• 文献检索
  • 文档翻译
  • 深度研究
  • 学术资讯
  • Suppr Zotero 插件Zotero 插件
  • 邀请有礼
  • 套餐&价格
  • 历史记录
应用&插件
Suppr Zotero 插件Zotero 插件浏览器插件Mac 客户端Windows 客户端微信小程序
定价
高级版会员购买积分包购买API积分包
服务
文献检索文档翻译深度研究API 文档MCP 服务
关于我们
关于 Suppr公司介绍联系我们用户协议隐私条款
关注我们

Suppr 超能文献

核心技术专利:CN118964589B侵权必究
粤ICP备2023148730 号-1Suppr @ 2026

文献检索

告别复杂PubMed语法,用中文像聊天一样搜索,搜遍4000万医学文献。AI智能推荐,让科研检索更轻松。

立即免费搜索

文件翻译

保留排版,准确专业,支持PDF/Word/PPT等文件格式,支持 12+语言互译。

免费翻译文档

深度研究

AI帮你快速写综述,25分钟生成高质量综述,智能提取关键信息,辅助科研写作。

立即免费体验

尿潴留的解除会引发腹主动脉瘤破裂吗?

Can release of urinary retention trigger abdominal aortic aneurysm rupture?

作者信息

Luhmann Andreas, Powell-Bowns Matilda, Elseedawy Emad

机构信息

Department of Surgery, Perth Royal Infirmary, Perth and Kinross, UK

Department of Surgery, Perth Royal Infirmary, Perth and Kinross, UK.

出版信息

J Surg Case Rep. 2013 Apr 4;2013(4):rjt019. doi: 10.1093/jscr/rjt019.

DOI:10.1093/jscr/rjt019
PMID:24964430
原文链接:https://pmc.ncbi.nlm.nih.gov/articles/PMC3635222/
Abstract

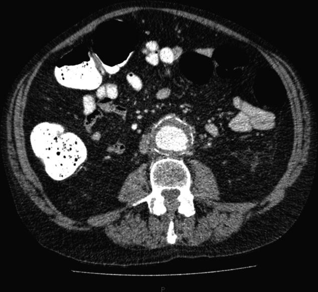
Only 50% of abdominal aortic aneurysms present with the classic triad of hypotension, back pain and a pulsatile abdominal mass. This variability in symptoms can delay diagnosis and treatment. We present the case of a patient presenting with a unique combination of symptoms suggesting that decompression of urinary retention can lead to abdominal aortic aneurysm rupture.

摘要

只有50%的腹主动脉瘤患者会出现低血压、背痛和搏动性腹部肿块这一典型三联征。症状的这种变异性会延误诊断和治疗。我们报告一例患者,其症状的独特组合提示尿潴留减压可导致腹主动脉瘤破裂。

https://cdn.ncbi.nlm.nih.gov/pmc/blobs/ca66/3635222/1bf7623eda44/rjt01904.jpg
https://cdn.ncbi.nlm.nih.gov/pmc/blobs/ca66/3635222/a7e2697d8cac/rjt01901.jpg
https://cdn.ncbi.nlm.nih.gov/pmc/blobs/ca66/3635222/6f845b6a0f10/rjt01902.jpg
https://cdn.ncbi.nlm.nih.gov/pmc/blobs/ca66/3635222/5d36a293d28a/rjt01903.jpg
https://cdn.ncbi.nlm.nih.gov/pmc/blobs/ca66/3635222/1bf7623eda44/rjt01904.jpg
https://cdn.ncbi.nlm.nih.gov/pmc/blobs/ca66/3635222/a7e2697d8cac/rjt01901.jpg
https://cdn.ncbi.nlm.nih.gov/pmc/blobs/ca66/3635222/6f845b6a0f10/rjt01902.jpg
https://cdn.ncbi.nlm.nih.gov/pmc/blobs/ca66/3635222/5d36a293d28a/rjt01903.jpg
https://cdn.ncbi.nlm.nih.gov/pmc/blobs/ca66/3635222/1bf7623eda44/rjt01904.jpg

相似文献

1
Can release of urinary retention trigger abdominal aortic aneurysm rupture?尿潴留的解除会引发腹主动脉瘤破裂吗?
J Surg Case Rep. 2013 Apr 4;2013(4):rjt019. doi: 10.1093/jscr/rjt019.
2
Ruptured abdominal aortic aneurysm presenting with acute urinary retention.破裂性腹主动脉瘤伴急性尿潴留。
Br J Clin Pract. 1992 Spring;46(1):73-4.
3
Unusual Presentation of Ruptured Abdominal Aortic Aneurysm.腹主动脉瘤破裂的罕见表现
Rev Port Cir Cardiotorac Vasc. 2019 Jan-Mar;26(1):71-73.
4
Chronic contained rupture of an abdominal aortic aneurysm presenting as a lower extremity neuropathy.以下肢神经病变为表现的腹主动脉瘤慢性局限性破裂。
Ann Emerg Med. 1988 Mar;17(3):284-7. doi: 10.1016/s0196-0644(88)80125-2.
5
Abdominal aortic aneurysms: clinical diagnosis and management.腹主动脉瘤:临床诊断与管理
J Manipulative Physiol Ther. 1997 Oct;20(8):557-61.
6
[Chronic rupture of abdominal aortic aneurysms].[腹主动脉瘤慢性破裂]
Srp Arh Celok Lek. 1998 May-Jun;126(5-6):177-82.
7
The CT appearances of ruptured abdominal aortic aneurysms.
Australas Radiol. 1989 May;33(2):154-6. doi: 10.1111/j.1440-1673.1989.tb03259.x.
8
[Chronic rupture of abdominal aortic aneurysms. (Report of 3 cases)].[腹主动脉瘤慢性破裂。(3例报告)]
Ann Ital Chir. 2000 Mar-Apr;71(2):247-50.
9
LOWER BACK PAIN--SILENT SYMPTOM OF CHRONIC INFRARENAL ABDOMINAL ANEURYSM RUPTURE.下背部疼痛——慢性肾下腹主动脉瘤破裂的隐匿症状。
Med Pregl. 2016 Mar-Apr;69(3-4):115-7. doi: 10.2298/mpns1604115j.
10
A Case Report on Endovascular Aortic Repair Rupture.一例血管内主动脉修复破裂的病例报告。
Cureus. 2020 Jul 15;12(7):e9209. doi: 10.7759/cureus.9209.

本文引用的文献

1
Distended bladder presenting with constipation and venous obstruction: a case report.膀胱扩张伴便秘和静脉梗阻:一例报告
J Med Case Rep. 2012 Jan 24;6:34. doi: 10.1186/1752-1947-6-34.
2
Milestones in the treatment of aortic aneurysm: Denton A. Cooley, MD, and the Texas Heart Institute.主动脉瘤治疗的里程碑:医学博士丹顿·A·库利与德克萨斯心脏研究所
Tex Heart Inst J. 2005;32(2):130-4.
3
Ruptured abdominal aortic aneurysm presenting as buttock pain.以臀部疼痛为表现的腹主动脉瘤破裂
Emerg Med J. 2005 Jun;22(6):453-4. doi: 10.1136/emj.2004.018523.
4
Diagnosis of ruptured aneurysm of abdominal aorta.腹主动脉瘤破裂的诊断。
Br Med J. 1972 Sep 23;3(5829):735-6. doi: 10.1136/bmj.3.5829.735.
5
A surgical perspective.一种外科手术视角。
Ann Surg. 1991 Jun;213(6):499-531. doi: 10.1097/00000658-199106000-00001.
6
Ruptured abdominal aortic aneurysm presenting with acute urinary retention.破裂性腹主动脉瘤伴急性尿潴留。
Br J Clin Pract. 1992 Spring;46(1):73-4.
7
Acute rupture of an aortic aneurysm mimicking the discus hernia syndrome. A case report.酷似椎间盘疝综合征的主动脉瘤急性破裂。病例报告。
Int Angiol. 1992 Apr-Jun;11(2):142-4.