Suppr超能文献

股骨远端骨软骨瘤继发腘动脉假性动脉瘤术中破裂:病例报告及文献复习

Intraoperative rupture of popliteal artery pseudoaneurysm secondary to distal femur osteochondroma: case report and review of the literature.

作者信息

Hajji Rita, Jiber Hamid, Zrihni Youssef, Zizi Othman, Bouarroum Abdellatif

机构信息

Department of vascular surgery, UHC Hassan II, Fes, Maroc.

出版信息

Pan Afr Med J. 2013 Dec 20;16:150. doi: 10.11604/pamj.2013.16.150.3510. eCollection 2013.

Abstract

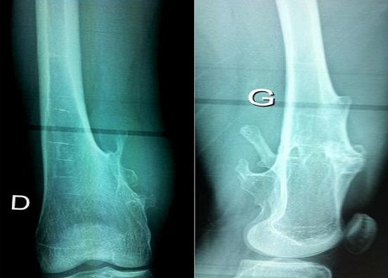
Vascular complications from osteochondroma are rare and include essentially stenosis, occlusion, and pseudoaneurysms. The authors report an original case of intraoperative rupture of undiagnosed popliteal artery pseudoaneurysm during resection surgery for a distal femur osteochondroma.

摘要

骨软骨瘤引起的血管并发症很少见,主要包括狭窄、闭塞和假性动脉瘤。作者报告了一例在股骨远端骨软骨瘤切除手术中,未被诊断出的腘动脉假性动脉瘤术中破裂的罕见病例。

https://cdn.ncbi.nlm.nih.gov/pmc/blobs/5705/4031092/020a89772c28/PAMJ-16-150-g001.jpg

文献检索

告别复杂PubMed语法,用中文像聊天一样搜索,搜遍4000万医学文献。AI智能推荐,让科研检索更轻松。

立即免费搜索

文件翻译

保留排版,准确专业,支持PDF/Word/PPT等文件格式,支持 12+语言互译。

免费翻译文档

深度研究

AI帮你快速写综述,25分钟生成高质量综述,智能提取关键信息,辅助科研写作。

立即免费体验