• 文献检索
  • 文档翻译
  • 深度研究
  • 学术资讯
  • Suppr Zotero 插件Zotero 插件
  • 邀请有礼
  • 套餐&价格
  • 历史记录
应用&插件
Suppr Zotero 插件Zotero 插件浏览器插件Mac 客户端Windows 客户端微信小程序
定价
高级版会员购买积分包购买API积分包
服务
文献检索文档翻译深度研究API 文档MCP 服务
关于我们
关于 Suppr公司介绍联系我们用户协议隐私条款
关注我们

Suppr 超能文献

核心技术专利:CN118964589B侵权必究
粤ICP备2023148730 号-1Suppr @ 2026

文献检索

告别复杂PubMed语法,用中文像聊天一样搜索,搜遍4000万医学文献。AI智能推荐,让科研检索更轻松。

立即免费搜索

文件翻译

保留排版,准确专业,支持PDF/Word/PPT等文件格式,支持 12+语言互译。

免费翻译文档

深度研究

AI帮你快速写综述,25分钟生成高质量综述,智能提取关键信息,辅助科研写作。

立即免费体验

筛窦黏液囊肿压迫泪囊,表现为泪囊鼻腔吻合术的晚期并发症。

Lacrimal sac compression by an anterior ethmoidal mucocele presenting as a late complication of dacryocystorhinostomy.

作者信息

Olaleye Oladejo, Salleh Shizalia, David Don, Bickerton Richard

机构信息

Department of Otolaryngology,Warwick Hospital, Warwick, UK

Department of Otolaryngology,Warwick Hospital, Warwick, UK.

出版信息

J Surg Case Rep. 2013 Feb 14;2013(2):rjt002. doi: 10.1093/jscr/rjt002.

DOI:10.1093/jscr/rjt002
PMID:24964413
原文链接:https://pmc.ncbi.nlm.nih.gov/articles/PMC3789634/
Abstract

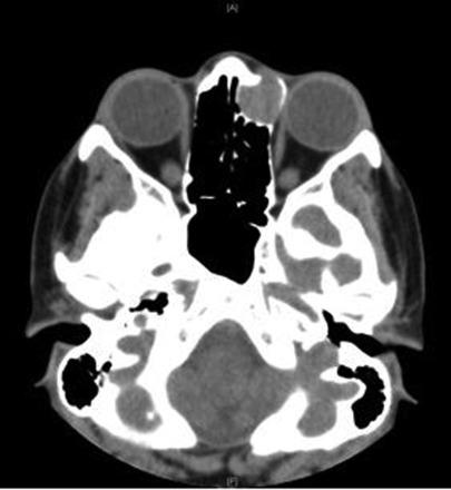
This was an unusual case of lacrimal sac compression by an anterior ethmoidal mucocele presenting as a late complication of a dacryocystorhinostomy (DCR) that was jointly managed by ophthalmic and ENT surgeons via an endoscopic approach. A 22-year-old lady presented with a 12-month history of a painless lump in her left medial canthus area and a 6-month history of left intermittent epiphora. She had a DCR when she was 15 years old with initial symptom control until recent recurrence. There were no nasal or other eye symptoms. The rest of the eye and nasendoscopic examinations were unremarkable. An MRI scan suggested a dacryocystocele; however, a further CT scan revealed a 1.6 cm cystic lesion consistent with an anterior ethmoidal mucocele compressing the lacrimal sac. An endoscopic left anterior ethmoidectomy with marsupialisation of the mucocele was performed in combination with an endoscopic DCR. She made good post-operative recovery.

摘要

这是一例不寻常的病例,即筛窦黏液囊肿压迫泪囊,表现为泪囊鼻腔吻合术(DCR)的晚期并发症,由眼科和耳鼻喉科医生通过内镜方法联合处理。一名22岁女性,左侧内眦区出现无痛性肿块12个月,左侧间歇性溢泪6个月。她15岁时接受了DCR,最初症状得到控制,直到最近复发。无鼻部或其他眼部症状。眼部其他检查及鼻内镜检查均无异常。MRI扫描提示泪囊膨出;然而,进一步的CT扫描显示一个1.6 cm的囊性病变,符合筛窦黏液囊肿压迫泪囊。在内镜下行左侧前筛窦切除术并对黏液囊肿进行袋形缝合,同时行内镜下DCR。术后恢复良好。

https://cdn.ncbi.nlm.nih.gov/pmc/blobs/9e2c/3789634/f855c7acf91f/rjt00210.jpg
https://cdn.ncbi.nlm.nih.gov/pmc/blobs/9e2c/3789634/673d790b9e92/rjt00201.jpg
https://cdn.ncbi.nlm.nih.gov/pmc/blobs/9e2c/3789634/9beb7e565e4b/rjt00202.jpg
https://cdn.ncbi.nlm.nih.gov/pmc/blobs/9e2c/3789634/e7b84998d957/rjt00203.jpg
https://cdn.ncbi.nlm.nih.gov/pmc/blobs/9e2c/3789634/46f847950a2e/rjt00204.jpg
https://cdn.ncbi.nlm.nih.gov/pmc/blobs/9e2c/3789634/b3ecb9db6fcd/rjt00205.jpg
https://cdn.ncbi.nlm.nih.gov/pmc/blobs/9e2c/3789634/5fe6fd42ab59/rjt00206.jpg
https://cdn.ncbi.nlm.nih.gov/pmc/blobs/9e2c/3789634/21b2a38c6512/rjt00207.jpg
https://cdn.ncbi.nlm.nih.gov/pmc/blobs/9e2c/3789634/6bbf79855ee9/rjt00208.jpg
https://cdn.ncbi.nlm.nih.gov/pmc/blobs/9e2c/3789634/27c6d47e5015/rjt00209.jpg
https://cdn.ncbi.nlm.nih.gov/pmc/blobs/9e2c/3789634/f855c7acf91f/rjt00210.jpg
https://cdn.ncbi.nlm.nih.gov/pmc/blobs/9e2c/3789634/673d790b9e92/rjt00201.jpg
https://cdn.ncbi.nlm.nih.gov/pmc/blobs/9e2c/3789634/9beb7e565e4b/rjt00202.jpg
https://cdn.ncbi.nlm.nih.gov/pmc/blobs/9e2c/3789634/e7b84998d957/rjt00203.jpg
https://cdn.ncbi.nlm.nih.gov/pmc/blobs/9e2c/3789634/46f847950a2e/rjt00204.jpg
https://cdn.ncbi.nlm.nih.gov/pmc/blobs/9e2c/3789634/b3ecb9db6fcd/rjt00205.jpg
https://cdn.ncbi.nlm.nih.gov/pmc/blobs/9e2c/3789634/5fe6fd42ab59/rjt00206.jpg
https://cdn.ncbi.nlm.nih.gov/pmc/blobs/9e2c/3789634/21b2a38c6512/rjt00207.jpg
https://cdn.ncbi.nlm.nih.gov/pmc/blobs/9e2c/3789634/6bbf79855ee9/rjt00208.jpg
https://cdn.ncbi.nlm.nih.gov/pmc/blobs/9e2c/3789634/27c6d47e5015/rjt00209.jpg
https://cdn.ncbi.nlm.nih.gov/pmc/blobs/9e2c/3789634/f855c7acf91f/rjt00210.jpg

相似文献

1
Lacrimal sac compression by an anterior ethmoidal mucocele presenting as a late complication of dacryocystorhinostomy.筛窦黏液囊肿压迫泪囊,表现为泪囊鼻腔吻合术的晚期并发症。
J Surg Case Rep. 2013 Feb 14;2013(2):rjt002. doi: 10.1093/jscr/rjt002.
2
[Mucocele of the ethmoid sinus revealed by an epiphora].[溢泪症所揭示的筛窦黏液囊肿]
J Fr Ophtalmol. 2013 Nov;36(9):e169-72. doi: 10.1016/j.jfo.2012.12.005. Epub 2013 Jun 14.
3
Paranasal Sinus Mucocele as a Late Complication of Dacryocystorhinostomy.鼻旁窦黏液囊肿作为泪囊鼻腔吻合术的晚期并发症
Ophthalmic Plast Reconstr Surg. 2017 May/Jun;33(3S Suppl 1):S23-S24. doi: 10.1097/IOP.0000000000000538.
4
Clinical outcome and quality of life of lacrimal sac mucocele treated via endoscopic posterior approach.经鼻内镜后路治疗泪囊黏液囊肿的临床疗效及生活质量
Am J Otolaryngol. 2022 Jan-Feb;43(1):103244. doi: 10.1016/j.amjoto.2021.103244. Epub 2021 Sep 17.
5
Unexpected pathologies in patients referred for endoscopic DCR.因内镜下泪囊鼻腔造口术前来就诊患者的意外病变
Eur Arch Otorhinolaryngol. 2014 Nov;271(11):3053-8. doi: 10.1007/s00405-014-2892-y. Epub 2014 Jan 30.
6
Four cases of dacryocystocele.四例泪囊膨出症。
Korean J Ophthalmol. 1997 Jun;11(1):65-9. doi: 10.3341/kjo.1997.11.1.65.
7
Agger nasi mucocele cause nasolacrimal duct obstruction and chronic dacryocystitis: clinical profile, management and outcome.鼻额窦黏液囊肿导致鼻泪管阻塞和慢性泪囊炎:临床特征、治疗及结果。
BMJ Case Rep. 2021 May 24;14(5):e242140. doi: 10.1136/bcr-2021-242140.
8
Epiphora as first presenting sign of primary extranodal NK/T-cell lymphoma of the lacrimal sac.溢泪作为泪囊原发性结外NK/T细胞淋巴瘤的首发症状。
Orbit. 2017 Feb;36(1):19-21. doi: 10.1080/01676830.2017.1279649. Epub 2017 Feb 1.
9
Endoscopic dacryocystorhinostomy with flap suturing.带瓣缝合的内镜下泪囊鼻腔造口术
Indian J Otolaryngol Head Neck Surg. 2013 Aug;65(Suppl 2):236-41. doi: 10.1007/s12070-011-0354-z. Epub 2011 Dec 7.
10
Idiopathic acquired dacryocystocele treated with endonasal endoscopic dacryocystorhinostomy.经鼻内镜泪囊鼻腔造口术治疗特发性获得性泪囊膨出症
BMJ Case Rep. 2013 Aug 19;2013:bcr2013200540. doi: 10.1136/bcr-2013-200540.

本文引用的文献

1
Ethmoidal mucocele presenting as oculomotor nerve paralysis.筛窦黏液囊肿导致动眼神经麻痹。
Clin Exp Otorhinolaryngol. 2013 Jun;6(2):103-6. doi: 10.3342/ceo.2013.6.2.103. Epub 2011 Nov 29.
2
Success rate and complications of endonasal dacryocystorhinostomy with unciformectomy.经鼻内镜泪囊鼻腔吻合术联合钩突切除术的成功率和并发症。
Graefes Arch Clin Exp Ophthalmol. 2012 Oct;250(10):1509-13. doi: 10.1007/s00417-012-1992-x. Epub 2012 May 24.
3
[Mucoceles of the paranasal sinuses].[鼻窦黏液囊肿]
Otolaryngol Pol. 2007;61(5):680-6. doi: 10.1016/S0030-6657(07)70506-1.
4
Complications of standardized endonasal dacryocystorhinostomy with unciformectomy.标准化鼻内镜下泪囊鼻腔造口术联合钩突切除术的并发症
Ophthalmology. 2004 Apr;111(4):837-45. doi: 10.1016/j.ophtha.2003.08.023.
5
Ethmoid mucocele as a late complication of endoscopic ethmoidectomy.筛窦黏液囊肿作为鼻内镜筛窦切除术后的晚期并发症。
Otolaryngol Head Neck Surg. 2003 Apr;128(4):517-22. doi: 10.1016/S0194-59980300097-4.
6
Translacrimal transnasal laser-assisted dacryocystorhinostomy.经泪道经鼻激光辅助泪囊鼻腔造口术
Laryngoscope. 1997 Oct;107(10):1362-5. doi: 10.1097/00005537-199710000-00013.
7
Unusual funduscopic manifestations of an ethmoidal mucocele.筛窦黏液囊肿的异常眼底表现。
Br J Ophthalmol. 1994 Dec;78(12):946-7. doi: 10.1136/bjo.78.12.946.
8
Management of invasive frontoethmoidal sinus mucoceles.
Arch Otolaryngol Head Neck Surg. 1986 Oct;112(10):1060-3. doi: 10.1001/archotol.1986.03780100048006.
9
Studies on mucocoeles of the ethmoid and sphenoid sinuses: analysis of 47 cases.筛窦和蝶窦黏液囊肿的研究:47例分析
J Laryngol Otol. 1992 Jan;106(1):23-7. doi: 10.1017/s002221510011850x.