Suppr超能文献

溃疡性结肠炎的组织学评估。

Histological evaluation in ulcerative colitis.

机构信息

Department of Pathology, Wake Forest Baptist Medical Center, Winston-Salem, North Carolina, USA; Department of Pathology, University of Chicago, Chicago, Illinois, USA; Department of Anatomic Pathology, Cleveland Clinic, Cleveland, Ohio, USA.

Department of Pathology, Wake Forest Baptist Medical Center, Winston-Salem, North Carolina, USA; Department of Pathology, University of Chicago, Chicago, Illinois, USA; Department of Anatomic Pathology, Cleveland Clinic, Cleveland, Ohio, USA

出版信息

Gastroenterol Rep (Oxf). 2014 Aug;2(3):178-92. doi: 10.1093/gastro/gou031. Epub 2014 Jun 18.

Abstract

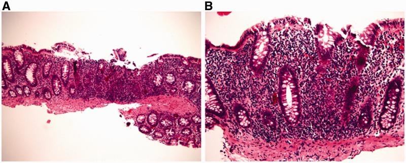
This review summarizes diagnostic problems, challenges and advances in ulcerative colitis (UC). It emphasizes that, although histopathological examination plays a major role in the diagnosis and management of UC, it should always be interpreted in the context of clinical, endoscopic, and radiological findings. Accurate diagnosis requires knowledge of the classic morphological features of UC, as well as a number of atypical pathological presentations that may cause mis-classification of the disease process, either in resection or biopsy specimens. These atypical pathological presentations include rectal sparing and patchiness of disease at initial presentation of UC in pediatric patients or in the setting of medically treated UC, cecal or ascending colon inflammation in left-sided UC, and backwash ileitis in patients with severe ulcerative pancolitis. Loosely formed microgranulomas, with pale foamy histiocytes adjacent to a damaged crypt or eroded surface, should not be interpreted as evidence of Crohn's disease. Indeterminate colitis should only be used in colectomy specimens as a provisional pathological diagnosis. Patients with UC are at risk for the development of dysplasia and carcinoma; optimal outcomes in UC surveillance programs require familiarity with the diagnostic criteria and challenges relating to UC-associated dysplasia and malignancy. Colon biopsy from UC patients should always be evaluated for dysplasia based on cytological and architectural abnormalities. Accurate interpretation and classification of dysplasia in colon biopsy from UC patients as sporadic adenoma or UC-related dysplasia [flat, adenoma-like, or dysplasia-associated lesion or mass (DALM)] requires clinical and endoscopic correlation. Isolated polypoid dysplastic lesions are considered to be sporadic adenoma if occurring outside areas of histologically proven colitis, or adenoma-like dysplasia if occurring in the diseased segment. Recent data suggest that such lesions may be treated adequately by polypectomy in the absence of flat dysplasia in the patient. UC patients with DALM or flat high-grade dysplasia should be treated by colectomy because of the high probability of adenocarcinoma. The natural history of low-grade dysplasia (LGD) is more controversial: while multifocal LGD, particularly if detected at the time of initial endoscopic examination, is treated with colectomy, unifocal flat LGD detected during surveillance may be managed by close follow-up with increased surveillance. The surveillance interval and treatment options for UC patients with dysplasia are reviewed in detail.

摘要

本文综述了溃疡性结肠炎(UC)的诊断问题、挑战和进展。强调尽管组织病理学检查在 UC 的诊断和管理中起主要作用,但应始终结合临床、内镜和影像学发现进行解释。准确的诊断需要了解 UC 的经典形态特征,以及一些可能导致疾病过程分类错误的非典型病理表现,无论是在切除标本还是活检标本中。这些非典型的病理表现包括儿科患者初诊时 UC 的直肠保留和疾病斑片状,或在接受药物治疗的 UC 中、左半结肠炎中的盲肠或升结肠炎症,以及严重溃疡性全结肠炎患者的回肠炎。松散形成的微肉芽肿,伴有苍白泡沫状组织细胞紧邻受损隐窝或侵蚀表面,不应解释为克罗恩病的证据。不确定结肠炎仅应在结肠切除标本中作为临时病理诊断使用。UC 患者有发生异型增生和癌的风险;UC 监测计划的最佳结果需要熟悉与 UC 相关的异型增生和恶性肿瘤相关的诊断标准和挑战。来自 UC 患者的结肠活检应始终根据细胞学和结构异常进行异型增生评估。准确解释和分类 UC 患者结肠活检中的异型增生,将其归类为散发性腺瘤或 UC 相关异型增生[平坦、腺瘤样或异型增生相关病变或肿块(DALM)],需要临床和内镜相关。孤立的息肉样异型增生病变如果发生在组织学证实的结肠炎区域之外,则被认为是散发性腺瘤,如果发生在病变部位,则被认为是腺瘤样异型增生。最近的数据表明,如果患者没有平坦异型增生,此类病变可以通过息肉切除术充分治疗。患有 DALM 或平坦高级别异型增生的 UC 患者应接受结肠切除术,因为有很高的腺癌概率。低级别异型增生(LGD)的自然史更具争议性:虽然多灶性 LGD,特别是在初次内镜检查时发现,需要结肠切除术治疗,但在监测期间发现的单发平坦 LGD 可以通过密切随访和增加监测来管理。详细审查了有异型增生的 UC 患者的监测间隔和治疗选择。

https://cdn.ncbi.nlm.nih.gov/pmc/blobs/2f56/4124271/4fc923a23a30/gou031f1p.jpg

文献AI研究员

20分钟写一篇综述,助力文献阅读效率提升50倍。

立即体验

用中文搜PubMed

大模型驱动的PubMed中文搜索引擎

马上搜索

文档翻译

学术文献翻译模型,支持多种主流文档格式。

立即体验