Suppr超能文献

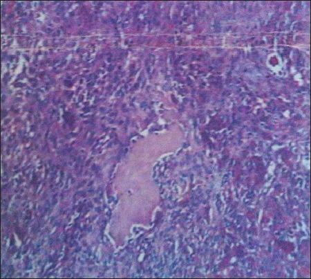
斜坡巨细胞瘤伴上皮样组织细胞。

Giant cell tumor of the clivus with presence of epithelioid histiocytes.

作者信息

Agrawal Amit, Gali Rajsekhar, Shanthi Vissa, Ramakrishna Baddukonda Appala, Mohan Kuppili Venkata Murali

机构信息

Department of Neurosurgery, Narayana Medical College Hospital, Chinthareddypalem, India.

Departments of Oral and Maxillofacial Surgery, Narayana Dental College Hospital, Chinthareddypalem, Nellore, Andhra Pradesh, India.

出版信息

Asian J Neurosurg. 2014 Jan;9(1):48-9. doi: 10.4103/1793-5482.131078.

Abstract

Giant cell tumor (GCT) is a benign neoplasm but locally aggressive tumor that uncommonly involves the skull bone. We report a case of a 62-year-old male presented with increasing headache and diplopia. Investigations were suggestive of an expanding mass lesion of the clivus. Histopathology was suggestive of diagnosed with GCT with abundant histiocytes.

摘要

骨巨细胞瘤(GCT)是一种良性肿瘤,但具有局部侵袭性,很少累及颅骨。我们报告一例62岁男性患者,表现为头痛加重和复视。检查提示斜坡有一个不断扩大的肿块病变。组织病理学提示诊断为骨巨细胞瘤,伴有大量组织细胞。

https://cdn.ncbi.nlm.nih.gov/pmc/blobs/991b/4038868/1c3944f610b2/AJNS-9-48-g001.jpg

文献检索

告别复杂PubMed语法,用中文像聊天一样搜索,搜遍4000万医学文献。AI智能推荐,让科研检索更轻松。

立即免费搜索

文件翻译

保留排版,准确专业,支持PDF/Word/PPT等文件格式,支持 12+语言互译。

免费翻译文档

深度研究

AI帮你快速写综述,25分钟生成高质量综述,智能提取关键信息,辅助科研写作。

立即免费体验