• 文献检索
  • 文档翻译
  • 深度研究
  • 学术资讯
  • Suppr Zotero 插件Zotero 插件
  • 邀请有礼
  • 套餐&价格
  • 历史记录
应用&插件
Suppr Zotero 插件Zotero 插件浏览器插件Mac 客户端Windows 客户端微信小程序
定价
高级版会员购买积分包购买API积分包
服务
文献检索文档翻译深度研究API 文档MCP 服务
关于我们
关于 Suppr公司介绍联系我们用户协议隐私条款
关注我们

Suppr 超能文献

核心技术专利:CN118964589B侵权必究
粤ICP备2023148730 号-1Suppr @ 2026

文献检索

告别复杂PubMed语法,用中文像聊天一样搜索,搜遍4000万医学文献。AI智能推荐,让科研检索更轻松。

立即免费搜索

文件翻译

保留排版,准确专业,支持PDF/Word/PPT等文件格式,支持 12+语言互译。

免费翻译文档

深度研究

AI帮你快速写综述,25分钟生成高质量综述,智能提取关键信息,辅助科研写作。

立即免费体验

嵌顿性膈疝作为急腹症的一个病因

Incarcerated diaphragmatic hernia as a cause of acute abdomen.

作者信息

Koh H, Sivarajah S, Anderson D, Wilson C

机构信息

Victoria Infrimary, Glasgow, UK.

出版信息

J Surg Case Rep. 2012 Oct 1;2012(10):4. doi: 10.1093/jscr/2012.10.4.

DOI:10.1093/jscr/2012.10.4
PMID:24960744
原文链接:https://pmc.ncbi.nlm.nih.gov/articles/PMC3649658/
Abstract

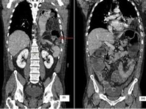
Diaphragmatic hernias are usually congenital, and they usually occur in the neonatal group. They do occur in the adult population, albeit very rarely. We present a case of an adult male patient with complications as a result of a congenital diaphragmatic hernia. The patient presented with atypical abdominal pain and respiratory distress. Radiological investigations confirmed a left hydropneumothorax as well as large bowel obstruction secondary to herniation of the omentum and transverse colon through a congenital defect in the left hemi-diaphragm. He had a laparotomy, which confirmed the radiological findings and a perforated transverse colon. He went onto have an extended right hemicolectomy and end-ileostomy; his left hemithorax was lavaged and a thoracostomy tube was inserted. He recovered well, except that he developed an empyema postoperatively for which he required a thoracotomy and decortication. He made good recovery following this and was discharged home nine days following his initial laparotomy.

摘要

膈疝通常是先天性的,多见于新生儿群体。成人也会发生膈疝,不过极为罕见。我们报告一例成年男性患者,因先天性膈疝出现并发症。该患者表现为非典型腹痛和呼吸窘迫。影像学检查证实存在左侧液气胸以及因大网膜和横结肠通过左侧半膈肌先天性缺损疝出导致的大肠梗阻。患者接受了剖腹探查术,术中所见证实了影像学检查结果,还发现横结肠穿孔。随后他接受了扩大右半结肠切除术和末端回肠造口术;对其左胸腔进行了灌洗并插入了胸腔引流管。他恢复良好,只是术后并发了脓胸,为此又接受了开胸胸膜剥脱术。此后他恢复良好,在初次剖腹探查术后九天出院。

https://cdn.ncbi.nlm.nih.gov/pmc/blobs/ebce/3649658/72585f7f442a/jscr-2012-10-4fig2.jpg
https://cdn.ncbi.nlm.nih.gov/pmc/blobs/ebce/3649658/1c1748771fa4/jscr-2012-10-4fig1.jpg
https://cdn.ncbi.nlm.nih.gov/pmc/blobs/ebce/3649658/72585f7f442a/jscr-2012-10-4fig2.jpg
https://cdn.ncbi.nlm.nih.gov/pmc/blobs/ebce/3649658/1c1748771fa4/jscr-2012-10-4fig1.jpg
https://cdn.ncbi.nlm.nih.gov/pmc/blobs/ebce/3649658/72585f7f442a/jscr-2012-10-4fig2.jpg

相似文献

1
Incarcerated diaphragmatic hernia as a cause of acute abdomen.嵌顿性膈疝作为急腹症的一个病因
J Surg Case Rep. 2012 Oct 1;2012(10):4. doi: 10.1093/jscr/2012.10.4.
2
Congenital diaphragmatic hernia with gastric perforation in adult: Intrathoracic gastric perforation.成人先天性膈疝伴胃穿孔:胸腔内胃穿孔。
Ulus Travma Acil Cerrahi Derg. 2023 Apr;29(4):538-542. doi: 10.14744/tjtes.2022.62289.
3
A tale of two unconventional adult diaphragmatic hernias.两个非典型成人膈疝的病例报告。
Ann R Coll Surg Engl. 2023 May;105(5):484-488. doi: 10.1308/rcsann.2022.0107. Epub 2022 Oct 14.
4
Incarcerated Bochdalek hernia causing bowel obstruction in an adult male patient.嵌顿性博赫dalek疝导致一名成年男性患者肠梗阻。
Ann R Coll Surg Engl. 2017 Jul;99(6):e159-e161. doi: 10.1308/rcsann.2017.0065.
5
Chest X-ray findings in late-onset congenital diaphragmatic hernia, a rare emergency easily misdiagnosed as hydropneumothorax: a case report.迟发性先天性膈疝的胸部X线表现:1例报告,一种易误诊为液气胸的罕见急症
J Med Case Rep. 2015 Dec 22;9:291. doi: 10.1186/s13256-015-0755-9.
6
Intrathoracic transverse colon and small bowel infarction in a patient with traumatic diaphragmatic hernia. Case report and review of the literature.创伤性膈疝患者的胸内横结肠和小肠梗死。病例报告及文献复习。
J Med Liban. 2004 Jul-Sep;52(3):168-70.
7
Intrathoracic intestinal diverticulum in a late presenting congenital bilateral diaphragmatic hernia: a case report.迟发性先天性双侧膈疝合并胸内肠憩室:一例报告
J Med Case Rep. 2013 Dec 30;7:290. doi: 10.1186/1752-1947-7-290.
8
Robotic repair of a right-sided Bochdalek hernia: a case report and literature review.机器人辅助修复右侧博赫dalek疝:病例报告与文献综述
J Robot Surg. 2018 Jun;12(2):351-355. doi: 10.1007/s11701-017-0705-1. Epub 2017 May 12.
9
Faecopneumothorax due to missing diaphragmatic hernia: a case report.因漏诊膈疝导致的粪气胸:一例报告
J Med Case Rep. 2021 Jan 23;15(1):19. doi: 10.1186/s13256-020-02606-3.
10
Right congenital diaphragmatic hernia associated with abnormality of the liver in adult.成人右先天性膈疝伴肝脏异常
Pan Afr Med J. 2017 Sep 22;28:70. doi: 10.11604/pamj.2017.28.70.11249. eCollection 2017.

引用本文的文献

1
Diaphragmatic Hernia after Radiofrequency Ablation.射频消融术后膈疝
Diagnostics (Basel). 2021 Feb 14;11(2):307. doi: 10.3390/diagnostics11020307.
2
The rare and unusual presentation of a gastric perforation in the setting of a large diaphragmatic hernia a case report and literature review.巨大膈疝背景下胃穿孔的罕见异常表现:一例报告及文献复习
J Surg Case Rep. 2018 Sep 11;2018(9):rjy238. doi: 10.1093/jscr/rjy238. eCollection 2018 Sep.
3
Diaphragmatic hernia after cesarean section masquerading as hydropneumothorax.

本文引用的文献

1
Right-sided Bochdalek hernia in an adult: a case report.成人右侧博赫dalek疝:一例报告。
J Med Case Rep. 2009 Nov 23;3:9291. doi: 10.1186/1752-1947-3-9291.
2
Caecal perforation with faecal peritonitis - unusual presentation of Bochdalek hernia in an adult: a case report and review of literature.盲肠穿孔伴粪便性腹膜炎——成人型波希代尔疝的不常见表现:病例报告并文献复习。
World J Emerg Surg. 2009 May 6;4:16. doi: 10.1186/1749-7922-4-16.
3
Late-presenting posterior transdiaphragmatic (Bochdalek) hernia in adults: prevalence and MDCT characteristics.
剖宫产术后伪装成气胸的膈疝。
J Anaesthesiol Clin Pharmacol. 2018 Apr-Jun;34(2):273-274. doi: 10.4103/0970-9185.168168.
4
Robotic repair of a right-sided Bochdalek hernia: a case report and literature review.机器人辅助修复右侧博赫dalek疝:病例报告与文献综述
J Robot Surg. 2018 Jun;12(2):351-355. doi: 10.1007/s11701-017-0705-1. Epub 2017 May 12.
5
An unusual diaphragmatic hernia with gastric perforation and sub-acute presentation.一例伴有胃穿孔及亚急性表现的罕见膈疝。
Ann R Coll Surg Engl. 2016 Nov;98(8):e181-e383. doi: 10.1308/rcsann.2016.0228. Epub 2016 Aug 9.
成人迟发性经膈后(博赫dalek)疝:患病率及多层螺旋CT特征
J Thorac Imaging. 2009 Feb;24(1):17-22. doi: 10.1097/RTI.0b013e31818c6bc8.
4
Right-sided Bochdalek's hernia in an adult.成人右侧博赫dalek疝
Am J Surg. 2007 Sep;194(3):390-1. doi: 10.1016/j.amjsurg.2006.09.039.