Lee Seung Hyoung, Son Young Gil, Sohn Soo Sang, Ryu Seung Wan
Department of Surgery, Dong San Medical Center, Keimyung University School of Medicine, Daegu 700-712, Republic of Korea.
Exp Ther Med. 2014 Aug;8(2):401-404. doi: 10.3892/etm.2014.1753. Epub 2014 Jun 3.
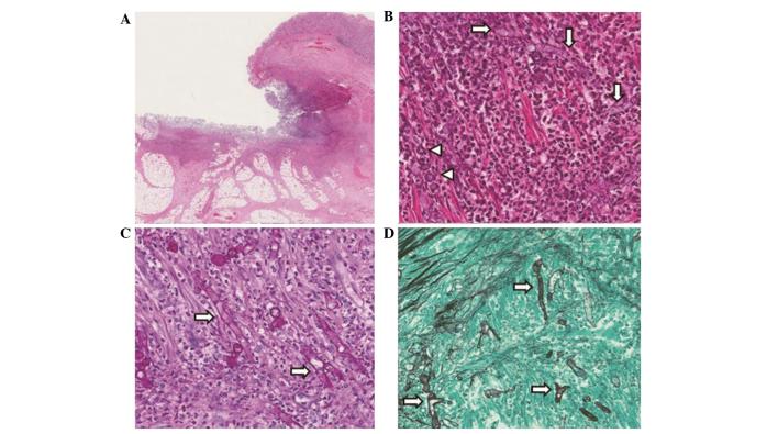
Gastrointestinal (GI) mucormycosis is a rare and life-threatening invasive fungal infection. GI mucormycosis occur in all parts of the alimentary tract, with the stomach being the most common site. Diabetes mellitus and other types of conditions associated with immunodeficiency, including hematologic malignancies, solid organ transplantation and glucocorticoid therapy, are risk factors for GI mucormycosis. There are few studies reporting cases of gastric mucormycosis in patients with liver cirrhosis, and even fewer reporting the successful treatment of invasive gastric mucormycosis in a patient with liver cirrhosis. This study presents a case of invasive gastric mucormycosis in a patient with liver cirrhosis, which was treated successfully by prompt diagnosis, metabolic support, surgical debridement of involved tissues and antifungal therapy.
胃肠道毛霉病是一种罕见且危及生命的侵袭性真菌感染。胃肠道毛霉病可发生于消化道的各个部位,其中胃是最常见的部位。糖尿病以及其他与免疫缺陷相关的疾病,包括血液系统恶性肿瘤、实体器官移植和糖皮质激素治疗,都是胃肠道毛霉病的危险因素。关于肝硬化患者胃毛霉病病例的研究很少,而报道成功治疗肝硬化患者侵袭性胃毛霉病的研究更少。本研究报告了一例肝硬化患者侵袭性胃毛霉病病例,该病例通过及时诊断、代谢支持、对受累组织进行手术清创和抗真菌治疗而成功治愈。