Suppr超能文献

晚期糖基化终末产物诱导的视网膜神经元单核细胞趋化蛋白-1通过p38、细胞外信号调节激酶和核因子κB途径刺激大鼠小胶质细胞中肿瘤坏死因子-α的表达。

Retinal neuronal MCP-1 induced by AGEs stimulates TNF-α expression in rat microglia via p38, ERK, and NF-κB pathways.

作者信息

Dong Ning, Chang Libin, Wang Bingsong, Chu Liqun

机构信息

Department of Ophthalmology, Beijing Shijitan Hospital, Capital Medical University, Beijing, People's Republic of China.

出版信息

Mol Vis. 2014 May 2;20:616-28. eCollection 2014.

Abstract

PURPOSE

Retinal microglia can be activated by retinal neuronal monocyte chemoattractant protein-1 (MCP-1) and play a pivotal role in early retinal degeneration. The current study investigates the pathways via which retinal neuronal MCP-1 stimulates tumor necrosis factor-α (TNF-α) expression in rat microglia.

METHODS

Primary rat retinal neurons and microglia were separated and cocultured in a Transwell apparatus. The levels of TNF-α mRNA and soluble TNF-α produced by the microglia in response to advanced glycation end product (AGE)-induced retinal neuronal MCP-1 were measured with real-time PCR and enzyme-linked immunosorbent assay (ELISA). The ability of neuronal MCP-1 to stimulate microglia activation was examined by preexposing the retinal neurons to AGEs and an MCP-1 antibody or by pretreating microglia with AGEs and siRNA specific for CC-chemokine receptor 2 (CCR2) knockdowns. Additionally, we investigated the effects of microglial activation on neuronal MCP-1-induced nuclear factor-κB (NF-κB) activation and phosphorylation of mitogen-activated protein kinases (MAPKs).

RESULTS

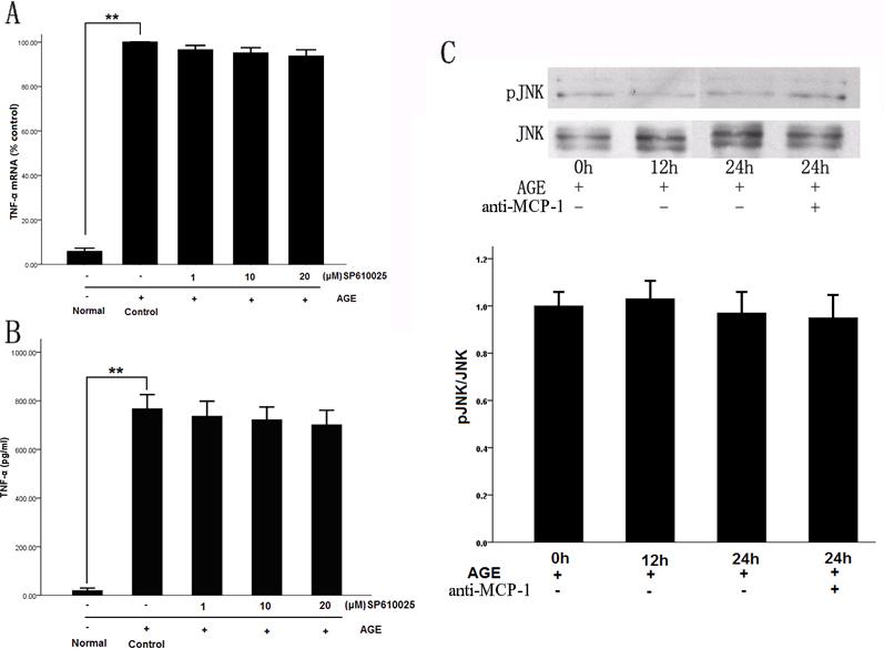
Stimulation with AGEs significantly increased the expression of TNF-α mRNA and soluble TNF-α in the microglial cells. Retinal neurons that had been pretreated with AGEs and an MCP-1 antibody or microglia that were CCR2 knockdowns displayed greatly reduced TNF-α secretion. Using signaling pathway-specific inhibitors, we showed that blocking the p38, extracellular signal-regulated kinase (ERK), and NF-κB signaling pathways significantly reduced the expression of TNF-α by retinal neuronal MCP-1-stimulated microglia.

CONCLUSIONS

This study indicates that TNF-α was released from the activated microglia induced by retinal neuronal MCP-1 via the p38, ERK, and NF-κB pathways, but not c-Jun N-terminal kinase (JNK), which may be an important finding in diabetic retinopathy pathogenesis.

摘要

目的

视网膜小胶质细胞可被视网膜神经元单核细胞趋化蛋白-1(MCP-1)激活,并在早期视网膜变性中起关键作用。本研究探讨视网膜神经元MCP-1刺激大鼠小胶质细胞中肿瘤坏死因子-α(TNF-α)表达的途径。

方法

分离原代大鼠视网膜神经元和小胶质细胞,并在Transwell装置中共培养。用实时PCR和酶联免疫吸附测定(ELISA)检测小胶质细胞对晚期糖基化终产物(AGE)诱导的视网膜神经元MCP-1产生的TNF-α mRNA水平和可溶性TNF-α。通过将视网膜神经元预先暴露于AGEs和MCP-1抗体,或通过用AGEs和特异性针对CC趋化因子受体2(CCR2)敲低的小干扰RNA(siRNA)预处理小胶质细胞,来检测神经元MCP-1刺激小胶质细胞活化的能力。此外,我们研究了小胶质细胞活化对神经元MCP-1诱导的核因子-κB(NF-κB)活化和丝裂原活化蛋白激酶(MAPK)磷酸化的影响。

结果

AGEs刺激显著增加了小胶质细胞中TNF-α mRNA的表达和可溶性TNF-α的水平。用AGEs和MCP-1抗体预处理的视网膜神经元或CCR2敲低的小胶质细胞显示TNF-α分泌大大减少。使用信号通路特异性抑制剂,我们发现阻断p38、细胞外信号调节激酶(ERK)和NF-κB信号通路可显著降低视网膜神经元MCP-1刺激的小胶质细胞中TNF-α的表达。

结论

本研究表明,TNF-α是由视网膜神经元MCP-1通过p38、ERK和NF-κB途径诱导激活的小胶质细胞释放的,而非c-Jun氨基末端激酶(JNK)途径,这可能是糖尿病性视网膜病变发病机制中的一个重要发现。

https://cdn.ncbi.nlm.nih.gov/pmc/blobs/024e/4016805/bfc7d008739b/mv-v20-616-f1.jpg

文献AI研究员

20分钟写一篇综述,助力文献阅读效率提升50倍。

立即体验

用中文搜PubMed

大模型驱动的PubMed中文搜索引擎

马上搜索

文档翻译

学术文献翻译模型,支持多种主流文档格式。

立即体验