机断层扫描和磁共振成像显示胰腺体部有一个肿瘤,与胃壁紧密相连。行手术切除肿瘤。肿瘤起源于胃细胞,大小约为17×15×16 cm。组织形态学和免疫组化结果确诊为GIST。根据术后检查结果,该肿瘤被归类为高危组,建议的治疗方法是伊马替尼。然而,该患者未接受伊马替尼治疗,术后三年仍存活,无肿瘤复发迹象。

https://cdn.ncbi.nlm.nih.gov/pmc/blobs/f54a/3997669/ccff5ef03679/OL-07-05-1427-g03.jpg
https://cdn.ncbi.nlm.nih.gov/pmc/blobs/f54a/3997669/512b09adb767/OL-07-05-1427-g00.jpg
https://cdn.ncbi.nlm.nih.gov/pmc/blobs/f54a/3997669/883398400522/OL-07-05-1427-g01.jpg
https://cdn.ncbi.nlm.nih.gov/pmc/blobs/f54a/3997669/8cf005a096ff/OL-07-05-1427-g02.jpg
https://cdn.ncbi.nlm.nih.gov/pmc/blobs/f54a/3997669/ccff5ef03679/OL-07-05-1427-g03.jpg
https://cdn.ncbi.nlm.nih.gov/pmc/blobs/f54a/3997669/512b09adb767/OL-07-05-1427-g00.jpg
https://cdn.ncbi.nlm.nih.gov/pmc/blobs/f54a/3997669/883398400522/OL-07-05-1427-g01.jpg
https://cdn.ncbi.nlm.nih.gov/pmc/blobs/f54a/3997669/8cf005a096ff/OL-07-05-1427-g02.jpg
https://cdn.ncbi.nlm.nih.gov/pmc/blobs/f54a/3997669/ccff5ef03679/OL-07-05-1427-g03.jpg

相似文献

1
Exophytic gastrointestinal stromal tumor with cystic changes: A case report.伴有囊性变的外生性胃肠道间质瘤:一例报告
Oncol Lett. 2014 May;7(5):1427-1429. doi: 10.3892/ol.2014.1954. Epub 2014 Mar 7.
2
Giant gastric gastrointestinal stromal tumor with severe peritoneal dissemination controlled by imatinib therapy following debulking surgery: a case report.减瘤手术后伊马替尼治疗控制的伴有严重腹膜播散的巨大胃胃肠道间质瘤:一例报告
J Med Case Rep. 2017 Feb 7;11(1):33. doi: 10.1186/s13256-017-1215-5.
3
Atypical presentation of a gastric stromal tumor masquerading as a giant intraabdominal cyst: A case report.一例伪装成巨大腹腔内囊肿的胃间质瘤非典型表现:病例报告。
Oncol Lett. 2016 Oct;12(4):3018-3020. doi: 10.3892/ol.2016.4968. Epub 2016 Aug 8.
4
Atypical Presentation of Gastrointestinal Stromal Tumor as Multiple Intra-Abdominal Cysts: A Case Report.胃肠道间质瘤表现为腹腔内多发囊肿的非典型病例报告
Cureus. 2020 May 6;12(5):e7999. doi: 10.7759/cureus.7999.
5
Unusual sonographic appearance of a gastrointestinal stromal tumor presenting as a large multilocular cystic mass.表现为巨大多房囊性肿块的胃肠道间质瘤的异常超声表现。
J Clin Ultrasound. 2004 May;32(4):200-3. doi: 10.1002/jcu.20010.
6
An atypically localized gastrointestinal stromal tumor: a case report of pancreas gastrointestinal stromal tumor.一例非典型定位的胃肠道间质瘤:胰腺胃肠道间质瘤病例报告
Ulus Cerrahi Derg. 2013 Mar 1;29(1):42-4. doi: 10.5152/UCD.2013.11. eCollection 2013.
7
Large cystic-based gastrointestinal stromal tumor: A case report.以大囊肿为基础的胃肠道间质瘤:一例报告。
Oncol Lett. 2014 Mar;7(3):846-848. doi: 10.3892/ol.2014.1798. Epub 2014 Jan 15.
8
A case of primary gastrointestinal stromal tumor of the liver.一例原发性肝脏胃肠道间质瘤
Radiol Case Rep. 2023 Oct 17;18(12):4533-4536. doi: 10.1016/j.radcr.2023.08.108. eCollection 2023 Dec.
9
Exophytic pedunculated gastrointestinal stromal tumor with remarkable cystic change.具有显著囊性变的外生性带蒂胃肠道间质瘤。
J Gastroenterol. 2003;38(12):1181-4. doi: 10.1007/s00535-003-1228-2.
10
Synchronous Large Gastrointestinal Stromal Tumor and Adenocarcinoma in the Stomach Treated with Imatinib Mesylate Followed by Total Gastrectomy.胃同步性大胃肠道间质瘤和腺癌经甲磺酸伊马替尼治疗后行全胃切除术
Anticancer Res. 2016 Apr;36(4):1855-9.

引用本文的文献

1
Giant gastric gastrointestinal stromal tumor: A case report.巨大胃胃肠道间质瘤:一例报告。
Int J Surg Case Rep. 2025 Jun;131:111420. doi: 10.1016/j.ijscr.2025.111420. Epub 2025 May 9.
2
Rare serosal cystic gastric gastrointestinal stromal tumor with extensive intestinal metaplasia in an adherent gastric mucosa; a case report in a 65-year-old male.罕见的伴有粘连胃黏膜广泛肠化生的浆膜下囊性胃胃肠道间质瘤;一名65岁男性病例报告
J Surg Case Rep. 2023 May 25;2023(5):rjad241. doi: 10.1093/jscr/rjad241. eCollection 2023 May.
3
Case report: Rare isolated cystic hepatic metastasis of a patient with squamous cell lung carcinoma history and the prognosis.

本文引用的文献

1
Histopathology of gastrointestinal stromal tumor.胃肠道间质瘤的组织病理学。
J Surg Oncol. 2011 Dec;104(8):865-73. doi: 10.1002/jso.21945.
2
[Clinicopathological features and prognosis of cystic gastrointestinal stromal tumor].[囊性胃肠道间质瘤的临床病理特征及预后]
Zhonghua Wei Chang Wai Ke Za Zhi. 2011 Aug;14(8):599-602.
3
Gastrointestinal stromal tumors in Koreans: it's incidence and the clinical, pathologic and immunohistochemical findings.韩国人群中的胃肠道间质瘤:发病率及临床、病理和免疫组化特征
病例报告:一名有鳞状细胞肺癌病史患者的罕见孤立性肝囊肿转移及预后
Front Oncol. 2022 Oct 27;12:986603. doi: 10.3389/fonc.2022.986603. eCollection 2022.
4
Epithelioid variant of gastrointestinal stromal tumor harboring PDGFRA mutation and MLH1 gene alteration: A case report.上皮样型胃肠道间质瘤伴 PDGFRA 突变和 MLH1 基因改变:病例报告。
Pathol Int. 2019 Sep;69(9):541-546. doi: 10.1111/pin.12830. Epub 2019 Jul 4.
5
Gastrointestinal stromal tumors (GISTs) with remarkable cystic change: a specific subtype of GISTs with relatively indolent behaviors and favorable prognoses.具有显著囊性变的胃肠道间质瘤(GISTs):一种具有相对惰性行为和良好预后的 GISTs 特定亚型。
J Cancer Res Clin Oncol. 2019 Jun;145(6):1559-1568. doi: 10.1007/s00432-019-02853-y. Epub 2019 Mar 28.
6
Extra-gastrointestinal stromal tumor with a large cyst.伴有大囊肿的胃肠道外间质瘤
J Surg Case Rep. 2019 Feb 8;2019(2):rjy354. doi: 10.1093/jscr/rjy354. eCollection 2019 Feb.
7
Atypical presentation of a cushion sign-positive stomach gastrointestinal stromal tumor with cystic formation: A case report.伴有囊性形成的胃垫征阳性胃肠道间质瘤的非典型表现:一例报告
Mol Clin Oncol. 2018 Aug;9(2):168-172. doi: 10.3892/mco.2018.1639. Epub 2018 May 25.
8
A large cystic gastrointestinal stromal tumor within lesser sac: A diagnostic dilemma.
South Asian J Cancer. 2018 Jan-Mar;7(1):4-10. doi: 10.4103/sajc.sajc_10_18.
9
Giant gastrointestinal stromal tumor with predominantly cystic changes: a case report and literature review.以囊性改变为主的巨大胃肠道间质瘤:一例报告并文献复习。
World J Surg Oncol. 2017 Dec 13;15(1):220. doi: 10.1186/s12957-017-1285-2.
10
Gastrointestinal stromal tumour masquerading as a cyst in the lesser sac.伪装成小网膜囊囊肿的胃肠道间质瘤
BMJ Case Rep. 2016 Jul 28;2016:bcr2016215479. doi: 10.1136/bcr-2016-215479.
J Korean Med Sci. 2005 Dec;20(6):977-84. doi: 10.3346/jkms.2005.20.6.977.
4
Incidence of gastrointestinal stromal tumours is underestimated: results of a nation-wide study.胃肠道间质瘤的发病率被低估:一项全国性研究的结果
Eur J Cancer. 2005 Dec;41(18):2868-72. doi: 10.1016/j.ejca.2005.09.009. Epub 2005 Nov 15.
5
Gastrointestinal stromal tumors in Iceland, 1990-2003: the icelandic GIST study, a population-based incidence and pathologic risk stratification study.1990 - 2003年冰岛的胃肠道间质瘤:冰岛胃肠道间质瘤研究,一项基于人群的发病率及病理风险分层研究
Int J Cancer. 2005 Nov 1;117(2):289-93. doi: 10.1002/ijc.21167.
6
Small gastrointestinal stromal tumours with focal areas of low attenuation on CT: pathological correlation.
Clin Radiol. 2005 Mar;60(3):384-8. doi: 10.1016/j.crad.2004.06.022.
7
Cystic changes in hepatic and peritoneal metastases from gastrointestinal stromal tumors treated with Gleevec.接受格列卫治疗的胃肠道间质瘤肝转移和腹膜转移的囊性改变
Abdom Imaging. 2003 Nov-Dec;28(6):808-14. doi: 10.1007/s00261-003-0021-2.
8
PDGFRA activating mutations in gastrointestinal stromal tumors.胃肠道间质瘤中的血小板衍生生长因子受体A激活突变
Science. 2003 Jan 31;299(5607):708-10. doi: 10.1126/science.1079666. Epub 2003 Jan 9.
9
The diagnosis of GI stromal tumors with EUS-guided fine needle aspiration with immunohistochemical analysis.通过超声内镜引导下细针穿刺活检及免疫组化分析诊断胃肠道间质瘤。
Gastrointest Endosc. 2002 Jan;55(1):37-43. doi: 10.1067/mge.2002.120323.
10
Prognosis of gastrointestinal smooth-muscle (stromal) tumors: dependence on anatomic site.胃肠道平滑肌(间质)肿瘤的预后:取决于解剖部位。
Am J Surg Pathol. 1999 Jan;23(1):82-7. doi: 10.1097/00000478-199901000-00009.