Suppr超能文献

胃深部囊肿性胃炎手术切除后复发:2年随访

Gastritis cystica profunda recurrence after surgical resection: 2-year follow-up.

作者信息

Wang Lei, Yan Hua, Cao Da-Chun, Huo Li, Huo Hai-Zhong, Wang Bing, Chen Ying, Liu Hai-Lin

机构信息

Department of Gastroenterology, the Ninth People's Hospital Affiliated to the School of Medicine, Shanghai Jiaotong University, Shanghai 200011, China.

出版信息

World J Surg Oncol. 2014 Apr 30;12:133. doi: 10.1186/1477-7819-12-133.

Abstract

BACKGROUND

Gastritis cystica profunda (GCP) is an uncommon disease characterized by multiple cystic gastric glands within the submucosa of the stomach.

CASE DESCRIPTION

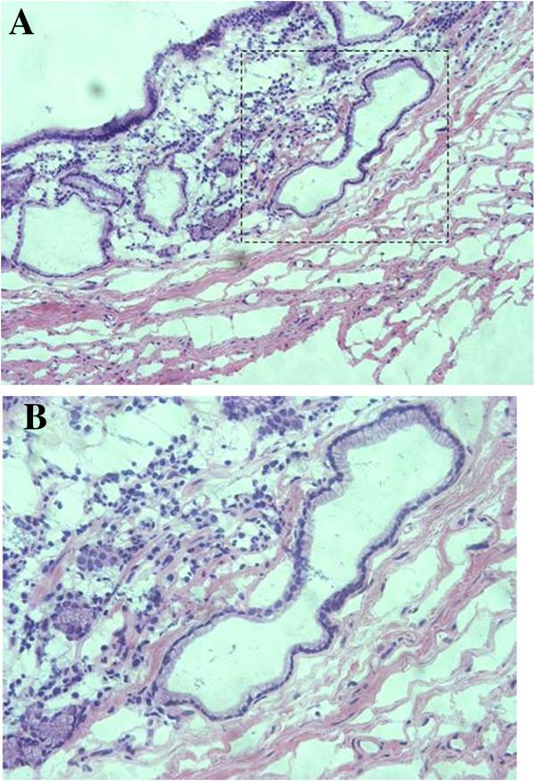
Here, we present a case of a 63-year-old man with intermittent epigastric discomfort in whom gastroscopy revealed multiple irregular elevated nodular lesions with smooth surfaces at the anterior of the antrum. Surgical resection of the nodular lesions was performed, and the diagnosis of gastritis cystica profunda (GCP) was confirmed by histological examination. Another elevated nodular lesion approximately 10 mm in diameter with an ulcer was found on the gastric side of the remnant stomach near the resection side from 6 to 24 months after the surgical resection. Endoscopic ultrasonography (EUS) and repeated biopsies of the new elevated lesion were performed. Homogeneous, anechoic masses originating from the submucosa without gastric adenocarcinoma in histological examination showed GCP recurrence may occur.

CONCLUSIONS

We report a case of GCP recurrence within 6 months after surgical resection. GCP should be considered in the differential diagnosis of elevated lesions in the stomach.

摘要

背景

胃深部囊肿性胃炎(GCP)是一种罕见疾病,其特征是胃黏膜下层存在多个囊性胃腺。

病例描述

在此,我们报告一例63岁男性,有间歇性上腹部不适,胃镜检查显示胃窦前部有多个表面光滑的不规则隆起结节性病变。对结节性病变进行了手术切除,组织学检查确诊为胃深部囊肿性胃炎(GCP)。手术切除后6至24个月,在切除侧附近的残胃胃侧发现另一个直径约10毫米的有溃疡的隆起结节性病变。对新出现的隆起病变进行了内镜超声检查(EUS)和重复活检。组织学检查显示起源于黏膜下层的均匀无回声肿块且无胃腺癌,提示可能发生了GCP复发。

结论

我们报告了一例手术切除后6个月内GCP复发的病例。在胃隆起性病变的鉴别诊断中应考虑GCP。

https://cdn.ncbi.nlm.nih.gov/pmc/blobs/b838/4030027/25f9d568a956/1477-7819-12-133-1.jpg

文献AI研究员

20分钟写一篇综述,助力文献阅读效率提升50倍。

立即体验

用中文搜PubMed

大模型驱动的PubMed中文搜索引擎

马上搜索

文档翻译

学术文献翻译模型,支持多种主流文档格式。

立即体验