• 文献检索
  • 文档翻译
  • 深度研究
  • 学术资讯
  • Suppr Zotero 插件Zotero 插件
  • 邀请有礼
  • 套餐&价格
  • 历史记录
应用&插件
Suppr Zotero 插件Zotero 插件浏览器插件Mac 客户端Windows 客户端微信小程序
定价
高级版会员购买积分包购买API积分包
服务
文献检索文档翻译深度研究API 文档MCP 服务
关于我们
关于 Suppr公司介绍联系我们用户协议隐私条款
关注我们

Suppr 超能文献

核心技术专利:CN118964589B侵权必究
粤ICP备2023148730 号-1Suppr @ 2026

文献检索

告别复杂PubMed语法,用中文像聊天一样搜索,搜遍4000万医学文献。AI智能推荐,让科研检索更轻松。

立即免费搜索

文件翻译

保留排版,准确专业,支持PDF/Word/PPT等文件格式,支持 12+语言互译。

免费翻译文档

深度研究

AI帮你快速写综述,25分钟生成高质量综述,智能提取关键信息,辅助科研写作。

立即免费体验

髋臼周围截骨术治疗发育性髋关节发育不良

Curved periacetabular osteotomy for the treatment of dysplastic hips.

作者信息

Naito Masatoshi, Nakamura Yoshinari

机构信息

Department of Orthopaedic Surgery, Fukuoka University School of Medicine, Fukuoka, Japan.

出版信息

Clin Orthop Surg. 2014 Jun;6(2):127-37. doi: 10.4055/cios.2014.6.2.127. Epub 2014 May 16.

DOI:10.4055/cios.2014.6.2.127
PMID:24900892
原文链接:https://pmc.ncbi.nlm.nih.gov/articles/PMC4040371/
Abstract

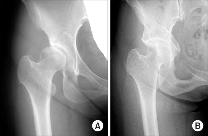
Curved periacetabular osteotomy (CPO) was developed for the treatment of dysplastic hips in 1995. In CPO, the exposure of osteotomy sites and osteotomy of the ischium are made in the same manner as Bernese periacetabular osteotomy, and iliac and pubic osteotomies are performed in the same manner as rotational acetabular osteotomy. We studied the dynamic instabilities of 25 dysplastic hips before and after CPO using triaxial accelerometry. Overall magnitude of acceleration was significantly decreased from 2.30 ± 0.57 m/sec(2) preoperatively to 1.55 ± 0.31 m/sec(2) postoperatively. Pain relief and improvement of acetabular coverage resulting from acetabular reorientation seem to be related with reduction of dynamic instabilities of dysplastic hips. Isokinetic muscle strengths of 24 hips in 22 patients were measured preoperatively and after CPO. At 12 months postoperatively, the mean muscle strength exceeded the preoperative values. These results seem to be obtained due to no dissection of abductor muscles in CPO. The preoperative presence of acetabular cysts did not influence the results of CPO. An adequate rotation of the acetabular fragment induced cyst remodeling. Satisfactory results were obtained clinically and radiographically after CPO in patients aged 50 years or older. CPO alone for the treatment of severe dysplastic hips classified as subluxated hips of Severin group IV-b with preoperative CE angles of up to -20° could restore the acetabular coverage, weight-bearing area and medialization of the hip joint. CPO without any other combined procedure, as a treatment for 17 hips in 16 patients with Perthes-like deformities, produced good mid-term clinical and radiographic results. We have been performing CPO in conjunction with osteochondroplasty for the treatment of acatabular dysplasia associated with femoroacetabular impingement since 2006. The combined procedure has been providing effective correction of both acetabular dysplasia and associated femoral head-neck deformities without any increased complication rate. We have encountered an obturator artery injury in one case and two intraoperative comminuted fractures. Although serious complications such as motor nerve palsy, deep infection, necrosis of the femoral head or acetabulum, and delayed union or nonunion of the ilium were reported, such complications have never occurred in our 700 cases so far.

摘要

髋臼周围截骨术(CPO)于1995年被开发用于治疗发育性髋关节发育不良。在CPO中,截骨部位的暴露和坐骨截骨的方式与伯尔尼髋臼周围截骨术相同,髂骨和耻骨截骨的方式与旋转髋臼截骨术相同。我们使用三轴加速度计研究了25例发育性髋关节发育不良患者在CPO前后的动态不稳定性。总体加速度大小从术前的2.30±0.57米/秒²显著降低至术后的1.55±0.31米/秒²。髋臼重新定位带来的疼痛缓解和髋臼覆盖改善似乎与发育性髋关节动态不稳定性的降低有关。对22例患者的24个髋关节在术前和CPO后进行了等速肌力测量。术后12个月时,平均肌力超过了术前值。这些结果似乎是由于CPO中未对外展肌进行剥离而获得的。术前髋臼囊肿的存在并未影响CPO的结果。髋臼碎片的适当旋转导致囊肿重塑。50岁及以上患者在CPO后在临床和影像学上均获得了满意的结果。单独使用CPO治疗术前CE角高达-20°的Severin IV-b组半脱位型严重发育性髋关节发育不良,可恢复髋臼覆盖、负重面积和髋关节内移。对于16例佩特兹样畸形患者的17个髋关节,在未进行任何其他联合手术的情况下进行CPO,取得了良好的中期临床和影像学结果。自2006年以来,我们一直将CPO与骨软骨成形术联合用于治疗与股骨髋臼撞击相关的髋臼发育不良。该联合手术在不增加并发症发生率的情况下有效矫正了髋臼发育不良和相关的股骨头颈畸形。我们遇到过1例闭孔动脉损伤和2例术中粉碎性骨折。虽然有报道称出现过诸如运动神经麻痹、深部感染、股骨头或髋臼坏死以及髂骨延迟愈合或不愈合等严重并发症,但在我们目前的700例病例中从未发生过此类并发症。

https://cdn.ncbi.nlm.nih.gov/pmc/blobs/3ff3/4040371/64a7ff9a0926/cios-6-127-g010.jpg
https://cdn.ncbi.nlm.nih.gov/pmc/blobs/3ff3/4040371/baabe2d0ed9b/cios-6-127-g001.jpg
https://cdn.ncbi.nlm.nih.gov/pmc/blobs/3ff3/4040371/aa73b7d6fa11/cios-6-127-g002.jpg
https://cdn.ncbi.nlm.nih.gov/pmc/blobs/3ff3/4040371/f792b18c80ac/cios-6-127-g003.jpg
https://cdn.ncbi.nlm.nih.gov/pmc/blobs/3ff3/4040371/b22570d007ab/cios-6-127-g004.jpg
https://cdn.ncbi.nlm.nih.gov/pmc/blobs/3ff3/4040371/bb2e47377e71/cios-6-127-g005.jpg
https://cdn.ncbi.nlm.nih.gov/pmc/blobs/3ff3/4040371/2ef9c5e190f7/cios-6-127-g006.jpg
https://cdn.ncbi.nlm.nih.gov/pmc/blobs/3ff3/4040371/f8d1cdd52eb3/cios-6-127-g007.jpg
https://cdn.ncbi.nlm.nih.gov/pmc/blobs/3ff3/4040371/cf30d60025b3/cios-6-127-g008.jpg
https://cdn.ncbi.nlm.nih.gov/pmc/blobs/3ff3/4040371/e000556b96db/cios-6-127-g009.jpg
https://cdn.ncbi.nlm.nih.gov/pmc/blobs/3ff3/4040371/64a7ff9a0926/cios-6-127-g010.jpg
https://cdn.ncbi.nlm.nih.gov/pmc/blobs/3ff3/4040371/baabe2d0ed9b/cios-6-127-g001.jpg
https://cdn.ncbi.nlm.nih.gov/pmc/blobs/3ff3/4040371/aa73b7d6fa11/cios-6-127-g002.jpg
https://cdn.ncbi.nlm.nih.gov/pmc/blobs/3ff3/4040371/f792b18c80ac/cios-6-127-g003.jpg
https://cdn.ncbi.nlm.nih.gov/pmc/blobs/3ff3/4040371/b22570d007ab/cios-6-127-g004.jpg
https://cdn.ncbi.nlm.nih.gov/pmc/blobs/3ff3/4040371/bb2e47377e71/cios-6-127-g005.jpg
https://cdn.ncbi.nlm.nih.gov/pmc/blobs/3ff3/4040371/2ef9c5e190f7/cios-6-127-g006.jpg
https://cdn.ncbi.nlm.nih.gov/pmc/blobs/3ff3/4040371/f8d1cdd52eb3/cios-6-127-g007.jpg
https://cdn.ncbi.nlm.nih.gov/pmc/blobs/3ff3/4040371/cf30d60025b3/cios-6-127-g008.jpg
https://cdn.ncbi.nlm.nih.gov/pmc/blobs/3ff3/4040371/e000556b96db/cios-6-127-g009.jpg
https://cdn.ncbi.nlm.nih.gov/pmc/blobs/3ff3/4040371/64a7ff9a0926/cios-6-127-g010.jpg

相似文献

1
Curved periacetabular osteotomy for the treatment of dysplastic hips.髋臼周围截骨术治疗发育性髋关节发育不良
Clin Orthop Surg. 2014 Jun;6(2):127-37. doi: 10.4055/cios.2014.6.2.127. Epub 2014 May 16.
2
Evaluation of Bernese periacetabular osteotomy: prospective studies examining projected load-bearing area, bone density, cartilage thickness and migration.伯尔尼髋臼周围截骨术的评估:关于预计承重面积、骨密度、软骨厚度和移位情况的前瞻性研究。
Acta Orthop Suppl. 2008 Jun;79(329):4-43. doi: 10.1080/17453690610046558.
3
One-third of Hips After Periacetabular Osteotomy Survive 30 Years With Good Clinical Results, No Progression of Arthritis, or Conversion to THA.髋臼周围截骨术后三分之一的髋关节在30年时仍保持良好临床效果,无关节炎进展或无需转换为全髋关节置换术。
Clin Orthop Relat Res. 2017 Apr;475(4):1154-1168. doi: 10.1007/s11999-016-5169-5.
4
A periacetabular osteotomy for the treatment of severe dysplastic hips.髋臼周围截骨术治疗严重发育不良髋部。
Clin Orthop Relat Res. 2011 May;469(5):1436-41. doi: 10.1007/s11999-010-1616-x. Epub 2010 Oct 9.
5
Periacetabular osteotomy in the treatment of severe acetabular dysplasia. Surgical technique.髋臼周围截骨术治疗严重髋臼发育不良。手术技术。
J Bone Joint Surg Am. 2006 Mar;88 Suppl 1 Pt 1:65-83. doi: 10.2106/JBJS.E.00887.
6
Rotational Acetabular Osteotomy for Pre- and Early Osteoarthritis Secondary to Dysplasia Provides Durable Results at 20 Years.用于发育异常继发的早期和前期骨关节炎的髋臼旋转截骨术在20年时疗效持久。
Clin Orthop Relat Res. 2016 Oct;474(10):2145-53. doi: 10.1007/s11999-016-4854-8.
7
Do Radiographic Parameters of Dysplasia Improve to Normal Ranges After Bernese Periacetabular Osteotomy?伯尔尼髋臼周围截骨术后发育不良的影像学参数会改善至正常范围吗?
Clin Orthop Relat Res. 2017 Apr;475(4):1120-1127. doi: 10.1007/s11999-016-5077-8.
8
Periacetabular osteotomy for the treatment of severe acetabular dysplasia.髋臼周围截骨术治疗严重髋臼发育不良。
J Bone Joint Surg Am. 2005 Feb;87(2):254-9. doi: 10.2106/JBJS.D.02093.
9
Visualization of acetabular coverage with radar chart before and after curved periacetabular osteotomy in dysplastic hips.在髋臼发育不良髋关节中,通过雷达图显示曲形髋臼周围截骨前后髋臼覆盖情况。
J Orthop Sci. 2023 Sep;28(5):1034-1040. doi: 10.1016/j.jos.2022.07.016. Epub 2022 Aug 20.
10
Evaluation of acetabular versions after a curved periacetabular osteotomy for dysplastic hips.髋关节发育不良行髋臼曲形截骨术后髋臼版本的评估。
Int Orthop. 2010 Apr;34(4):473-7. doi: 10.1007/s00264-009-0785-2. Epub 2009 May 8.

引用本文的文献

1
Osteotomy across arcuate line in ilium needs prudence in curved periacetabular osteotomy.在髋臼周围弧形截骨术中,在髂骨弓状线处进行截骨需要谨慎操作。
J Orthop. 2025 Feb 3;68:51-57. doi: 10.1016/j.jor.2025.02.001. eCollection 2025 Oct.
2
Short-term outcomes of curved periacetabular osteotomy and factors influencing patient dissatisfaction.髋臼周围弧形截骨术的短期疗效及影响患者不满意的因素
J Hip Preserv Surg. 2023 Jan 25;10(1):17-23. doi: 10.1093/jhps/hnac054. eCollection 2023 Jan.
3
Minimally Invasive Radiographic Evaluation of the Dysplastic Hip Joint Configuration in Terms of Surgical Treatment with Hip Preservation by PAO.

本文引用的文献

1
Periacetabular osteotomy and combined femoral head-neck junction osteochondroplasty: a minimum two-year follow-up cohort study.髋臼周围截骨术联合股骨头颈结合部骨软骨成形术:一项至少两年随访的队列研究。
J Bone Joint Surg Am. 2012 Nov 7;94(21):1959-66. doi: 10.2106/JBJS.K.01038.
2
The prevalence of dysplasia in femoroacetabular impingement.股骨髋臼撞击综合征中发育异常的患病率。
Hip Int. 2011 Mar-Apr;21(2):141-5. doi: 10.5301/HIP.2011.7422. Epub 2011 Apr 11.
3
Comparison of total hip replacement with and without cement in patients younger than 50 years of age: the results at 18 years.
基于髋臼周围截骨术(PAO)保髋手术的发育性髋关节结构的微创影像学评估
Indian J Orthop. 2022 Sep 28;56(12):2214-2222. doi: 10.1007/s43465-022-00757-7. eCollection 2022 Dec.
4
Treatment of Severe Hip Dysplasia with Leg Length Discrepancy Using Spherical Periacetabular Osteotomy.使用球形髋臼周围截骨术治疗伴有下肢长度不等的严重髋关节发育不良
Case Rep Orthop. 2022 Sep 5;2022:3930806. doi: 10.1155/2022/3930806. eCollection 2022.
5
Incidences of deep vein thrombosis and major bleeding under the administration of fondaparinux for thromboprophylaxis after periacetabular osteotomy: a retrospective observational study.髋臼周围截骨术后使用磺达肝癸钠进行血栓预防时的深静脉血栓形成和大出血发生率:一项回顾性观察研究。
J Hip Preserv Surg. 2021 Aug 17;8(3):293-297. doi: 10.1093/jhps/hnab066. eCollection 2021 Aug.
6
The anterior center edge angle has limited ability to predict three-dimensional coverage of the femoral head in patients with developmental dysplasia of the hip undergoing curved periacetabular osteotomy.前中心边缘角在预测发育性髋关节发育不良患者行髋臼周围截骨术后股骨头的三维覆盖范围方面能力有限。
Arch Orthop Trauma Surg. 2023 Mar;143(3):1323-1330. doi: 10.1007/s00402-021-04258-4. Epub 2022 Jan 3.
7
Prediction of femoral head coverage from articulated statistical shape models of patients with developmental dysplasia of the hip.基于髋关节发育不良患者的关节统计形状模型预测股骨头覆盖度。
J Orthop Res. 2022 Sep;40(9):2113-2126. doi: 10.1002/jor.25227. Epub 2021 Dec 5.
8
Correlation of the anatomical sacral slope with pelvic incidence in female patients with developmental hip dysplasia: a retrospective cross-sectional study.发育性髋关节发育不良女性患者解剖骶骨倾斜度与骨盆入射角的相关性:一项回顾性横断面研究。
J Orthop Surg Res. 2020 Oct 21;15(1):486. doi: 10.1186/s13018-020-02022-9.
9
Sciatic Nerve Palsy following Curved Periacetabular Osteotomy.髋臼周围弧形截骨术后坐骨神经麻痹
Case Rep Orthop. 2020 Mar 19;2020:8569285. doi: 10.1155/2020/8569285. eCollection 2020.
10
Correlation of tilt of the anterior pelvic plane angle with anatomical pelvic tilt and morphological configuration of the acetabulum in patients with developmental dysplasia of the hip: a cross-sectional study.骨盆倾斜角前倾平面与解剖性骨盆倾斜和髋臼形态结构在发育性髋关节发育不良患者中的相关性:一项横断面研究。
J Orthop Surg Res. 2019 Oct 17;14(1):323. doi: 10.1186/s13018-019-1382-8.
50岁以下患者行骨水泥型与非骨水泥型全髋关节置换术的比较:18年随访结果
J Bone Joint Surg Br. 2011 Apr;93(4):449-55. doi: 10.1302/0301-620X.93B4.26149.
4
Periacetabular osteotomy in patients fifty years of age or older: surgical technique.髋臼周围截骨术治疗 50 岁及以上患者:手术技术。
J Bone Joint Surg Am. 2011 Mar;93 Suppl 1:30-9. doi: 10.2106/JBJS.J.01126.
5
A periacetabular osteotomy for the treatment of severe dysplastic hips.髋臼周围截骨术治疗严重发育不良髋部。
Clin Orthop Relat Res. 2011 May;469(5):1436-41. doi: 10.1007/s11999-010-1616-x. Epub 2010 Oct 9.
6
Is the obturator artery safe when performing ischial osteotomy during periacetabular osteotomy?在髋臼周围截骨术中进行坐骨截骨时闭孔动脉安全吗?
Int Orthop. 2011 Apr;35(4):503-6. doi: 10.1007/s00264-010-1064-y. Epub 2010 Jun 16.
7
Intracapsular pressure and interleukin-1beta cytokine in hips with acetabular dysplasia.髋臼发育不良髋关节的囊内压和白细胞介素-1β细胞因子。
Acta Orthop. 2010 Apr;81(2):189-92. doi: 10.3109/17453671003717807.
8
Periacetabular osteotomy in patients fifty years of age or older.髋臼周围截骨术治疗 50 岁及以上患者。
J Bone Joint Surg Am. 2010 Jan;92(1):31-41. doi: 10.2106/JBJS.H.01556.
9
Periacetabular osteotomy reduces the dynamic instability of dysplastic hips.髋臼周围截骨术可降低发育性髋关节的动态不稳定性。
J Bone Joint Surg Br. 2009 Nov;91(11):1438-42. doi: 10.1302/0301-620X.91B11.21796.
10
Cemented polished tapered stems in patients less than 50 years of age: a minimum 10-year follow-up.50 岁以下患者的骨水泥型抛光锥形柄:至少 10 年随访。
J Arthroplasty. 2010 Aug;25(5):692-9. doi: 10.1016/j.arth.2009.05.010. Epub 2009 Jul 4.