Suppr超能文献

源于咽鼓管的骨性错构瘤。

Osseous hamartoma arising from the eustachian tube.

作者信息

Kawamoto Ai, Katori Yukio, Honkura Yohei, Ogura Masaki, Oshima Takeshi, Kobayashi Toshimitsu

机构信息

Division of Otolaryngology, Sendai Municipal Hospital.

Department of Otolaryngology & Head and Neck Surgery, Tohoku University Graduate School of Medicine , Japan.

出版信息

Clin Pract. 2013 Sep 9;3(2):e25. doi: 10.4081/cp.2013.e25. eCollection 2013 Aug 2.

Abstract

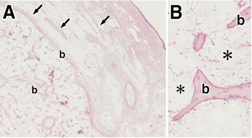
A fairly quite rare case of osseous tumor arising from the Eustachian tube (ET) is described. A 56-year-old man presented with a smooth bulky mass in the nasopharynx and secretory otitis media in the right ear. Computed tomography and magnetic resonance imaging indicated a solid tumor-like region occupying the nasopharynx with apparent extension to the right ET. Transnasal endoscopic surgery demonstrated that the tumor had originated from the ET, and the tumor was partially removed in the area where it had expanded into the nasopharynx. The pathological diagnosis was an osseous hamartoma consisting of bony tissue, fat cells and fibroblasts. To our knowledge, this is the first reported case of osseous hamartoma arising from the ET in the world literature. The patient presented symptoms of nasal obstruction and unilateral aural fullness. Reduction surgery and tympanostomy tube insertion were useful for accurate diagnosis and resolution of the symptoms.

摘要

本文描述了一例相当罕见的起源于咽鼓管的骨肿瘤病例。一名56岁男性患者,鼻咽部有一个光滑的肿块,右耳患有分泌性中耳炎。计算机断层扫描和磁共振成像显示一个实性肿瘤样区域占据鼻咽部,并明显延伸至右咽鼓管。经鼻内镜手术显示肿瘤起源于咽鼓管,肿瘤在扩展至鼻咽部的区域被部分切除。病理诊断为骨错构瘤,由骨组织、脂肪细胞和成纤维细胞组成。据我们所知,这是世界文献中首例报道的起源于咽鼓管的骨错构瘤病例。患者出现鼻塞和单侧耳闷症状。复位手术和鼓膜置管术有助于准确诊断和缓解症状。

https://cdn.ncbi.nlm.nih.gov/pmc/blobs/e339/3981260/65caf49de337/cp-2013-2-e25-g001.jpg

文献AI研究员

20分钟写一篇综述,助力文献阅读效率提升50倍。

立即体验

用中文搜PubMed

大模型驱动的PubMed中文搜索引擎

马上搜索

文档翻译

学术文献翻译模型,支持多种主流文档格式。

立即体验